相关产品推荐更多 >
万千商家帮你免费找货
0 人在求购买到急需产品
- 详细信息
- 询价记录
- 文献和实验
- 技术资料
- 免疫原:
Recombinant protein encompassing a sequence within the center region of human CHD4. The exact sequence is proprietary.
- 亚型:
IgG
- 形态:
Liquid
- 保存条件:
Store as concentrated solution. Centrifuge briefly prior to opening vial. For short-term storage (1-2 weeks), store at 4ºC. For long-term storage, aliquot and store at -20ºC or below. Avoid multiple freeze-thaw cycles.
- 克隆性:
Polyclonal
- 标记物:
Unconjugated
- 适应物种:
Human, Mouse
- 保质期:
12 months from the shipping date of the product.
- 抗原来源:
Human
- 目录编号:
GTX124186
- 级别:
Primary Antibodies
- 库存:
Available
- 供应商:
GeneTex
- 宿主:
Rabbit
- 应用范围:
WB, ICC/IF, IHC-P, IP
- 浓度:
1 mg/ml (Please refer to the vial label for the specific concentration.)
- 靶点:
CHD4
- 抗体英文名:
CHD4 antibody
- 抗体名:
CHD4 抗体
- 规格:
100 μl/25 μl
| 规格: | 100 μl | 产品价格: | ¥4000.0 |
|---|---|---|---|
| 规格: | 25 μl | 产品价格: | ¥1700.0 |
Sample (30 μg of whole cell lysate)
A: 293T
B: A431
C: HeLa
D: HepG2
5% SDS PAGE
GTX124186 diluted at 1:1000
The HRP-conjugated anti-rabbit IgG antibody (GTX213110-01) was used to detect the primary antibody.
CHD4 antibody detects CHD4 protein at cytosol and nucleus on mouse urinary bladder by immunohistochemical analysis.
Sample: Paraffin-embedded mouse urinary bladder.
CHD4 antibody (GTX124186) dilution: 1:500.
Antigen Retrieval: Trilogy™ (EDTA based, pH 8.0) buffer, 15min
Immunofluorescence analysis of PFA-fixed HeLa, using CHD4(GTX124186) antibody at 1:500 dilution.
Immunoprecipitation of CHD4 protein from 293T whole cell extracts using 5 μg of CHD4 antibody (GTX124186) or CHD4 antibody (GTX101662).
Western blot analysis was performed using CHD4 antibody (GTX124186).
EasyBlot anti-Rabbit IgG (GTX221666-01) was used as a secondary reagent.
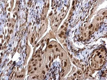
Immunohistochemical analysis of paraffin-embedded D54 xenograft, using CHD4(GTX124186) antibody at 1:1000 dilution.
Antigen Retrieval: Trilogy™ (EDTA based, pH 8.0) buffer, 15min
Immunoprecipitation of CHD4 protein from 293T whole cell extracts using 5 μg of CHD4 antibody (GTX124186).
Western blot analysis was performed using CHD4 antibody (GTX124186) diluted at 1:500.
EasyBlot anti-Rabbit IgG (GTX221666-01) was used as a secondary reagent.
CHD4 antibody detects CHD4 protein at cytosol and nucleus on mouse duodenum by immunohistochemical analysis.
Sample: Paraffin-embedded mouse duodenum.
CHD4 antibody (GTX124186) dilution: 1:500.
Antigen Retrieval: Trilogy™ (EDTA based, pH 8.0) buffer, 15min
风险提示:丁香通仅作为第三方平台,为商家信息发布提供平台空间。用户咨询产品时请注意保护个人信息及财产安全,合理判断,谨慎选购商品,商家和用户对交易行为负责。对于医疗器械类产品,请先查证核实企业经营资质和医疗器械产品注册证情况。
- 作者
- 内容
- 询问日期
文献和实验Luo CW et al., Exp Cell Res 2018 (PMID:29305962)
Hou MF et al., Exp Cell Res 2017 (PMID:28842166)
Chang CL et al., Int J Biol Sci 2021 (PMID:33994851)
Ou-Yang F et al., Life Sci 2019 (PMID:31639396)
Wang HC et al., Int J Mol Sci 2019 (PMID:31438571)
Yeo AJ et al., Cell Discov 2015 (PMID:27462424)
Generation of Antibody Molecules Through Antibody Engineering
been overcome to a large extent using genetic-engineering techniques to produce chimeric mouse/human and completely human antibodies. Such an approach is particularly suitable because of the domain structure of the antibody molecule ( 2 ), where functional
The importance of antibody molecules was first recognized in the 1890s, when it was shown that immunity to tetanus and diphtheria was caused by antibodies against the bacterial exotoxins (1 ). Around the same time, it was shown that antisera
General comments: Antibodies, like most proteins, do not like to be freeze-thawed. Avoid repetitive freezing of your solution. The best way to store your antibody is to keep a high protein concentration (>1 mg/ml), add some protease
技术资料暂无技术资料 索取技术资料





![Dectin-1 antibody [BD6] (PE)](https://img1.dxycdn.com/2022/0328/498/8892933612434400453-14.jpg!wh200)


![Twist1 antibody [10E4E6]](https://img1.dxycdn.com/2022/0328/692/9448846618243500453-14.jpg!wh200)

