相关产品推荐更多 >
万千商家帮你免费找货
0 人在求购买到急需产品
- 详细信息
- 文献和实验
- 技术资料
- 免疫原:
A synthetic peptide corresponding to a sequence at the C-terminus of mouse Peroxiredoxin 3(240-257aa TIKPSPTASKEYFEKVHQ), identical to the related rat sequence, and different from the related human sequence by three amino acids.
- 亚型:
IgG
- 形态:
Liquid
- 保存条件:
Store as concentrated solution. Centrifuge briefly prior to opening vial. For short-term storage (1-2 weeks), store at 4ºC. For long-term storage, aliquot and store at -20ºC or below. Avoid multiple freeze-thaw cycles.
- 克隆性:
Polyclonal
- 标记物:
Unconjugated
- 适应物种:
Human, Mouse, Rat
- 保质期:
12 months from the shipping date of the product.
- 抗原来源:
Mouse
- 目录编号:
GTX12108
- 级别:
Primary Antibodies
- 库存:
Available
- 供应商:
GeneTex
- 宿主:
Rabbit
- 应用范围:
WB, IHC-P
- 浓度:
500 μg/ml (Please refer to the vial label for the specific concentration.)
- 靶点:
PRX III
- 抗体英文名:
PRX III antibody
- 抗体名:
PRX III 抗体
- 规格:
100 μg
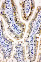
IHC-P analysis of rat intestine tissue using GTX12108 PRX III antibody.
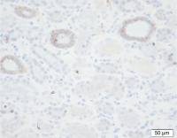
IHC-P analysis of human mammary cancer tissue using GTX12108 PRX III antibody.
IHC-P analysis of rat intestine tissue using GTX12108 PRX III antibody.
WB analysis of various samples using GTX12108 PRX III antibody.
Lane 1 : rat brain tissue lysate at 50ug
Lane 2 : rat lung tissue lysate at 50ug
Lane 3 : rat kidney tissue lysate at 50ug
Lane 4 : HeLa whole cell lysate at 40ug
Lane 5 : Jurkat whole cell lysate at 40ug
Lane 6 : 293T whole cell lysate at 40ug
Lane 7 : MCF-7 whole cell lysate at 40ug
Lane 8 : A549 whole cell lysate at 40ug
Lane 9 : U20S whole cell lysate at 40ug
Dilution : 0.5 μg/mL
风险提示:丁香通仅作为第三方平台,为商家信息发布提供平台空间。用户咨询产品时请注意保护个人信息及财产安全,合理判断,谨慎选购商品,商家和用户对交易行为负责。对于医疗器械类产品,请先查证核实企业经营资质和医疗器械产品注册证情况。
文献和实验大鼠III型胶原(Collagen III)ELISA试剂盒 说明书
上海西唐生物科技有限公司 021-55229872, 65333639 www.westang.com 大鼠 III 型胶原 (Collagen III)ELISA 试剂盒 ( 用于血清、血浆、细胞培养上清液和其它生物体液内 ) 原理 本实验采用双抗体夹心 ABC-ELISA 法。用抗大鼠 Collagen III 单抗包被于酶标板上,标准品和样品中的 Collagen III 与单抗结合,加入
小鼠III型胶原蛋白(Collagen III)ELISA试剂盒 说明书
上海西唐生物科技有限公司 021-55229872, 65333639 www.westang.com 小鼠III 型胶原蛋白 ( Collagen III )ELISA 试剂盒 ( 用于血清、血浆、细胞培养上清液和其它生物体液内 ) 原理 本实验采用双抗体夹心 ABC-ELISA 法。用抗小鼠 Collagen III 单抗包被于酶标板上,标准品和样品中的
Inducing RNAi with siRNA Cocktails Generated by RNase III
by an RNase III-like endoribonuclease (Dicer) producing siRNAs that are 21-23 bp in length and contain 3' dinucleotide overhangs with 5'-phosphate and 3'-hydroxyl termini. These siRNAs mediate degradation of homologous transcripts, leading to gene silencing
技术资料暂无技术资料 索取技术资料





![Nkx2.2 antibody [NX2/1422R]](https://img1.dxycdn.com/2022/0328/381/6766982130760700453-14.jpg!wh200)


![Thymidine Phosphorylase antibody [SPM322]](https://img1.dxycdn.com/2022/0328/302/1817071977511700453-14.jpg!wh200)


