相关产品推荐更多 >
万千商家帮你免费找货
0 人在求购买到急需产品
- 详细信息
- 技术资料
- 免疫原:
Recombinant protein encompassing a sequence within the center region of human KATNAL1. The exact sequence is proprietary.
- 亚型:
IgG
- 形态:
Liquid
- 保存条件:
Store as concentrated solution. Centrifuge briefly prior to opening vial. For short-term storage (1-2 weeks), store at 4ºC. For long-term storage, aliquot and store at -20ºC or below. Avoid multiple freeze-thaw cycles.
- 克隆性:
Polyclonal
- 标记物:
Unconjugated
- 适应物种:
Human, Mouse
- 保质期:
12 months from the shipping date of the product.
- 抗原来源:
Human
- 目录编号:
GTX120095
- 级别:
Primary Antibodies
- 库存:
Available
- 供应商:
GeneTex
- 宿主:
Rabbit
- 应用范围:
WB, IHC-P
- 浓度:
1 mg/ml (Please refer to the vial label for the specific concentration.)
- 靶点:
KATNAL1
- 抗体英文名:
KATNAL1 antibody [C1C3]
- 抗体名:
KATNAL1 抗体 [C1C3]
- 规格:
100 μl/25 μl
| 规格: | 100 μl | 产品价格: | ¥4000.0 |
|---|---|---|---|
| 规格: | 25 μl | 产品价格: | ¥1700.0 |
KATNAL1 antibody [C1C3] detects KATNAL1 protein at cytoplasm on mouse testis by immunohistochemical analysis.
Sample: Paraffin-embedded mouse testis.
KATNAL1 antibody [C1C3] (GTX120095) diluted at 1:500.
Antigen Retrieval: Trilogy™ (EDTA based, pH 8.0) buffer, 15min
KATNAL1 antibody detects KATNAL1 protein by western blot analysis. Mouse tissue extracts (50 μg) was separated by 10 % SDS-PAGE, and the membrane was blotted with KATNAL1 antibody (GTX120095) diluted by 1:1000.
Sample (30 ug of whole cell lysate)
A: 293T
7.5% SDS PAGE
GTX120095 diluted at 1:1000
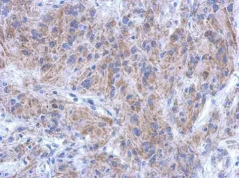
Immunohistochemical analysis of paraffin-embedded U373 xenograft, using KATNAL1(GTX120095) antibody at 1:500 dilution.
Antigen Retrieval: Trilogy™ (EDTA based, pH 8.0) buffer, 15min
风险提示:丁香通仅作为第三方平台,为商家信息发布提供平台空间。用户咨询产品时请注意保护个人信息及财产安全,合理判断,谨慎选购商品,商家和用户对交易行为负责。对于医疗器械类产品,请先查证核实企业经营资质和医疗器械产品注册证情况。
技术资料暂无技术资料 索取技术资料





![Cytokeratin 13 antibody [MSVA-613M] HistoMAX](https://custom.dxycdn.com/trademd/upload/pic/2013/11/12/A1383891150.jpg!small.t.1)


![Histone H4 antibody [RM212]](https://img1.dxycdn.com/2022/0329/931/7568343527155020453-14.jpg!wh200)


