相关产品推荐更多 >
万千商家帮你免费找货
0 人在求购买到急需产品
- 详细信息
- 文献和实验
- 技术资料
- 免疫原:
Recombinant protein encompassing a sequence within the center region of human TST. The exact sequence is proprietary.
- 亚型:
IgG
- 形态:
Liquid
- 保存条件:
Store as concentrated solution. Centrifuge briefly prior to opening vial. For short-term storage (1-2 weeks), store at 4ºC. For long-term storage, aliquot and store at -20ºC or below. Avoid multiple freeze-thaw cycles.
- 克隆性:
Polyclonal
- 标记物:
Unconjugated
- 适应物种:
Human, Mouse, Rat
- 保质期:
12 months from the shipping date of the product.
- 抗原来源:
Human
- 目录编号:
GTX106257
- 级别:
Primary Antibodies
- 库存:
Available
- 供应商:
GeneTex
- 宿主:
Rabbit
- 应用范围:
WB, IHC-P
- 浓度:
0.39 mg/ml (Please refer to the vial label for the specific concentration.)
- 靶点:
TST
- 抗体英文名:
TST antibody
- 抗体名:
TST 抗体
- 规格:
100 μl/25 μl
| 规格: | 100 μl | 产品价格: | ¥4000.0 |
|---|---|---|---|
| 规格: | 25 μl | 产品价格: | ¥1700.0 |
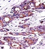
Immunohistochemical analysis of paraffin-embedded MCF7 xenograft, using TST(GTX106257) antibody at 1:250 dilution.
Antigen Retrieval: Trilogy™ (EDTA based, pH 8.0) buffer, 15min
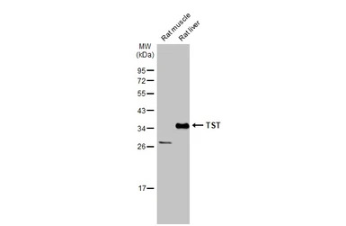
Human tissue extract (50 μg) was separated by 12% SDS-PAGE, and the membrane was blotted with TST antibody (GTX106257) diluted at 1:3000. The HRP-conjugated anti-rabbit IgG antibody (GTX213110-01) was used to detect the primary antibody.
Various tissue extracts (50 μg) were separated by 12% SDS-PAGE, and the membrane was blotted with TST antibody (GTX106257) diluted at 1:3000. The HRP-conjugated anti-rabbit IgG antibody (GTX213110-01) was used to detect the primary antibody.
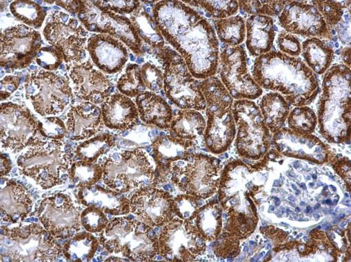
TST antibody detects TST protein at mitochondria on mouse kidney by immunohistochemical analysis.
Sample: Paraffin-embedded mouse kidney.
TST antibody (GTX106257) dilution: 1:500.
Antigen Retrieval: Trilogy™ (EDTA based, pH 8.0) buffer, 15min
Mouse tissue extracts (50 μg) was separated by 12% SDS-PAGE, and the membrane was blotted with TST antibody (GTX106257) diluted at 1:1000. The HRP-conjugated anti-rabbit IgG antibody (GTX213110-01) was used to detect the primary antibody.
风险提示:丁香通仅作为第三方平台,为商家信息发布提供平台空间。用户咨询产品时请注意保护个人信息及财产安全,合理判断,谨慎选购商品,商家和用户对交易行为负责。对于医疗器械类产品,请先查证核实企业经营资质和医疗器械产品注册证情况。
文献和实验悬尾实验(Tail suspension test, TST)
悬尾实验(Tail suspension test, TST)是一种经典而又能快速评价抗抑郁药物、兴奋药物、镇静药物药效的方法。其原理是利用小鼠悬尾后企图逃脱但又无法逃脱,从而放弃挣扎,进入特有的抑郁不动状态,实验过程中记录动物不动时间来反映抑郁状态,抗抑郁药物、兴奋药物能明显地缩短改变其状态。
Generation of Antibody Molecules Through Antibody Engineering
been overcome to a large extent using genetic-engineering techniques to produce chimeric mouse/human and completely human antibodies. Such an approach is particularly suitable because of the domain structure of the antibody molecule ( 2 ), where functional
The importance of antibody molecules was first recognized in the 1890s, when it was shown that immunity to tetanus and diphtheria was caused by antibodies against the bacterial exotoxins (1 ). Around the same time, it was shown that antisera
技术资料暂无技术资料 索取技术资料





![RAS antibody [AT2G9]](https://img1.dxycdn.com/2022/0328/246/4322473721370800453-14.jpg!wh200)




