相关产品推荐更多 >
万千商家帮你免费找货
0 人在求购买到急需产品
- 详细信息
- 文献和实验
- 技术资料
- 免疫原:
Recombinant protein encompassing a sequence within the center region of human HADHA. The exact sequence is proprietary.
- 亚型:
IgG
- 形态:
Liquid
- 保存条件:
Store as concentrated solution. Centrifuge briefly prior to opening vial. For short-term storage (1-2 weeks), store at 4ºC. For long-term storage, aliquot and store at -20ºC or below. Avoid multiple freeze-thaw cycles.
- 克隆性:
Polyclonal
- 标记物:
Unconjugated
- 适应物种:
Human, Mouse, Rat
- 保质期:
12 months from the shipping date of the product.
- 抗原来源:
Human
- 目录编号:
GTX113727
- 级别:
Primary Antibodies
- 库存:
Available
- 供应商:
GeneTex
- 宿主:
Rabbit
- 应用范围:
WB, ICC/IF, IHC-P
- 浓度:
0.37 mg/ml (Please refer to the vial label for the specific concentration.)
- 靶点:
HADHA
- 抗体英文名:
HADHA antibody [N2C1], Internal
- 抗体名:
HADHA 抗体 [N2C1], Internal
- 规格:
100 μl/25 μl
| 规格: | 100 μl | 产品价格: | ¥4000.0 |
|---|---|---|---|
| 规格: | 25 μl | 产品价格: | ¥1700.0 |
Non-transfected (–) and transfected (+) 293T whole cell extracts (30 μg) were separated by 7.5% SDS-PAGE, and the membrane was blotted with HADHA antibody [N2C1], Internal (GTX113727) diluted at 1:1000. The HRP-conjugated anti-rabbit IgG antibody (GTX213110-01) was used to detect the primary antibody.
HADHA antibody [N2C1], Internal detects HADHA protein by Western blot analysis.
A.30 μg PC-12 whole cell lysate/extract
7.5 % SDS-PAGE
HADHA antibody [N2C1], Internal (GTX113727) dilution: 1:500
Sample (30 ug of whole cell lysate)
A: 293T
B: A431 (GTX27909)
7.5% SDS PAGE
GTX113727 diluted at 1:1000
HADHA antibody [N2C1], Internal detects HADHA protein at cytoplasm by immunofluorescent analysis.
Sample: HeLa cells were fixed in 4% PFA at RT for 15 min.
Green: HADHA protein stained by HADHA antibody [N2C1], Internal (GTX113727) diluted at 1:500.
Red: alpha Tubulin, a cytoskeleton marker, stained by alpha Tubulin antibody [GT114] (GTX628802) diluted at 1:1000.
Blue: Hoechst 33342 staining.
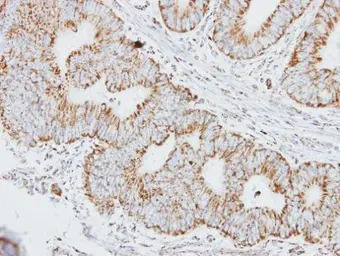
Immunohistochemical analysis of paraffin-embedded human colon carcinoma, using HADHA(GTX113727) antibody at 1:250 dilution.
Antigen Retrieval: Trilogy™ (EDTA based, pH 8.0) buffer, 15min
Sample (50 ug of whole cell lysate)
A: mouse liver
7.5% SDS PAGE
GTX113727 diluted at 1:1000
HADHA antibody [N2C1], Internal detects HADHA protein at Mitochondia by immunofluorescent analysis.
Sample: HepG2 cells were fixed in -20ºC 100% MeOH for 5 min.
Green: HADHA protein stained by HADHA antibody [N2C1], Internal (GTX113727) diluted at 1:500.
Blue: Hoechst 33343 staining.
风险提示:丁香通仅作为第三方平台,为商家信息发布提供平台空间。用户咨询产品时请注意保护个人信息及财产安全,合理判断,谨慎选购商品,商家和用户对交易行为负责。对于医疗器械类产品,请先查证核实企业经营资质和医疗器械产品注册证情况。
文献和实验Dang Y et al., Biomed Pharmacother 2020 (PMID:32325349)
Harel M et al., Cell 2019 (PMID:31495571)
Lee J et al., Cell Rep 2016 (PMID:27320917)
Lee J et al., Cell Rep 2015 (PMID:25578732)
Rodriguez S et al., BMC Biochem 2014 (PMID:25152047)
In the field of therapeutic recombinant proteins, monoclonal antibodies (mAbs) have achieved a rising success with more than 30 mAbs that have reached the market in the past 20 years. From a structural standpoint, one of the most important
. For most substrates, it is believed, though it has been demonstrated experimentally only for a few, that the first ubiquitin moiety is conjugated, via its C-terminal Gly76 residue, to an ε-NH2 group of an internal Lys residue. Recent findings indicate
Using MZEF to Find Internal Coding Exons
) was designed to help identify one of the most important classes of exons, i.e. the internal coding exons, in human genomic DNA sequences. It is neither for predicting intronless genes, nor for assembling predicted exons into complete gene models
技术资料暂无技术资料 索取技术资料






![Factor IX antibody [13F42-F6]](https://img1.dxycdn.com/2022/0328/639/4716475945385500453-14.jpg!wh200)

![Interferon gamma antibody [XMG1.2]](https://img1.dxycdn.com/2022/0328/004/8662802149664500453-14.jpg!wh200)


