相关产品推荐更多 >
万千商家帮你免费找货
0 人在求购买到急需产品
- 详细信息
- 文献和实验
- 技术资料
- 免疫原:
Carrier-protein conjugated synthetic peptide encompassing a sequence within the C-terminus region of mouse iNOS. The exact sequence is proprietary.
- 亚型:
IgG
- 形态:
Liquid
- 保存条件:
Store as concentrated solution. Centrifuge briefly prior to opening vial. For short-term storage (1-2 weeks), store at 4ºC. For long-term storage, aliquot and store at -20ºC or below. Avoid multiple freeze-thaw cycles.
- 克隆性:
Polyclonal
- 标记物:
Unconjugated
- 适应物种:
Mouse, Rat
- 保质期:
12 months from the shipping date of the product.
- 抗原来源:
Mouse
- 目录编号:
GTX130246
- 级别:
Primary Antibodies
- 库存:
Available
- 供应商:
GeneTex
- 宿主:
Rabbit
- 应用范围:
WB, ICC/IF, IHC-P
- 浓度:
1.02 mg/ml (Please refer to the vial label for the specific concentration.)
- 靶点:
iNOS
- 抗体英文名:
iNOS antibody
- 抗体名:
iNOS 抗体
- 规格:
100 μl/25 μl
| 规格: | 100 μl | 产品价格: | ¥4000.0 |
|---|---|---|---|
| 规格: | 25 μl | 产品价格: | ¥1700.0 |
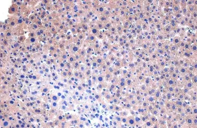
iNOS antibody detects iNOS protein at cytoplasm by immunohistochemical analysis.
Sample: Paraffin-embedded mouse liver.
iNOS stained by iNOS antibody (GTX130246) diluted at 1:500.
Antigen Retrieval: Citrate buffer, pH 6.0, 15 min
iNOS antibody detects iNOS protein at cytoplasm by immunohistochemical analysis.
Sample: Paraffin-embedded rat liver.
iNOS stained by iNOS antibody (GTX130246) diluted at 1:500.
Antigen Retrieval: Citrate buffer, pH 6.0, 15 min
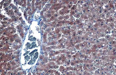
iNOS antibody detects iNOS protein at cytoplasm by immunohistochemical analysis.
Sample: Paraffin-embedded rat liver.
iNOS stained by iNOS antibody (GTX130246) diluted at 1:500.
Antigen Retrieval: Citrate buffer, pH 6.0, 15 min
iNOS antibody detects iNOS protein by immunofluorescent analysis.
Sample: Mock and treated Raw264.7 cells were fixed in 4% PFA at RT for 15 min.
Green: iNOS stained by iNOS antibody (GTX130246) diluted at 1:500.
Blue: Fluoroshield with DAPI (GTX30920).
Untreated (–) and treated (+) Raw264.7 whole cell extracts (30 μg) were separated by 5% SDS-PAGE, and the membrane was blotted with iNOS antibody (GTX130246) diluted at 1:1000. The HRP-conjugated anti-rabbit IgG antibody (GTX213110-01) was used to detect the primary antibody.
iNOS antibody detects iNOS protein by immunofluorescent analysis.
Sample: DIV10 rat E18 primary cortical neuron and glia cells were fixed in 4% PFA at RT for 15 min.
Green: iNOS stained by iNOS antibody (GTX130246) diluted at 1:500.
Red: beta Tubulin 3/ Tuj1, stained by beta Tubulin 3/ Tuj1 antibody [GT11710] (GTX631836) diluted at 1:1000.
Blue: Fluoroshield with DAPI (GTX30920).
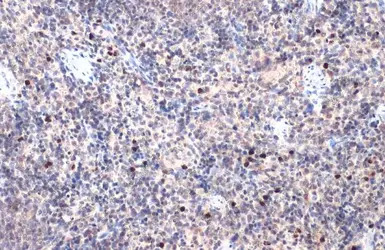
iNOS antibody detects Inos protein at cytoplasm by immunohistochemical analysis.
