相关产品推荐更多 >
万千商家帮你免费找货
0 人在求购买到急需产品
- 详细信息
- 文献和实验
- 技术资料
- 免疫原:
Recombinant protein encompassing a sequence within the N-terminus region of human DNA polymerase gamma. The exact sequence is proprietary.
- 亚型:
IgG
- 形态:
Liquid
- 保存条件:
Store as concentrated solution. Centrifuge briefly prior to opening vial. For short-term storage (1-2 weeks), store at 4ºC. For long-term storage, aliquot and store at -20ºC or below. Avoid multiple freeze-thaw cycles.
- 克隆性:
Polyclonal
- 标记物:
Unconjugated
- 适应物种:
Human, Rat
- 保质期:
12 months from the shipping date of the product.
- 抗原来源:
Human
- 目录编号:
GTX113247
- 级别:
Primary Antibodies
- 库存:
Available
- 供应商:
GeneTex
- 宿主:
Rabbit
- 应用范围:
WB, IHC-P
- 浓度:
1 mg/ml (Please refer to the vial label for the specific concentration.)
- 靶点:
DNA polymerase gamma
- 抗体英文名:
DNA polymerase gamma antibody [N1N2], N-term
- 抗体名:
DNA polymerase gamma 抗体 [N1N2], N-term
- 规格:
100 μl/25 μl
| 规格: | 100 μl | 产品价格: | ¥4000.0 |
|---|---|---|---|
| 规格: | 25 μl | 产品价格: | ¥1700.0 |
Sample (30 ug of whole cell lysate)
A: NT2D1
5% SDS PAGE
GTX113247 diluted at 1:1000
DNA polymerase gamma antibody [N1N2], N-term detects POLG protein by Western blot analysis.
A. 50 μg rat testis lysate/extract
5 % SDS-PAGE
DNA polymerase gamma antibody [N1N2], N-term (GTX113247) dilution: 1:500
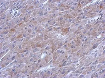
Immunohistochemical analysis of paraffin-embedded U87 xenograft, using DNA polymerase gamma(GTX113247) antibody at 1:500 dilution.
Antigen Retrieval: Trilogy™ (EDTA based, pH 8.0) buffer, 15min
风险提示:丁香通仅作为第三方平台,为商家信息发布提供平台空间。用户咨询产品时请注意保护个人信息及财产安全,合理判断,谨慎选购商品,商家和用户对交易行为负责。对于医疗器械类产品,请先查证核实企业经营资质和医疗器械产品注册证情况。
文献和实验In-Fusion Cloning with Vaccinia Virus DNA Polymerase
Vaccinia virus DNA polymerase (VVpol) encodes a 3′-to-5′ proofreading exonuclease that can degrade the ends of duplex DNA and expose single-stranded DNA tails. The reaction plays a critical role in promoting virus recombination in vivo
Production of Monoclonal Antibody by DNA Immunization with Electroporation
against a house dust mite allergen, designated as Blo t 11, which is a paramyosin homologue found in Blomia tropicalis mites. The Blo t 11 cDNA fused at the N terminus to the sequence of a signal peptide was cloned into the pCI mammalian expression vector. The DNA
Polymerase Chain Reaction Analysis of DNA from Paraffin-Embedded Tissue
One of the greatest potentials of polymerase chain reaction (PCR) lies in the fact that even minute amounts of target DNA or extensively damaged DNA can be successfully amplified in vitro and thus become amenable to further study
技术资料暂无技术资料 索取技术资料









![LYVE1 antibody [GT1359]](https://custom.dxycdn.com/trademd/upload/pic/2013/11/12/A1383891150.jpg!small.t.1)
