相关产品推荐更多 >
万千商家帮你免费找货
0 人在求购买到急需产品
- 详细信息
- 文献和实验
- 技术资料
- 免疫原:
Recombinant protein encompassing a sequence within the center region of human eIF4E. The exact sequence is proprietary.
- 亚型:
IgG
- 形态:
Liquid
- 保存条件:
Store as concentrated solution. Centrifuge briefly prior to opening vial. For short-term storage (1-2 weeks), store at 4ºC. For long-term storage, aliquot and store at -20ºC or below. Avoid multiple freeze-thaw cycles.
- 克隆性:
Polyclonal
- 标记物:
Unconjugated
- 适应物种:
Human, Mouse
- 保质期:
12 months from the shipping date of the product.
- 抗原来源:
Human
- 目录编号:
GTX132092
- 级别:
Primary Antibodies
- 库存:
Available
- 供应商:
GeneTex
- 宿主:
Rabbit
- 应用范围:
WB, ICC/IF, IHC-P
- 浓度:
1.09 mg/ml (Please refer to the vial label for the specific concentration.)
- 靶点:
eIF4E
- 抗体英文名:
eIF4E antibody
- 抗体名:
eIF4E 抗体
- 规格:
100 μl/25 μl
| 规格: | 100 μl | 产品价格: | ¥4000.0 |
|---|---|---|---|
| 规格: | 25 μl | 产品价格: | ¥1700.0 |
eIF4E antibody detects eIF4E protein at cytoplasm by immunofluorescent analysis.
Sample: 293T cells were fixed in 4% PFA at RT for 15 min.
Green: eIF4E protein stained by eIF4E antibody (GTX132092) diluted at 1:500.
Blue: Hoechst 33342 staining.
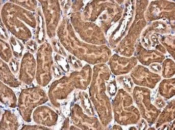
eIF4E antibody detects EIF4E protein at cytoplasm in mouse kidney by immunohistochemical analysis.
Sample: Paraffin-embedded mouse kidney.
eIF4E antibody (GTX132092) diluted at 1:500.
Antigen Retrieval: Citrate buffer, pH 6.0, 15 min
293T whole cell and cytoplasm extracts (30 μg) were separated by 12% SDS-PAGE, and the membrane was blotted with eIF4E antibody (GTX132092) diluted at 1:1000.
Mouse tissue extract (50 μg) was separated by 12% SDS-PAGE, and the membrane was blotted with eIF4E antibody (GTX132092) diluted at 1:1000.
风险提示:丁香通仅作为第三方平台,为商家信息发布提供平台空间。用户咨询产品时请注意保护个人信息及财产安全,合理判断,谨慎选购商品,商家和用户对交易行为负责。对于医疗器械类产品,请先查证核实企业经营资质和医疗器械产品注册证情况。
文献和实验Nager M et al., Autophagy 2018 (PMID:29313411)
Generation of Antibody Molecules Through Antibody Engineering
been overcome to a large extent using genetic-engineering techniques to produce chimeric mouse/human and completely human antibodies. Such an approach is particularly suitable because of the domain structure of the antibody molecule ( 2 ), where functional
Adv Sci:林戈/薛愿超合作阐明 eIF4E1B 在哺乳动物卵母细胞向胚胎转换过程中母源 mRNA 选择性翻译的作用机制
2023 年 2 月 8 日,中南大学/中信湘雅生殖与遗传医院林戈教授团队联合中科院生物物理所薛愿超实验室在 Advanced Science 杂志上在线发表了题为 Selective Translation of Maternal mRNA by eIF4E1B Controls Oocyte to Embryo Transition 的研究论文,首次报道了卵母细胞内特异的翻译起始因子 eIF4E1B 在哺乳动物卵母细胞向胚胎转换过程中的生理功能,同时也提出在卵母细胞中存在的特异翻译激活模型
The importance of antibody molecules was first recognized in the 1890s, when it was shown that immunity to tetanus and diphtheria was caused by antibodies against the bacterial exotoxins (1 ). Around the same time, it was shown that antisera
技术资料暂无技术资料 索取技术资料








![CD146 antibody [C146/634]](https://img1.dxycdn.com/2022/0328/897/7261915086300700453-14.jpg!wh200)
![E-Cadherin antibody [MSVA-035R] HistoMAX](https://custom.dxycdn.com/trademd/upload/pic/2013/11/12/A1383891150.jpg!small.t.1)

