相关产品推荐更多 >
万千商家帮你免费找货
0 人在求购买到急需产品
- 详细信息
- 文献和实验
- 技术资料
- 免疫原:
human skeletal muscle myosin purified from myofibrils.
- 亚型:
IgG1
- 形态:
Liquid
- 保存条件:
Store as concentrated solution. Centrifuge briefly prior to opening vial. For short-term storage (1-2 weeks), store at 4℃. For long-term storage, aliquot and store at -20℃ or below. Avoid multiple freeze-thaw cycles.
- 克隆性:
Monoclonal
- 标记物:
Unconjugated
- 适应物种:
Human, Mouse, Rat, Rabbit, Goat, Sheep, Bovine, Cat, Dog, Hamster, Chicken, Guinea pig, Pig
- 保质期:
12 months from the shipping date of the product.
- 抗原来源:
Human
- 目录编号:
GTX11083
- 级别:
Primary Antibodies
- 库存:
Available
- 供应商:
GeneTex
- 宿主:
Mouse
- 应用范围:
WB, IHC-P, IHC-Fr, ELISA, EM, IHC, RIA
- 浓度:
Batch dependent(Please refer to the vial label for the specific concentration.)
- 靶点:
Myosin skeletal slow
- 抗体英文名:
Myosin skeletal slow antibody [NOQ7.5.4D]
- 抗体名:
Myosin skeletal slow 抗体 [NOQ7.5.4D]
- 规格:
100 μl
WB analysis of rabbit tongue extract using GTX11083 Myosin skeletal slow antibody [NOQ7.5.4D].
Lane A: Antibody dilution 1:5,000
Lane B: Secondary antibody only
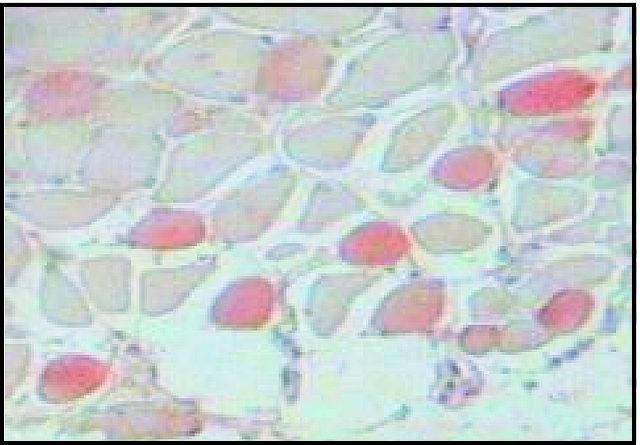
IHC-P analysis of rabbit tongue tissue using GTX11083 Myosin skeletal slow antibody [NOQ7.5.4D] at 1:4,000.
风险提示:丁香通仅作为第三方平台,为商家信息发布提供平台空间。用户咨询产品时请注意保护个人信息及财产安全,合理判断,谨慎选购商品,商家和用户对交易行为负责。对于医疗器械类产品,请先查证核实企业经营资质和医疗器械产品注册证情况。
文献和实验Murakami S et al., ScientificWorldJournal 2012 (PMID:23213294)
Moreno M et al., FASEB J 2011 (PMID:21670063)
Hagberg CE et al., Nature 2010 (PMID:20228789)
Takeda I et al., J Muscle Res Cell Motil 2009 (PMID:19551479)
Lin CY et al., J Photochem Photobiol B 2020 (PMID:33002778)
Determination of Muscle Fiber Type in Rodents
consist of muscle fibers that can differ in both composition and functional characteristics. These three types of muscle fibers, broadly categorized as slow, fast IIa, and fast IIb muscle fibers, express characteristic myosin heavy chain proteins
-based immunization for hepatitis B induces continuous secretion of antigen and high levels of circulating antibody. Human Molecular Genetics 2: 1847-1851. Davis, H.L., Whalen, R.G. & Demeneix, B.A. (1993) Direct gene transfer into skeletal muscle
v468.Chapter 3 分泌型跨膜相关蛋白提纯及Wnt抑制活性
). 2. Dishevelled (Dvl)-2 primary antibody: clone 10B5 (sc-8026;Santa Cruz Biotechnology). 3. Dvl-3 primary antibody: clone 4D3 (sc-8027; Santa CruzBiotechnology). 4. Secondary antibody to use with mouse monoclonal primaryantibodies: sheep anti-mouse IgG-HRP
技术资料暂无技术资料 索取技术资料









![RAB7A antibody [Rab7-117]](https://img1.dxycdn.com/2022/0328/228/5468488936537300453-14.jpg!wh200)

