相关产品推荐更多 >
万千商家帮你免费找货
0 人在求购买到急需产品
- 详细信息
- 文献和实验
- 技术资料
- 免疫原:
Recombinant protein encompassing a sequence within the N-terminus region of human ASXL1. The exact sequence is proprietary.
- 亚型:
IgG
- 形态:
Liquid
- 保存条件:
Store as concentrated solution. Centrifuge briefly prior to opening vial. For short-term storage (1-2 weeks), store at 4ºC. For long-term storage, aliquot and store at -20ºC or below. Avoid multiple freeze-thaw cycles.
- 克隆性:
Polyclonal
- 标记物:
Unconjugated
- 适应物种:
Human, Mouse
- 保质期:
12 months from the shipping date of the product.
- 抗原来源:
Human
- 目录编号:
GTX127284
- 级别:
Primary Antibodies
- 库存:
Available
- 供应商:
GeneTex
- 宿主:
Rabbit
- 应用范围:
WB, IHC-P
- 浓度:
1 mg/ml (Please refer to the vial label for the specific concentration.)
- 靶点:
Knockdown/Knockout validation was supported by references (PMID:26385183)
- 抗体英文名:
ASXL1 antibody
- 抗体名:
ASXL1 抗体
- 规格:
100 μl/25 μl
| 规格: | 100 μl | 产品价格: | ¥4000.0 |
|---|---|---|---|
| 规格: | 25 μl | 产品价格: | ¥1700.0 |
Whole cell extract (30 Âμg) was separated by 5% SDS-PAGE, and the membrane was blotted with ASXL1 antibody (GTX127284) diluted at 1:5000. The HRP-conjugated anti-rabbit IgG antibody (GTX213110-01) was used to detect the primary antibody.
ASXL1 antibody detects ASXL1 protein by western blot analysis.
A. 50 μg 293T whole cell lysate/extract
B. 50 μg whole cell lysate/extract of GFP-human ASXL1-transfected 293T cells
ASXL1 antibody (GTX127284) dilution: 1:5000
The HRP-conjugated anti-rabbit IgG antibody (GTX213110-01) was used to detect the primary antibody.
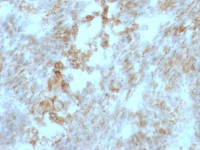
ASXL1 antibody detects ASXL1 protein at nucleus in human esophagus carcinoma by immunohistochemical analysis.
Sample: Paraffin-embedded human esophagus carcinoma.
ASXL1 antibody (GTX127284) diluted at 1:500.
Antigen Retrieval: Trilogy™ (EDTA based, pH 8.0) buffer, 15min
风险提示:丁香通仅作为第三方平台,为商家信息发布提供平台空间。用户咨询产品时请注意保护个人信息及财产安全,合理判断,谨慎选购商品,商家和用户对交易行为负责。对于医疗器械类产品,请先查证核实企业经营资质和医疗器械产品注册证情况。
文献和实验Moon S et al., Biochem Biophys Res Commun 2015 (PMID:26385183)
Moon S et al., Cell Death Dis 2018 (PMID:30389914)
Youn HS et al., Sci Rep 2017 (PMID:28701722)
技术资料暂无技术资料 索取技术资料





![CD147 antibody [BSG/963]](https://img1.dxycdn.com/2022/0328/830/2485786236410700453-14.jpg!wh200)


![CD3 antibody [KT3] (APC)](https://img1.dxycdn.com/2022/0328/664/5030354040254400453-14.jpg!wh200)

