相关产品推荐更多 >
万千商家帮你免费找货
0 人在求购买到急需产品
- 详细信息
- 技术资料
- 免疫原:
Synthetic peptide of human AGTR1
- 亚型:
IgG
- 形态:
Liquid
- 保存条件:
Store as concentrated solution. Centrifuge briefly prior to opening vial. For short-term storage (1-2 weeks), store at 4ºC. For long-term storage, aliquot and store at -20ºC or below. Avoid multiple freeze-thaw cycles.
- 克隆性:
Monoclonal
- 标记物:
Unconjugated
- 保质期:
12 months from the shipping date of the product.
- 抗原来源:
Human
- 目录编号:
GTX638885
- 级别:
Primary Antibodies
- 库存:
Available
- 供应商:
GeneTex
- 宿主:
Rabbit
- 应用范围:
WB, IHC-P
- 浓度:
1 mg/ml (Please refer to the vial label for the specific concentration.)
- 抗体英文名:
AGTR1 antibody [HL2524]
- 抗体名:
AGTR1 抗体 [HL2524]
- 规格:
100 μl/25 μl
| 规格: | 100 μl | 产品价格: | ¥4000.0 |
|---|---|---|---|
| 规格: | 25 μl | 产品价格: | ¥1700.0 |
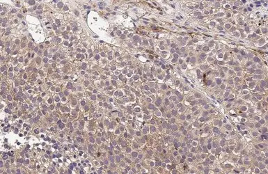
AGTR1 antibody [HL2524] detects AGTR1 protein at cell membrane and cytoplasm by immunohistochemical analysis.
Sample: Paraffin-embedded Huh-7 xenograft.
AGTR1 stained by AGTR1 antibody [HL2524] (GTX638885) diluted at 1:100.
Antigen Retrieval: Citrate buffer, pH 6.0, 15 min
Huh-7 cytoplasma extracts and membrane extracts (30 μg) were separated by 10% SDS-PAGE, and the membrane was blotted with AGTR1 antibody [HL2524] (GTX638885) diluted at 1:500. The HRP-conjugated anti-rabbit IgG antibody (GTX213110-01) was used to detect the primary antibody, and the signal was developed with Trident ECL plus-Enhanced. (CE: cytoplasma extract; ME: membrane extract)
风险提示:丁香通仅作为第三方平台,为商家信息发布提供平台空间。用户咨询产品时请注意保护个人信息及财产安全,合理判断,谨慎选购商品,商家和用户对交易行为负责。对于医疗器械类产品,请先查证核实企业经营资质和医疗器械产品注册证情况。
技术资料暂无技术资料 索取技术资料


![AGTR1 antibody [HL2524]](https://custom.dxycdn.com/trademd/upload/pic/2013/11/12/A1383891150.jpg!small.t.1)


![MSR1 antibody [2F8] (Low endotoxin, azide free)](https://img1.dxycdn.com/2022/0328/925/9581049109024400453-14.jpg!wh200)
![Enterovirus 71 VP1 antibody [GT9512]](https://img1.dxycdn.com/2022/0329/770/4962159945537020453-14.jpg!wh200)


![Calnexin antibody [AT18B9]](https://img1.dxycdn.com/2022/0328/801/4320477551350800453-14.jpg!wh200)
