相关产品推荐更多 >
万千商家帮你免费找货
0 人在求购买到急需产品
- 详细信息
- 文献和实验
- 技术资料
- 免疫原:
Recombinant protein encompassing a sequence within the center region of human ATP synthase gamma. The exact sequence is proprietary.
- 亚型:
IgG
- 形态:
Liquid
- 保存条件:
Store as concentrated solution. Centrifuge briefly prior to opening vial. For short-term storage (1-2 weeks), store at 4ºC. For long-term storage, aliquot and store at -20ºC or below. Avoid multiple freeze-thaw cycles.
- 克隆性:
Polyclonal
- 标记物:
Unconjugated
- 适应物种:
Human, Mouse, Rat, Zebrafish
- 保质期:
12 months from the shipping date of the product.
- 抗原来源:
Human
- 目录编号:
GTX114275
- 级别:
Primary Antibodies
- 库存:
Available
- 供应商:
GeneTex
- 宿主:
Rabbit
- 应用范围:
WB, IHC-P, IP
- 浓度:
0.44 mg/ml (Please refer to the vial label for the specific concentration.)
- 靶点:
Knockdown/Knockout validation was supported by references (PMID:26990993)
- 抗体英文名:
ATP synthase gamma antibody
- 抗体名:
ATP synthase gamma 抗体
- 规格:
100 μl/25 μl
| 规格: | 100 μl | 产品价格: | ¥4000.0 |
|---|---|---|---|
| 规格: | 25 μl | 产品价格: | ¥1700.0 |
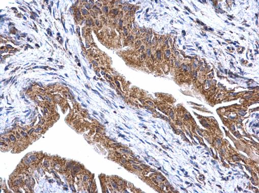
ATP synthase gamma antibody detects ATP synthase gamma protein at mitochondria on mouse cervix by immunohistochemical analysis.
Sample: Paraffin-embedded mouse cervix.
ATP synthase gamma antibody (GTX114275) dilution: 1:500.
Antigen Retrieval: Trilogy™ (EDTA based, pH 8.0) buffer, 15min
Sample (30 μg of whole cell lysate)
A: HeLa
12% SDS PAGE
ATP synthase gamma(mitochondrial) antibody
GTX114275 diluted at 1:1000
The HRP-conjugated anti-rabbit IgG antibody (GTX213110-01) was used to detect the primary antibody.
Sample (50 μg of whole cell lysate)
A: mouse brain
12% SDS PAGE
GTX114275 diluted at 1:1000
The HRP-conjugated anti-rabbit IgG antibody (GTX213110-01) was used to detect the primary antibody.
ATP synthase gamma antibody detects ATP synthase gamma protein at mitochondria on mouse cervix by immunohistochemical analysis.
Sample: Paraffin-embedded mouse cervix.
ATP synthase gamma antibody (GTX114275) dilution: 1:500.
Antigen Retrieval: Trilogy™ (EDTA based, pH 8.0) buffer, 15min
ATP synthase gamma antibody detects ATP5C1 protein by western blot analysis.
A. 50 μg rat kidney lysate/extract
12% SDS-PAGE
ATP synthase gamma antibody (GTX114275) dilution: 1:5000
The HRP-conjugated anti-rabbit IgG antibody (GTX213110-01) was used to detect the primary antibody.
风险提示:丁香通仅作为第三方平台,为商家信息发布提供平台空间。用户咨询产品时请注意保护个人信息及财产安全,合理判断,谨慎选购商品,商家和用户对交易行为负责。对于医疗器械类产品,请先查证核实企业经营资质和医疗器械产品注册证情况。
文献和实验Carraro M et al., Cell Rep 2020 (PMID:32877677)
Sundararaman B et al., Mol Cell 2016 (PMID:26990993)
Galber C et al., Cell Rep 2021 (PMID:33979610)
ATP或称F0F1 复合物(F0F1 complexes), 该酶在分离状态下具有ATP水解酶的活性,在结合状态下具有ATP合酶的活性, 属F型ATPase。除了线粒体中有ATP合酶外,植物叶绿体的类囊体和好氧细菌都有ATP合酶的同源物,ATP合酶的分子组成和主要特点是: 头部:头部即F1, 细菌和线粒体ATP合酶的F1都是水溶性的蛋白,结构相似,由5种多肽(α、β、γ、δ和ε)组成的九聚体(α3β3γδε),α亚基和β亚基构成一种球形的排列,头部含有三个催化ATP
Methods to Determine the Status of Mitochondrial ATP Synthase Assembly
The adenosine triphosphate (ATP) synthase (F1 -F0 complex) of the mitochondrial inner membrane is responsible for making nearly all of the ATP utilized by eukaryotic organisms. The enzyme is an oligomer of more than 20 different subunits, 14
指催化不与 ATP等核苷三磷酸分解相伴的合成反应的酶。反应形式多为与裂解相反的加成反应。在酶分类上不属于合成酶,多划在解裂酶中。柠檬酸合酶等是熟知的这种酶类。
技术资料暂无技术资料 索取技术资料





![DZIP3 antibody [C1C2-2], Internal](https://img1.dxycdn.com/2022/0328/824/7720275013384300453-14.jpg!wh200)


![OTX2 antibody [1H12G8B2]](https://img1.dxycdn.com/2022/0328/987/4040562894492500453-14.jpg!wh200)

