相关产品推荐更多 >
万千商家帮你免费找货
0 人在求购买到急需产品
- 详细信息
- 文献和实验
- 技术资料
- 免疫原:
Recombinant protein encompassing a sequence within the center region of human C1 inhibitor. The exact sequence is proprietary.
- 亚型:
IgG
- 形态:
Liquid
- 保存条件:
Store as concentrated solution. Centrifuge briefly prior to opening vial. For short-term storage (1-2 weeks), store at 4ºC. For long-term storage, aliquot and store at -20ºC or below. Avoid multiple freeze-thaw cycles.
- 克隆性:
Polyclonal
- 标记物:
Unconjugated
- 适应物种:
Human, Mouse, Rat, Bovine
- 保质期:
12 months from the shipping date of the product.
- 抗原来源:
Human
- 目录编号:
GTX105316
- 级别:
Primary Antibodies
- 库存:
Available
- 供应商:
GeneTex
- 宿主:
Rabbit
- 应用范围:
WB, IHC-P, IHC
- 浓度:
0.5 mg/ml (Please refer to the vial label for the specific concentration.)
- 靶点:
C1 inhibitor
- 抗体英文名:
C1 inhibitor antibody [N1C3]
- 抗体名:
C1 inhibitor 抗体 [N1C3]
- 规格:
100 μl/25 μl
| 规格: | 100 μl | 产品价格: | ¥4000.0 |
|---|---|---|---|
| 规格: | 25 μl | 产品价格: | ¥1700.0 |
Human plasma (30 μg) was separated by 7.5% SDS-PAGE, and the membrane was blotted with C1 inhibitor antibody [N1C3] (GTX105316) diluted at 1:15000. The HRP-conjugated anti-rabbit IgG antibody (GTX213110-01) was used to detect the primary antibody.
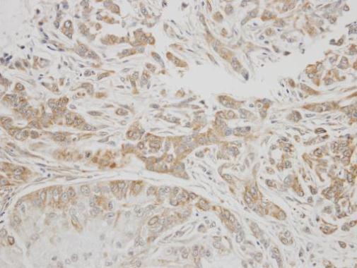
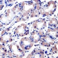
Immunohistochemical analysis of paraffin-embedded A549 xenograft, using C1 inhibitor(GTX105316) antibody at 1:300 dilution.
Antigen Retrieval: Trilogy™ (EDTA based, pH 8.0) buffer, 15min
Mouse plasma (50 μg) was separated by 7.5% SDS-PAGE, and the membrane was blotted with C1 inhibitor antibody [N1C3] (GTX105316) diluted at 1:3000. The HRP-conjugated anti-rabbit IgG antibody (GTX213110-01) was used to detect the primary antibody.
Rat plasma (50 μg) was separated by 7.5% SDS-PAGE, and the membrane was blotted with C1 inhibitor antibody [N1C3] (GTX105316) diluted at 1:1000. The HRP-conjugated anti-rabbit IgG antibody (GTX213110-01) was used to detect the primary antibody.
Rat plasma (50 μg) was separated by 7.5% SDS-PAGE, and the membrane was blotted with C1 inhibitor antibody [N1C3] (GTX105316) diluted at 1:3000. The HRP-conjugated anti-rabbit IgG antibody (GTX213110-01) was used to detect the primary antibody.
风险提示:丁香通仅作为第三方平台,为商家信息发布提供平台空间。用户咨询产品时请注意保护个人信息及财产安全,合理判断,谨慎选购商品,商家和用户对交易行为负责。对于医疗器械类产品,请先查证核实企业经营资质和医疗器械产品注册证情况。
文献和实验Kwon DJ et al., Transgenic Res 2016 (PMID:27554374)
Hayashi KG et al., Reprod Biol Endocrinol 2011 (PMID:21619581)
Flood-Nichols SK et al., Reprod Sci 2014 (PMID:23757314)
C1 Inhibitor: Quantification and Purification
C1 inhibitor is a multipotent serpin capable of inhibiting the classical and the lectin pathways of complement, the fibrinolytic system, and contact/kinin system of coagulation. Deficiency of C1 inhibitor manifest as hereditary angioedema
C1-Inhibitor: Antigenic and Functional Analysis
The classical pathway of complement is activated in various diseases. A main inhibitor of this pathway is the serpin C1-inhibitor (C1-Inh), which regulates activation at the level of C1. C1-Inh also inhibits the mannan binding lectin (MBL
补体成分 C1(C1q/C1r/C1s) 补体成分:C1q 血清浓度(μg/ml):75 分子量(kDa):410 亚单位(链)及分子量(kDa):A:24各6条B:23各6条C:22各6条 生物学活性:识别IgG、IgMFc的补体结合点 补体成分:C1r 血清浓度(μg/ml):50 分子量(kDa):85
技术资料暂无技术资料 索取技术资料











