相关产品推荐更多 >
万千商家帮你免费找货
0 人在求购买到急需产品
- 详细信息
- 文献和实验
- 技术资料
- 免疫原:
Carrier-protein conjugated synthetic peptide surrounding acetyl Lys18 of human Histone H3. The exact sequence is proprietary.
- 亚型:
IgG
- 形态:
Liquid
- 保存条件:
Store as concentrated solution. Centrifuge briefly prior to opening vial. For short-term storage (1-2 weeks), store at 4ºC. For long-term storage, aliquot and store at -20ºC or below. Avoid multiple freeze-thaw cycles.
- 克隆性:
Polyclonal
- 标记物:
Unconjugated
- 适应物种:
Human, Mouse, Rat
- 保质期:
12 months from the shipping date of the product.
- 抗原来源:
Human
- 目录编号:
GTX128943
- 级别:
Primary Antibodies
- 库存:
Available
- 供应商:
GeneTex
- 宿主:
Rabbit
- 应用范围:
WB, ICC/IF, IHC-P, IP, Dot, ChIP assay
- 浓度:
0.26 mg/ml (Please refer to the vial label for the specific concentration.)
- 靶点:
Histone H3K18ac (Acetyl Lys18)
- 抗体英文名:
Histone H3K18ac (Acetyl Lys18) antibody
- 抗体名:
Histone H3K18ac (Acetyl Lys18) 抗体
- 规格:
100 μl/25 μl
| 规格: | 100 μl | 产品价格: | ¥4000.0 |
|---|---|---|---|
| 规格: | 25 μl | 产品价格: | ¥1700.0 |
Untreated (–) and treated (+) HeLa whole cell extracts (30 μg) were separated by 15% SDS-PAGE, and the membrane was blotted with Histone H3K18ac (Acetyl Lys18) antibody (GTX128943) diluted at 1:5000. The HRP-conjugated anti-rabbit IgG antibody (GTX213110-01) was used to detect the primary antibody.
Histone H3K18ac (Acetyl Lys18) antibody detects Histone H3K18ac protein at nucleus by immunohistochemical analysis.
Sample: Paraffin-embedded mouse stomach.
Histone H3K18ac stained by Histone H3K18ac (Acetyl Lys18) antibody (GTX128943) diluted at 1:500.
Antigen Retrieval: Citrate buffer, pH 6.0, 15 min
Cross-linked ChIP was performed with HeLa chromatin extract treated with Trichostatin A (0.4 μM for 18 h) and 5 μg of either control rabbit IgG or anti-Histone H3K18ac (acetyl Lys18) antibody. The precipitated DNA was detected by PCR with primer set targeting to GAPDH or β-globin promoter.
Histone H3 (acetyl Lys18) antibody immunoprecipitates Histone H3 (acetyl Lys18) protein in IP experiments. IP Sample: HeLa whole cell lysate/extract A : 30 μg whole cell lysate/extract of Histone H3 (acetyl Lys18) protein expressing HeLa cells (0.4uM TSA treatment for 18hr) B : Control with 2.5 μg of pre-immune rabbit IgG C : Immunoprecipitation of Histone H3 (acetyl Lys18) protein by 2.5 μg of Histone H3 (acetyl Lys18) antibody (GTX128943) 12% SDS-PAGE The immunoprecipitated Histone H3 protein (acetyl Lys18) was detected by Histone H3 (acetyl Lys18) antibody (GTX128943) diluted at 1 : 5000. EasyBlot anti-rabbit IgG (HRP) (GTX221666-01) was used as a secondary reagent.
Histone H3K18ac (Acetyl Lys18) antibody detects Histone H3K18ac (Acetyl Lys18) protein at nucleus by immunohistochemical analysis.
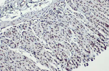
Sample: Paraffin-embedded mouse colon.
Histone H3K18ac (Acetyl Lys18) stained by Histone H3K18ac (Acetyl Lys18) antibody (GTX128943) diluted at 1:500.
Antigen Retrieval: Citrate buffer, pH 6.0, 15 min
Histone H3K18ac (Acetyl Lys18) antibody detects Histone H3K18ac protein at nucleus by immunohistochemical analysis.
Sample: Paraffin-embedded mouse intestine.
Histone H3K18ac stained by Histone H3K18ac (Acetyl Lys18) antibody (GTX128943) diluted at 1:500.
Antigen Retrieval: Citrate buffer, pH 6.0, 15 min
Histone H3K18ac (Acetyl Lys18) antibody detects Histone H3K18ac (Acetyl Lys18) protein at chromosome by immunofluorescent analysis.
Sample: HeLa cells were fixed in 4% PFA at RT for 15 min.
Green: Histone H3K18ac (Acetyl Lys18) stained by Histone H3K18ac (Acetyl Lys18) antibody (GTX128943) diluted at 1:500.
Red: alpha Tubulin, a cytoskeleton marker, stained by alpha Tubulin antibody [GT114] (GTX628802) diluted at 1:1000.
Blue: Fluoroshield with DAPI (GTX30920).
Dotblot analysis of anti-Histone H3 (acetyl Lys18) antibody with peptide samples.
Varied amount of peptide samples were spotted onto positively charged nylon membrane and blotted with Histone H3 (acetyl Lys18) antibody (GTX128943) 1:5000 dilution.
A: Peptide samples of H3K18 un
B: Peptide samples of H3K18ac
C: Peptide samples of H3K9un
D: Peptide samples of H3K9ac
E: Peptide samples of H3K14un
F: Peptide samples of H3K14ac
G: Peptide samples of H3K27un
H: Peptide samples of H3K27ac
风险提示:丁香通仅作为第三方平台,为商家信息发布提供平台空间。用户咨询产品时请注意保护个人信息及财产安全,合理判断,谨慎选购商品,商家和用户对交易行为负责。对于医疗器械类产品,请先查证核实企业经营资质和医疗器械产品注册证情况。
文献和实验Chen CY et al., Front Oncol 2020 (PMID:32158695)
Histone Deacetylase Activity Assay
Histone deacetylases (HDACs) are enzymes that catalyze the removal of acetyl groups from the ɛ-amino groups of conserved lysine residues in the amino terminal tail of histones. In humans, there are 18 potential deacetylase enzymes
组蛋白是和染色体相联的最主要的蛋白质。它的作用是和染色体中的 DNA 的负电荷结合。组蛋白是比较小的碱性蛋白;在细胞正常 pH 值时,组蛋白带有正电荷,这样它们就可以和 DNA 结合,这个正电荷主要存在于碱性氨基酸 Lys 和 Arg 的 -NH3 上。其实,组蛋白约含 25% 的 Arg 和 Lys 。比其他蛋白的 Arg , Lys 的含量都多。和真核 DNA 结合的有 5 种类型的组蛋白: H1 , H2A , H2B , H3
Histone Assay Solution (10 rxns) Amount [Final] Histone Wash Buffer 320 µL - Histone H1, 2 µg/µL 18 µl 0.1 µg/µL
技术资料暂无技术资料 索取技术资料









![C/EBP alpha antibody [15C8]](https://img1.dxycdn.com/2022/0329/602/3572826612844020453-14.jpg!wh200)
