相关产品推荐更多 >
万千商家帮你免费找货
0 人在求购买到急需产品
- 详细信息
- 文献和实验
- 技术资料
- 免疫原:
Synthetic peptide corresponding to residues E(381) I S V T S F T G C S V K Q A E D R F(399) of human BRS3 protein.
- 亚型:
IgG
- 形态:
Liquid
- 保存条件:
Store as concentrated solution. Centrifuge briefly prior to opening vial. For short-term storage (1-2 weeks), store at 4ºC. For long-term storage, aliquot and store at -20ºC or below. Avoid multiple freeze-thaw cycles.
- 克隆性:
Polyclonal
- 标记物:
Unconjugated
- 适应物种:
Human
- 保质期:
12 months from the shipping date of the product.
- 抗原来源:
Human
- 目录编号:
GTX79490
- 级别:
Primary Antibodies
- 库存:
Available
- 供应商:
GeneTex
- 宿主:
Rabbit
- 应用范围:
WB, IHC-P
- 靶点:
Bombesin Receptor 3
- 抗体英文名:
Bombesin Receptor 3 antibody
- 抗体名:
Bombesin Receptor 3 抗体
- 规格:
100 μl
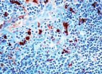
IHC-P analysis of human pancreatic carcinoma tissue sections using GTX79490 Bombesin Receptor 3 antibody.
风险提示:丁香通仅作为第三方平台,为商家信息发布提供平台空间。用户咨询产品时请注意保护个人信息及财产安全,合理判断,谨慎选购商品,商家和用户对交易行为负责。对于医疗器械类产品,请先查证核实企业经营资质和医疗器械产品注册证情况。
文献和实验Aspects of CNS Lupus: Mouse Models of Anti-NMDA Receptor Antibody Mediated Reactivity
This chapter describes methods utilized in establishing a mouse model of neuropsychiatric lupus encompassing both cognitive and emotional dysfunction, and a model of the influence of maternal antibody on the developing brain. The antibody
This work describes protocols for the production of single-chain antibody and T-cell receptor fragments inE. coli . A choice of methods is given for the purification of the recombinant fragments that rely on the use of either immunoaffinity
Cancer Cell Receptor Internalization and Proliferation: Effects of Neuropeptide Analogs
Neuropeptide receptors can be used as molecular targets to deliver chemotherapeutic drugs into cancer cells. The gastrin-releasing peptide (GRP) receptor was used to deliver a camptothecin (CPT)–bombesin (BB) conjugate
技术资料暂无技术资料 索取技术资料





![Caspase 3 antibody [5H10]](https://img1.dxycdn.com/2022/0328/980/6592620976639600453-14.jpg!wh200)


![KIR2DS4 antibody [2G42]](https://img1.dxycdn.com/2022/0328/888/6814151311389400453-14.jpg!wh200)
![APE1 antibody [13B8E5C2]](https://img1.dxycdn.com/2022/0328/314/6518285527148300453-14.jpg!wh200)
