产品封面图

G protein alpha 13 antibody

收藏
  • ¥1700 - 4000
  • GeneTex已认证
  • 美国
  • 2025年07月13日
  • WB, IHC-P
  • Rabbit
  • Human, Mouse, Rat
avatar
品牌商
14钻石会员
  • 企业认证

    点击 QQ 联系

    • 详细信息
    • 文献和实验
    • 技术资料
    • 免疫原

      Recombinant protein encompassing a sequence within the center region of human G protein alpha 13. The exact sequence is proprietary.

    • 亚型

      IgG

    • 形态

      Liquid

    • 保存条件

      Store as concentrated solution. Centrifuge briefly prior to opening vial. For short-term storage (1-2 weeks), store at 4ºC. For long-term storage, aliquot and store at -20ºC or below. Avoid multiple freeze-thaw cycles.

    • 克隆性

      Polyclonal

    • 标记物

      Unconjugated

    • 适应物种

      Human, Mouse, Rat

    • 保质期

      12 months from the shipping date of the product. 

    • 抗原来源

      Human

    • 目录编号

      GTX131045

    • 级别

      Primary Antibodies

    • 库存

      Available

    • 供应商

      GeneTex

    • 宿主

      Rabbit

    • 应用范围

      WB, IHC-P

    • 浓度

      1.29 mg/ml (Please refer to the vial label for the specific concentration.)

    • 靶点

      G protein alpha 13

    • 抗体英文名

      G protein alpha 13 antibody

    • 抗体名

      G protein alpha 13 抗体

    • 规格

      100 μl/25 μl

    规格:100 μl产品价格:¥4000.0
    规格:25 μl产品价格:¥1700.0
    产品细节图片1

    Wild-type (WT) and G protein alpha 13 knockout (KO) HeLa cell extracts (30 μg) were separated by 10% SDS-PAGE, and the membrane was blotted with G protein alpha 13 antibody (GTX131045) diluted at 1:1000. The HRP-conjugated anti-rabbit IgG antibody (GTX213110-01) was used to detect the primary antibody.

    产品细节图片2

    Various whole cell extracts (30 μg) were separated by 10% SDS-PAGE, and the membranes were blotted with G protein alpha 13 antibody (GTX131045) diluted at 1:1000 and competitor's antibody (SC-410) diluted by 1:50.

    产品细节图片3

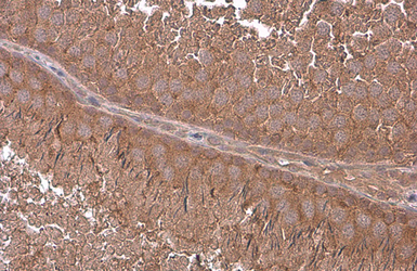
    G protein alpha 13 antibody detects G protein alpha 13 protein at cytoplasm by immunohistochemical analysis.
    Sample: Paraffin-embedded rat testis.
    G protein alpha 13 stained by G protein alpha 13 antibody (GTX131045) diluted at 1:500.
    Antigen Retrieval: Citrate buffer, pH 6.0, 15 min

    产品细节图片4

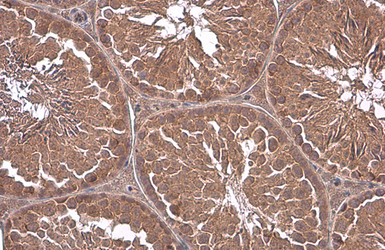
    G protein alpha 13 antibody detects G protein alpha 13 protein at cytoplasm by immunohistochemical analysis.
    Sample: Paraffin-embedded mouse testis.
    G protein alpha 13 stained by G protein alpha 13 antibody (GTX131045) diluted at 1:500.
    Antigen Retrieval: Citrate buffer, pH 6.0, 15 min

    风险提示:丁香通仅作为第三方平台,为商家信息发布提供平台空间。用户咨询产品时请注意保护个人信息及财产安全,合理判断,谨慎选购商品,商家和用户对交易行为负责。对于医疗器械类产品,请先查证核实企业经营资质和医疗器械产品注册证情况。

    图标文献和实验
    相关实验
    图标技术资料

    暂无技术资料 索取技术资料

    同类产品报价

    产品名称
    产品价格
    公司名称
    报价日期
    ¥415
    上海联迈生物工程有限公司
    2025年05月21日询价
    ¥5300
    GeneTex
    2024年04月07日询价
    ¥2120
    上海钰博生物科技有限公司
    2024年11月21日询价
    ¥5300
    深圳欣博盛生物科技有限公司
    2024年04月07日询价
    G protein alpha 13 antibody
    ¥1700 - 4000