相关产品推荐更多 >
万千商家帮你免费找货
0 人在求购买到急需产品
- 详细信息
- 文献和实验
- 技术资料
- 免疫原:
Recombinant protein encompassing a sequence within the center region of human Selenophosphate synthetase 1. The exact sequence is proprietary.
- 亚型:
IgG
- 形态:
Liquid
- 保存条件:
Store as concentrated solution. Centrifuge briefly prior to opening vial. For short-term storage (1-2 weeks), store at 4ºC. For long-term storage, aliquot and store at -20ºC or below. Avoid multiple freeze-thaw cycles.
- 克隆性:
Polyclonal
- 标记物:
Unconjugated
- 适应物种:
Human, Mouse
- 保质期:
12 months from the shipping date of the product.
- 抗原来源:
Human
- 目录编号:
GTX107924
- 级别:
Primary Antibodies
- 库存:
Available
- 供应商:
GeneTex
- 宿主:
Rabbit
- 应用范围:
WB, IHC-P
- 浓度:
0.67 mg/ml (Please refer to the vial label for the specific concentration.)
- 靶点:
Selenophosphate synthetase 1
- 抗体英文名:
Selenophosphate synthetase 1 antibody
- 抗体名:
Selenophosphate synthetase 1 抗体
- 规格:
100 μl/25 μl
| 规格: | 100 μl | 产品价格: | ¥4000.0 |
|---|---|---|---|
| 规格: | 25 μl | 产品价格: | ¥1700.0 |
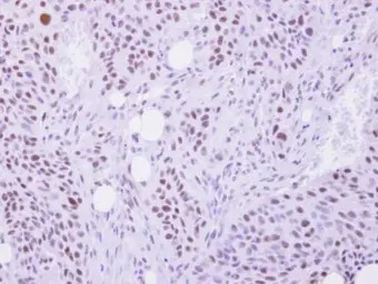
Selenophosphate synthetase 1 antibody detects Selenophosphate synthetase 1 protein at nucleus on mouse fore brain by immunohistochemical analysis.
Sample: Paraffin-embedded mouse fore brain.
Selenophosphate synthetase 1 antibody (GTX107924) diluted at 1:500.
Antigen Retrieval: Trilogy™ (EDTA based, pH 8.0) buffer, 15min
Sample (30 ug of whole cell lysate)
A: Hep G2 (GTX27900)
10% SDS PAGE
Selenophosphate synthetase 1 antibody
GTX107924 diluted at 1:1000
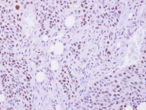
Selenophosphate synthetase 1 antibody detects SEPHS1 protein at nucleus on HSC-3 xenograft by immunohistochemical analysis.
Sample: Paraffin-embedded HSC-3 xenograft.
Selenophosphate synthetase 1 antibody (GTX107924) dilution: 1:500.
Antigen Retrieval: Trilogy™ (EDTA based, pH 8.0) buffer, 15min
风险提示:丁香通仅作为第三方平台,为商家信息发布提供平台空间。用户咨询产品时请注意保护个人信息及财产安全,合理判断,谨慎选购商品,商家和用户对交易行为负责。对于医疗器械类产品,请先查证核实企业经营资质和医疗器械产品注册证情况。
文献和实验Generation of Heavy and Light Chains (Chimeric Antibodies)
by a variety of antibody engineering methods and technological developments, chimeric and humanized antibodies are commonly used as therapeutics for cancer, infectious and inflammatory diseases, for imaging or in targeted delivery systems. This chapter
Figure 20.4.4 Observed binding enthalpy change from ITC depends on the buffer proton‐ionization enthalpy whenever binding is coupled to uptake or release of protons. Data are for a monoclonal antibody (MAb) protein–antigen (CD4) interaction (Doyle et al
Analysis of Oxidative Modification of Proteins
1 ) 5% (w/v) nonfat dry milk in Tris‐buffed saline with and without Tween‐20 (TBST; see recipe ) Primary antibody (anti‐DNP antibody; Sigma
技术资料暂无技术资料 索取技术资料






![PD-L1 antibody [405-9A11]](https://img1.dxycdn.com/2022/0328/983/9412442703090800453-14.jpg!wh200)

![BACE2 antibody [C1C3]](https://img1.dxycdn.com/2022/0328/472/3383382162699200453-14.jpg!wh200)