Sample: Paraffin-embedded mouse spleen.
Inos stained by iNOS antibody (GTX130246) diluted at 1:500.
Antigen Retrieval: Citrate buffer, pH 6.0, 15 min
风险提示:丁香通仅作为第三方平台,为商家信息发布提供平台空间。用户咨询产品时请注意保护个人信息及财产安全,合理判断,谨慎选购商品,商家和用户对交易行为负责。对于医疗器械类产品,请先查证核实企业经营资质和医疗器械产品注册证情况。
文献和实验Chang JW et al., Cereb Cortex 2020 (PMID:32248223)
Arturo A Wilkins-Rodr?guez et al., Infect Immun 2020 (PMID:32312763)
Zhang HK et al., J Mol Neurosci 2020 (PMID:31897969)
Morita N et al., Microbes Infect 2020 (PMID:32032681)
Fukuda M et al., J Neurosurg 2019 (PMID:31860812)
Ghosh R et al., Int J Biol Macromol 2019 (PMID:31376448)
Barati S et al., J Cell Biochem 2019 (PMID:30963634)
Jiao M et al., Chemosphere 2019 (PMID:30959452)
Su WJ et al., Front Cell Neurosci 2018 (PMID:30483062)
Chao W et al., Int Immunopharmacol 2017 (PMID:28644965)
Zhao X et al., PLoS One 2014 (PMID:25105760)
Lin WC et al., RSC Adv. 2017 7()
Mei S et al., PLoS One 2015 (PMID:26285119)
Yang YC et al., Antioxid Redox Signal 2013 (PMID:22998676)
Shi Y et al., J Neuroinflammation 2023 (PMID:37029422)
Huang HC et al., Int J Mol Sci 2022 (PMID:35806383)
Hsin-Tzu Liu et al., Antioxidants (Basel) 2022 (PMID:35624812)
Tingting Wang et al., Front Cell Dev Biol 2020 (PMID:33392187)
Cai M et al., CNS Neurosci Ther 2021 (PMID:34370899)
Lin ZH et al., J Ethnopharmacol 2022 (PMID:34520830)
Anyaegbu CC et al., J Neurosci Methods 2021 (PMID:34004202)
Ohira H et al., PLoS One 2021 (PMID:33577585)
Scherwitzl I et al., Mol Ther Oncolytics 2020 (PMID:32478167)
Ekova MR et al., Bull Exp Biol Med 2020 (PMID:32990853)
Zhou Y et al., Oncol Lett 2020 (PMID:33101492)
Zhu S et al., J Agric Food Chem 2020 (PMID:32981311)
Yang Y et al., Biomaterials 2021 (PMID:32980634)
Zhang D et al., Nature 2019 (PMID:31645732)
Hsu WH et al., Aging (Albany NY) 2020 (PMID:32501291)
Cell Protection by Inhibition of iNOS Through Lentiviral Vector-Based Strategies
toxicity. We identified that NF-κB-dependent induction of iNOS is a critical determinant of β cell fate following cytokine exposure. Having identified the pivotal role of iNOS activation in cytokine-induced β cell pathophysiology, lentiviral vectors
Generation of Antibody Molecules Through Antibody Engineering
been overcome to a large extent using genetic-engineering techniques to produce chimeric mouse/human and completely human antibodies. Such an approach is particularly suitable because of the domain structure of the antibody molecule ( 2 ), where functional
Measurement of TNF and iNOS mRNA Using cDNA-Equalized Reverse Transcriptase PCR
Since the polymerase chain reaction (PCR) for DNA amplification was first introduced in 1985 (1 ), the combination of reverse transcription with subsequent PCR amplification of the cDNA (RT-PCR) has been an increasingly utilized technique
技术资料暂无技术资料 索取技术资料






![CD6 antibody [MRC OX-52]](https://img1.dxycdn.com/2022/0329/410/9779507609536020453-14.gif!wh200)




