相关产品推荐更多 >
万千商家帮你免费找货
0 人在求购买到急需产品
- 详细信息
- 文献和实验
- 技术资料
- 免疫原:
Recombinant protein encompassing a sequence within the center region of human Radixin. The exact sequence is proprietary.
- 亚型:
IgG
- 形态:
Liquid
- 保存条件:
Store as concentrated solution. Centrifuge briefly prior to opening vial. For short-term storage (1-2 weeks), store at 4ºC. For long-term storage, aliquot and store at -20ºC or below. Avoid multiple freeze-thaw cycles.
- 克隆性:
Polyclonal
- 标记物:
Unconjugated
- 适应物种:
Human, Mouse, Rat
- 保质期:
12 months from the shipping date of the product.
- 抗原来源:
Human
- 目录编号:
GTX105408
- 级别:
Primary Antibodies
- 库存:
Available
- 供应商:
GeneTex
- 宿主:
Rabbit
- 应用范围:
WB, ICC/IF, IHC-P, IP
- 浓度:
0.49 mg/ml (Please refer to the vial label for the specific concentration.)
- 靶点:
Radixin
- 抗体英文名:
Radixin antibody
- 抗体名:
Radixin 抗体
- 规格:
100 μl/25 μl
| 规格: | 100 μl | 产品价格: | ¥4000.0 |
|---|---|---|---|
| 规格: | 25 μl | 产品价格: | ¥1700.0 |
Wild-type (WT) and Radixin knockout (KO) 293T cell extracts (30 μg) were separated by 7.5% SDS-PAGE, and the membrane was blotted with Radixin antibody (GTX105408) diluted at 1:1000. The HRP-conjugated anti-rabbit IgG antibody (GTX213110-01) was used to detect the primary antibody.
Radixin antibody detects RDX protein by Western blot analysis.
A. 50 μg mouse liver lysate/extract
7.5 % SDS-PAGE
Radixin antibody (GTX105408) dilution: 1:1000
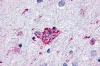
Immunohistochemical analysis of paraffin-embedded RT2 xenograft, using Radixin(GTX105408) antibody at 1:500 dilution.
Antigen Retrieval: Trilogy™ (EDTA based, pH 8.0) buffer, 15min
Immunohistochemical analysis of paraffin-embedded U373 xenograft, using Radixin(GTX105408) antibody at 1:500 dilution.
Antigen Retrieval: Trilogy™ (EDTA based, pH 8.0) buffer, 15min
Immunofluorescence analysis of PFA-fixed HeLa, using Radixin(GTX105408) antibody at 1:200 dilution.
风险提示:丁香通仅作为第三方平台,为商家信息发布提供平台空间。用户咨询产品时请注意保护个人信息及财产安全,合理判断,谨慎选购商品,商家和用户对交易行为负责。对于医疗器械类产品,请先查证核实企业经营资质和医疗器械产品注册证情况。
文献和实验Kobori T et al., PLoS One 2021 (PMID:33974673)
Babina IS et al., Breast Cancer Res 2014 (PMID:24512624)
Sundararaman B et al., Mol Cell 2016 (PMID:26990993)
Ogiwara K et al., Biol Reprod 2016 (PMID:26864196)
Beaty BT et al., J Cell Biol 2014 (PMID:24891603)
Rina Doukuni et al., J Clin Med 2022 (PMID:35807113)
Mayuka Tameishi et al., J Clin Med 2022 (PMID:35566582)
Chihiro Tanaka et al., J Clin Med 2022 (PMID:35456317)
Chihiro Tanaka et al., Molecules 2021 (PMID:34577118)
Kobori T. et al., Immuno 2022;2(1)
Tameishi M et al., Pharmaceuticals (Basel) 2021 (PMID:34681187)
Kobori T et al., Pharmaceuticals (Basel) 2021 (PMID:34577564)
Tameishi M. et al., Pharmaceuticals 2021;14(10)
Tanaka C. et al., Molecules 2021;26(18)
技术资料暂无技术资料 索取技术资料










