相关产品推荐更多 >
万千商家帮你免费找货
0 人在求购买到急需产品
- 详细信息
- 文献和实验
- 技术资料
- 免疫原:
Recombinant protein encompassing a sequence within the C-terminus region of human SMAD4. The exact sequence is proprietary.
- 亚型:
IgG
- 形态:
Liquid
- 保存条件:
Store as concentrated solution. Centrifuge briefly prior to opening vial. For short-term storage (1-2 weeks), store at 4ºC. For long-term storage, aliquot and store at -20ºC or below. Avoid multiple freeze-thaw cycles.
- 克隆性:
Polyclonal
- 标记物:
Unconjugated
- 适应物种:
Human, Mouse, Rat
- 保质期:
12 months from the shipping date of the product.
- 抗原来源:
Human
- 目录编号:
GTX112980
- 级别:
Primary Antibodies
- 库存:
Available
- 供应商:
GeneTex
- 宿主:
Rabbit
- 应用范围:
WB, ICC/IF, IHC-P
- 浓度:
0.58 mg/ml (Please refer to the vial label for the specific concentration.)
- 靶点:
SMAD4
- 抗体英文名:
SMAD4 antibody
- 抗体名:
SMAD4 抗体
- 规格:
100 μl/25 μl
| 规格: | 100 μl | 产品价格: | ¥4000.0 |
|---|---|---|---|
| 规格: | 25 μl | 产品价格: | ¥1700.0 |
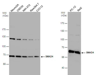
Various whole cell extracts (30 μg) were separated by 7.5% SDS-PAGE, and the membranes were blotted with SMAD4 antibody (GTX112980) diluted at 1:1000 and competitor's antibody (sc-7966) diluted at 1:100. The HRP-conjugated anti-rabbit IgG antibody (GTX213110-01) was used to detect the primary antibody.
SMAD4 antibody detects SMAD4 protein by western blot analysis. Various whole cell extracts were separated by 7.5% SDS-PAGE, and the membrane was blotted with SMAD4 antibody (GTX112980) diluted at 1:1000. The HRP-conjugated anti-rabbit IgG antibody (GTX213110-01) was used to detect the primary antibody.
SMAD4 antibody detects SMAD4 protein at cytoplasm and nucleus by immunohistochemical analysis.
Sample: Paraffin-embedded rat brain.
SMAD4 stained by SMAD4 antibody (GTX112980) diluted at 1:500.
Antigen Retrieval: Citrate buffer, pH 6.0, 15 min
Non-transfected (–) and transfected (+) 293T whole cell extracts (30 μg) were separated by 10% SDS-PAGE, and the membrane was blotted with SMAD4 antibody (GTX112980) diluted at 1:1000. The HRP-conjugated anti-rabbit IgG antibody (GTX213110-01) was used to detect the primary antibody.
SMAD4 antibody detects SMAD4 protein at cytoplasm and nucleus in mouse brain by immunohistochemical analysis.
Sample: Paraffin-embedded mouse brain.
SMAD4 antibody (GTX112980) diluted at 1:500.
Antigen Retrieval: Citrate buffer, pH 6.0, 15 min
Immunohistochemical analysis of paraffin-embedded human ulcerative colitis tissue using SMAD4 antibody (GTX112980)
SMAD4 antibody detects SMAD4 protein a tcytoplasm and nucleus by immunofluorescent analysis.
Sample: SK-N-SH cells were fixed in 4% PFA at RT for 15 min.
Green: SMAD4 protein stained by SMAD4 antibody (GTX112980) diluted at 1:500.
Blue: Hoechst 33342 staining.
Scale bar = 10 μm.
SMAD4 antibody detects SMAD4 protein at cytoplasm and nucleus by immunofluorescent analysis.
Sample: HeLa cells were fixed in 4% PFA at RT for 15 min.
Green: SMAD4 protein stained by SMAD4 antibody (GTX112980) diluted at 1:500.
Blue: Hoechst 33342 staining.
SMAD4 antibody detects SMAD4 protein at cytoplasm and nucleus in mouse duodenum by immunohistochemical analysis.
Sample: Paraffin-embedded mouse duodenum.
SMAD4 antibody (GTX112980) diluted at 1:500.
Antigen Retrieval: Citrate buffer, pH 6.0, 15 min
SMAD4 antibody detects SMAD4 protein at cytoplasm and nucleus by immunohistochemical analysis.
Sample: Paraffin-embedded mouse testis.
SMAD4 stained by SMAD4 antibody (GTX112980) diluted at 1:500.
Antigen Retrieval: Citrate buffer, pH 6.0, 15 min
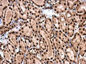
SMAD4 antibody detects SMAD4 protein at cytoplasm and nucleus in rat kidney by immunohistochemical analysis.
Sample: Paraffin-embedded rat kidney.
SMAD4 antibody (GTX112980) diluted at 1:500.
Antigen Retrieval: Citrate buffer, pH 6.0, 15 min
风险提示:丁香通仅作为第三方平台,为商家信息发布提供平台空间。用户咨询产品时请注意保护个人信息及财产安全,合理判断,谨慎选购商品,商家和用户对交易行为负责。对于医疗器械类产品,请先查证核实企业经营资质和医疗器械产品注册证情况。
文献和实验Zheng S et al., Int J Med Sci 2018;15(Epub)
Huang SC et al., EMBO Mol Med 2017 (PMID:28993429)
Fang CY et al., PLoS One 2017 (PMID:28591207)
Khuman MW et al., Toxicology 2016 (PMID:27889505)
Chen HY et al., Antioxidants (Basel) 2021 (PMID:33451157)
Gu J et al., Evid Based Complement Alternat Med 2019 (PMID:31214266)
dingding2004 想找一个药物来阻断SMAD4 的作用。不知有没有做过的。 SMAD4 是在转录水平发挥作用的,如果有这种药物,加在要干预的细胞培养液中,可以发挥作用吗? dingding2004 自己顶下啊 caoying207 唉,没想到2年以后,我也在找SMAD4阻断剂(抑制剂 ),前辈,你找到了吗? skyzhuz 半
Molecular Detection of Smad2/Smad4 Alterations in Colorectal Tumors
The signaling pathways mediated by the transforming growth factor-β (TGF-β) family of factors are implicated in a wide array of biological processes including cell differentiation and proliferation, determination of cell fate during embryogenesis
Direct Sequencing for Juvenile Polyposis Gene SMAD4/DPC4 Mutations
Juvenile polyposis (JP) is a rare dominantly inherited tumor predisposition syndrome, the typical lesion being a benign hamartomatous intestinal polyp with dilated crypts. Solitary juvenile polyps are relatively common in childhood, and appear
技术资料暂无技术资料 索取技术资料





![TACSTD2 antibody [MSVA-733R] HistoMAX](https://custom.dxycdn.com/trademd/upload/pic/2013/11/12/A1383891150.jpg!small.t.1)
![CD36 antibody [TR9] (PE)](https://img1.dxycdn.com/2022/0328/072/9764108077685500453-14.jpg!wh200)



