相关产品推荐更多 >
万千商家帮你免费找货
0 人在求购买到急需产品
- 详细信息
- 技术资料
- 免疫原:
Recombinant protein encompassing a sequence within the center region of human SP2. The exact sequence is proprietary.
- 亚型:
IgG
- 形态:
Liquid
- 保存条件:
Store as concentrated solution. Centrifuge briefly prior to opening vial. For short-term storage (1-2 weeks), store at 4ºC. For long-term storage, aliquot and store at -20ºC or below. Avoid multiple freeze-thaw cycles.
- 克隆性:
Polyclonal
- 标记物:
Unconjugated
- 适应物种:
Human
- 保质期:
12 months from the shipping date of the product.
- 抗原来源:
Human
- 目录编号:
GTX129030
- 级别:
Primary Antibodies
- 库存:
Available
- 供应商:
GeneTex
- 宿主:
Rabbit
- 应用范围:
WB, ICC/IF, IHC-P, IP
- 浓度:
1.65 mg/ml (Please refer to the vial label for the specific concentration.)
- 靶点:
SP2
- 抗体英文名:
SP2 antibody
- 抗体名:
SP2 抗体
- 规格:
100 μl/25 μl
| 规格: | 100 μl | 产品价格: | ¥4000.0 |
|---|---|---|---|
| 规格: | 25 μl | 产品价格: | ¥1700.0 |
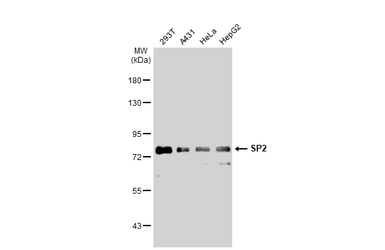
Various whole cell extracts (30 μg) were separated by 7.5% SDS-PAGE, and the membrane was blotted with SP2 antibody (GTX129030) diluted at 1:1000. The HRP-conjugated anti-rabbit IgG antibody (GTX213110-01) was used to detect the primary antibody.
SP2 antibody detects SP2 protein at nucleus by immunohistochemical analysis.
Sample: Paraffin-embedded human endometrial carcinoma.
SP2 stained by SP2 antibody (GTX129030) diluted at 1:500.
Antigen Retrieval: Citrate buffer, pH 6.0, 15 min
SP2 antibody immunoprecipitates SP2 protein in IP experiments. IP Sample: Raji whole cell lysate/extract A : 30 μg whole cell lysate/extract of SP2 protein expressing Raji cells B : Control with 3 μg of pre-immune rabbit IgG C : Immunoprecipitation of SP2 by 3 μg of SP2 antibody (GTX129030) 5% SDS-PAGE The immunoprecipitated SP2 protein was detected by SP2 antibody (GTX129030) diluted at 1 : 500. EasyBlot anti-rabbit IgG (HRP) (GTX221666-01) was used as a secondary reagent.
Various whole cell extracts (30 μg) were separated by 7.5% SDS-PAGE, and the membranes were blotted with SP2 antibody (GTX129030) diluted at 1:1000 and competitor's antibody (SC-643) diluted by 1:200.
SP2 antibody detects SP2 protein at cytoplasm and nucleus by immunofluorescent analysis.
Sample: HeLa cells were fixed in 4% PFA at RT for 15 min.
Green: SP2 stained by SP2 antibody (GTX129030) diluted at 1:1000.
Blue: Hoechst 33342 staining.
Scale bar= 10μm.
Various whole cell extracts (30 μg) were separated by 7.5% SDS-PAGE, and the membrane was blotted with SP2 antibody (GTX129030) diluted at 1:1000. The HRP-conjugated anti-rabbit IgG antibody (GTX213110-01) was used to detect the primary antibody.
风险提示:丁香通仅作为第三方平台,为商家信息发布提供平台空间。用户咨询产品时请注意保护个人信息及财产安全,合理判断,谨慎选购商品,商家和用户对交易行为负责。对于医疗器械类产品,请先查证核实企业经营资质和医疗器械产品注册证情况。
技术资料暂无技术资料 索取技术资料





![F-Actin antibody [NH3]](https://img1.dxycdn.com/2022/0328/832/7608285527148300453-14.jpg!wh200)




