相关产品推荐更多 >
万千商家帮你免费找货
0 人在求购买到急需产品
- 详细信息
- 文献和实验
- 技术资料
- 免疫原:
Recombinant protein encompassing a sequence within the center region of human Galectin 9. The exact sequence is proprietary.
- 亚型:
IgG
- 形态:
Liquid
- 保存条件:
Store as concentrated solution. Centrifuge briefly prior to opening vial. For short-term storage (1-2 weeks), store at 4ºC. For long-term storage, aliquot and store at -20ºC or below. Avoid multiple freeze-thaw cycles.
- 克隆性:
Polyclonal
- 标记物:
Unconjugated
- 适应物种:
Human
- 保质期:
12 months from the shipping date of the product.
- 抗原来源:
Human
- 目录编号:
GTX127353
- 级别:
Primary Antibodies
- 库存:
Available
- 供应商:
GeneTex
- 宿主:
Rabbit
- 应用范围:
WB, IHC-P
- 浓度:
1.24 mg/ml (Please refer to the vial label for the specific concentration.)
- 靶点:
Galectin 9
- 抗体英文名:
Galectin 9 antibody
- 抗体名:
Galectin 9 抗体
- 规格:
100 μl/25 μl
| 规格: | 100 μl | 产品价格: | ¥4000.0 |
|---|---|---|---|
| 规格: | 25 μl | 产品价格: | ¥1700.0 |
Various whole cell extracts (30 μg) were separated by 10% SDS-PAGE, and the membrane was blotted with Galectin 9 antibody (GTX127353) diluted at 1:500. The HRP-conjugated anti-rabbit IgG antibody (GTX213110-01) was used to detect the primary antibody.
Non-transfected (–) and transfected (+) 293T whole cell extracts (30 μg) were separated by 10% SDS-PAGE, and the membrane was blotted with Galectin 9 antibody (GTX127353) diluted at 1:2500. The HRP-conjugated anti-rabbit IgG antibody (GTX213110-01) was used to detect the primary antibody.
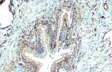
Galectin 9 antibody detects Galectin 9 protein at cytoplasm and nucleus by immunohistochemical analysis.
Sample: Paraffin-embedded human lung cancer.
Galectin 9 stained by Galectin 9 antibody (GTX127353) diluted at 1:500.
Antigen Retrieval: Citrate buffer, pH 6.0, 15 min
风险提示:丁香通仅作为第三方平台,为商家信息发布提供平台空间。用户咨询产品时请注意保护个人信息及财产安全,合理判断,谨慎选购商品,商家和用户对交易行为负责。对于医疗器械类产品,请先查证核实企业经营资质和医疗器械产品注册证情况。
文献和实验人半乳糖凝集素-3(Galectin-3)ELISA试剂盒 说明书
人半乳糖凝集素-3 (Galectin-3)ELISA 试剂盒 ( 用于血清、血浆、细胞培养上清液和其它生物体液内 ) 原理 本实验采用双抗体夹心 ABC-ELISA 法。用抗人 Galectin-3 单抗包被于酶标板上,标准品和样品中的 Galectin-3与单抗结合,加入生物素化的抗人 Galectin-3 ,形成免疫复合物连接在板上,辣根过氧化物酶标记的 Streptavidin 与生物
人半乳糖凝集素-8(Galectin-8)ELISA试剂盒 说明书
上海西唐生物科技有限公司 021-55229872, 65333639 www.westang.com 人半乳糖凝集素-8 (Galectin-8)ELISA 试剂盒 ( 用于血清、血浆、细胞培养上清液和其它生物体液内 ) 原理 本实验采用双抗体夹心 ABC-ELISA 法。用抗人 Galectin-8 单抗包被于酶标板上,标准品和样品中的 Galectin-8与单抗结合,加入
人半乳糖凝集素-9(Galectin-9)ELISA试剂盒 说明书
人半乳糖凝集素-9 (Galectin-9)ELISA 试剂盒 ( 用于血清、血浆、细胞培养上清液和其它生物体液内 ) 原理 本实验采用双抗体夹心 ABC-ELISA 法。用抗人 Galectin-9 单抗包被于酶标板上,标准品和样品中的 Galectin-9与单抗结合,加入生物素化的抗人 Galectin-9 ,形成免疫复合物连接在板上,辣根过氧化物酶标记的 Streptavidin 与生物
技术资料暂无技术资料 索取技术资料





![ALDH7A1 antibody [04]](https://img1.dxycdn.com/2022/0328/987/4118929145438700453-14.png!wh200)
![CD44v6 antibody [VFF-7]](https://img1.dxycdn.com/2022/0328/520/2071739237964500453-14.jpg!wh200)

![Tubulin antibody [YL1/2]](https://img1.dxycdn.com/2022/0329/294/4425523103356020453-14.jpg!wh200)

