相关产品推荐更多 >
万千商家帮你免费找货
0 人在求购买到急需产品
- 详细信息
- 文献和实验
- 技术资料
- 免疫原:
A synthetic peptide corresponding to a sequence in the middle region of human Thrombospondin 2(637-655aa EAAKTEKQVCEPENPCKDK), different from the mouse sequence by two amino acids.
- 亚型:
IgG
- 形态:
Liquid
- 保存条件:
Store as concentrated solution. Centrifuge briefly prior to opening vial. For short-term storage (1-2 weeks), store at 4ºC. For long-term storage, aliquot and store at -20ºC or below. Avoid multiple freeze-thaw cycles.
- 克隆性:
Polyclonal
- 标记物:
Unconjugated
- 适应物种:
Human, Mouse, Rat
- 保质期:
12 months from the shipping date of the product.
- 抗原来源:
Human
- 目录编号:
GTX11699
- 级别:
Primary Antibodies
- 库存:
Available
- 供应商:
GeneTex
- 宿主:
Rabbit
- 应用范围:
WB, ICC/IF, IHC-P, IHC-Fr, FACS
- 浓度:
500 μg/ml (Please refer to the vial label for the specific concentration.)
- 靶点:
Thrombospondin 2
- 抗体英文名:
Thrombospondin 2 antibody
- 抗体名:
Thrombospondin 2 抗体
- 规格:
100 μg
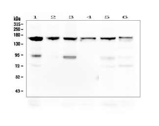
WB analysis of various samples using GTX11699 Thrombospondin 2 antibody.
Lane 1 : human HeLa whole cell lysates
Lane 2 : human 22RV1 whole cell lysates
Lane 3 : human U-87MG whole cell lysates
Lane 4 : human THP-1 whole cell lysates
Lane 5 : human PC-3 whole cell lysates
Lane 6 : human Caco-2 whole cell lysates
Dilution : 0.5 μg/mL
Loading : 50μg of sample under reducing conditions
FACS analysis of U87-MG cells using GTX11699 Thrombospondin 2 antibody.
Blue : Primary antibody
Green : Isotype control
Red : Cell only control
Antibody amount : 1μg/1x10⁶ cells for 30 min at 20ºC
IHC-P analysis of human placenta tissue using GTX11699 Thrombospondin 2 antibody.
Antigen retireval : Heat mediated antigen retrieval was performed in citrate buffer (pH6, epitope retrieval solution) for 20 mins
Dilution : 1μg/ml
WB analysis of various samples using GTX11699 Thrombospondin 2 antibody.
Lane 1 : rat brain tissue lysates
Lane 2 : mouse brain tissue lysates
Dilution : 0.5 μg/mL
Loading : 50μg of sample under reducing conditions
风险提示:丁香通仅作为第三方平台,为商家信息发布提供平台空间。用户咨询产品时请注意保护个人信息及财产安全,合理判断,谨慎选购商品,商家和用户对交易行为负责。对于医疗器械类产品,请先查证核实企业经营资质和医疗器械产品注册证情况。
文献和实验Development of techniques for primary culture of C. elegans embryonic neurons
detailed studies of the interactions of growing axons with their substrates are possible, including antibody perturbation studies of cell-surface molecules, direct observation of growth cone behavior, and pharmacological manipulation of growing
技术资料暂无技术资料 索取技术资料





![gamma Tubulin antibody [GT4511]](https://img1.dxycdn.com/2022/0329/139/4463031270085020453-14.jpg!wh200)

![Glypican-3 antibody [GT764]](https://img1.dxycdn.com/2022/0329/678/4669465815126020453-14.jpg!wh200)



