相关产品推荐更多 >
万千商家帮你免费找货
0 人在求购买到急需产品
- 详细信息
- 文献和实验
- 技术资料
- 免疫原:
Synthetic peptides corresponding to amino acid 1-80, 81-104 and 66-104 of pigeon cytochrome c
- 亚型:
IgG2b
- 形态:
Liquid
- 保存条件:
Store as concentrated solution. Centrifuge briefly prior to opening vial. For short-term storage (1-2 weeks), store at 4ºC. For long-term storage, aliquot and store at -20ºC or below. Avoid multiple freeze-thaw cycles.
- 克隆性:
Monoclonal
- 标记物:
Unconjugated
- 适应物种:
Human, Mouse, Rat, Drosophila, Dog, Frog, Horse, pigeon
- 保质期:
12 months from the shipping date of the product.
- 抗原来源:
Pig
- 目录编号:
GTX13575
- 级别:
Primary Antibodies
- 库存:
Available
- 供应商:
GeneTex
- 宿主:
Mouse
- 应用范围:
WB, IHC-P, FACS
- 浓度:
0.2 mg/ml (Please refer to the vial label for the specific concentration.)
- 靶点:
This antibody recognizes an epitope within amino acids 93-104 of pigeon Cytochrome C.
- 抗体英文名:
Cytochrome C antibody [7H8.2C12]
- 抗体名:
Cytochrome C 抗体 [7H8.2C12]
- 规格:
100 μg
FACS analysis of PFA fixed HeLa cells using GTX13575 Cytochrome C antibody [7H8.2C12].
Blue : Primary antibody
Red : Isotype control
WB analysis of heart tissue lysate using GTX13575 Cytochrome C antibody [7H8.2C12].
IHC-P analysis of human salivary tumor tissue using GTX13575 Cytochrome C antibody [7H8.2C12].
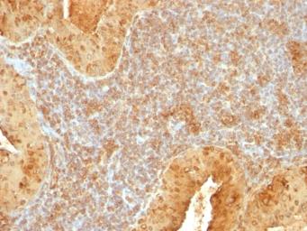
IHC-P analysis of human pancreas tissue using GTX13575 Cytochrome C antibody [7H8.2C12].
风险提示:丁香通仅作为第三方平台,为商家信息发布提供平台空间。用户咨询产品时请注意保护个人信息及财产安全,合理判断,谨慎选购商品,商家和用户对交易行为负责。对于医疗器械类产品,请先查证核实企业经营资质和医疗器械产品注册证情况。
文献和实验Wu TH et al., Acta Neuropathol 2013 (PMID:23494099)
Giri? M et al., J Surg Res 2010 (PMID:19665148)
广义的细胞色素 c是含有血红素 c的细胞色素之总称。通常是指主要存在于高等动植物、酵母、霉菌等线粒体中的细胞色素 c,起着传递电子的作用。为分子量约 1.3万的碱性蛋白质,还原型的吸收带为 550、 520、 415毫微米,氧化型为 407毫微米。α 因此很早便被研究,并获得结晶。不仅一级结构而且立体结构也已清楚(图 1)。其结构基本上是生物界共有的。由细胞色素 c氧化酶〔细胞色素( a+ a3 )复合体〕氧化。在呼吸链中从细胞色素 c开始接受电子,各种还原酶都已清楚
Cytochrome c Stabilization and Immobilization in Aerogels
structurally intact within the gels during the necessary supercritical fluid processing. However, the heme protein cytochrome c (cyt. c ) forms self-organized superstructures around gold (or silver) nanoparticles in buffer that can be encapsulated within silica
Assessing Cytochrome-c Release from Mitochondria
In recent years substantial evidence has accumulated demonstrating a central regulatory role for mitochondria in cell death (1 ). More recently, mechanisms of cell death, through apoptosis, have been elucidated
技术资料暂无技术资料 索取技术资料








![GCAP2 antibody [A1]](https://img1.dxycdn.com/2022/0328/772/4738533705279300453-14.jpg!wh200)
![PPP5C antibody [2F2-F7-E8]](https://img1.dxycdn.com/2022/0329/711/5776810676594020453-14.jpg!wh200)

