相关产品推荐更多 >
万千商家帮你免费找货
0 人在求购买到急需产品
- 详细信息
- 文献和实验
- 技术资料
- 免疫原:
Recombinant protein encompassing a sequence within the center region of human GSTM1. The exact sequence is proprietary.
- 亚型:
IgG
- 形态:
Liquid
- 保存条件:
Store as concentrated solution. Centrifuge briefly prior to opening vial. For short-term storage (1-2 weeks), store at 4ºC. For long-term storage, aliquot and store at -20ºC or below. Avoid multiple freeze-thaw cycles.
- 克隆性:
Polyclonal
- 标记物:
Unconjugated
- 适应物种:
Human, Mouse, Rat
- 保质期:
12 months from the shipping date of the product.
- 抗原来源:
Human
- 目录编号:
GTX113448
- 级别:
Primary Antibodies
- 库存:
Available
- 供应商:
GeneTex
- 宿主:
Rabbit
- 应用范围:
WB, IHC-P
- 浓度:
1 mg/ml (Please refer to the vial label for the specific concentration.)
- 靶点:
GSTM1
- 抗体英文名:
GSTM1 antibody
- 抗体名:
GSTM1 抗体
- 规格:
100 μl/25 μl
| 规格: | 100 μl | 产品价格: | ¥4000.0 |
|---|---|---|---|
| 规格: | 25 μl | 产品价格: | ¥1700.0 |
GSTM1 antibody detects protein by western blot analysis.
A. 50 μg mouse brain lysate/extract
12% SDS-PAGE
GSTM1 antibody (GTX113448) dilution: 1:1000
The HRP-conjugated anti-rabbit IgG antibody (GTX213110-01) was used to detect the primary antibody.
GSTM1 antibody detects GSTM1 protein by western blot analysis.
A. 50 μg rat liver lysate/extract
12% SDS-PAGE
GSTM1 antibody (GTX113448) dilution: 1:2000
The HRP-conjugated anti-rabbit IgG antibody (GTX213110-01) was used to detect the primary antibody.
Human tissue extract (30 μg) was separated by 12% SDS-PAGE, and the membrane was blotted with GSTM1 antibody (GTX113448) diluted at 1:1000. The HRP-conjugated anti-rabbit IgG antibody (GTX213110-01) was used to detect the primary antibody.
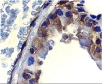
GSTM1 antibody detects GSTM1 protein at cytoplasm in rat heart by immunohistochemical analysis.
Sample: Paraffin-embedded rat heart.
GSTM1 antibody (GTX113448) diluted at 1:400.
Antigen Retrieval: Citrate buffer, pH 6.0, 15 min
风险提示:丁香通仅作为第三方平台,为商家信息发布提供平台空间。用户咨询产品时请注意保护个人信息及财产安全,合理判断,谨慎选购商品,商家和用户对交易行为负责。对于医疗器械类产品,请先查证核实企业经营资质和医疗器械产品注册证情况。
文献和实验Gdula-Argasi?ska J et al., Pharmacol Rep 2016 (PMID:27362771)
Chuang JJ et al., Toxicol Appl Pharmacol 2014 (PMID:24998975)
Zamami Y et al., Biomed Pharmacother 2022 (PMID:35240525)
Dai YC et al., PLoS One 2017 (PMID:29016672)
Wang SC et al., PLoS One 2016 (PMID:27404495)
技术资料暂无技术资料 索取技术资料






![KLHL11 antibody [1B9A8]](https://img1.dxycdn.com/2022/0328/149/2742299175627500453-14.jpg!wh200)



