相关产品推荐更多 >
万千商家帮你免费找货
0 人在求购买到急需产品
- 详细信息
- 文献和实验
- 技术资料
- 免疫原:
Recombinant protein encompassing a sequence within the center region of human Desmin. The exact sequence is proprietary.
- 亚型:
IgG
- 形态:
Liquid
- 保存条件:
Store as concentrated solution. Centrifuge briefly prior to opening vial. For short-term storage (1-2 weeks), store at 4ºC. For long-term storage, aliquot and store at -20ºC or below. Avoid multiple freeze-thaw cycles.
- 克隆性:
Polyclonal
- 标记物:
Unconjugated
- 适应物种:
Human, Mouse, Rat, Cat, Dog, Chicken, Pig
- 保质期:
12 months from the shipping date of the product.
- 抗原来源:
Human
- 目录编号:
GTX103557
- 级别:
Primary Antibodies
- 库存:
Available
- 供应商:
GeneTex
- 宿主:
Rabbit
- 应用范围:
WB, ICC/IF, IHC-P, IHC-Fr, FACS
- 浓度:
0.62 mg/ml (Please refer to the vial label for the specific concentration.)
- 靶点:
Desmin
- 抗体英文名:
Desmin antibody
- 抗体名:
Desmin 抗体
- 规格:
100 μl/25 μl
| 规格: | 100 μl | 产品价格: | ¥4000.0 |
|---|---|---|---|
| 规格: | 25 μl | 产品价格: | ¥1700.0 |
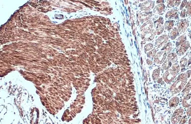
Desmin antibody detects Desmin protein at cell membrane and cytoplasm by immunohistochemical analysis.
Sample: Paraffin-embedded dog muscle.
Desmin stained by Desmin antibody (GTX103557) diluted at 1:500.
Antigen Retrieval: Citrate buffer, pH 6.0, 15 min
Desmin antibody detects Desmin protein at cytoplasm by immunofluorescent analysis.
Sample: MDCK cells were fixed in 4% PFA at RT for 15 min.
Green: Desmin stained by Desmin antibody (GTX103557) diluted at 1:500.
Whole cell extract (30 μg) was separated by 10% SDS-PAGE, and the membrane was blotted with Desmin antibody (GTX103557) diluted at 1:500. The HRP-conjugated anti-rabbit IgG antibody (GTX213110-01) was used to detect the primary antibody.
Desmin antibody detects Desmin protein at cell membrane and cytoplasm by immunohistochemical analysis.
Sample: Paraffin-embedded dog malignant soft tissue sarcoma.
Desmin stained by Desmin antibody (GTX103557) diluted at 1:500.
Antigen Retrieval: Citrate buffer, pH 6.0, 15 min
Whole cell extract (30 μg) was separated by 10% SDS-PAGE, and the membrane was blotted with Desmin antibody (GTX103557) diluted at 1:500. The HRP-conjugated anti-rabbit IgG antibody (GTX213110-01) was used to detect the primary antibody.
Desmin antibody detects Desmin protein at cytosol on mouse skeletal muscle by immunohistochemical analysis.
Sample: Paraffin-embedded mouse skeletal muscle.
Desmin antibody (GTX103557) dilution: 1:500.
Antigen Retrieval: Trilogy™ (EDTA based, pH 8.0) buffer, 15min
Desmin antibody detects Desmin protein at cytoplasm by immunohistochemical analysis.
Sample: Paraffin-embedded mouse heart.
Desmin stained by Desmin antibody (GTX103557) diluted at 1:500.
Antigen Retrieval: Citrate buffer, pH 6.0, 15 min
Desmin antibody detects DES protein at cytosol on H1299 xenograft by immunohistochemical analysis.
Sample: Paraffin-embedded H1299 xenograft.
Desmin antibody (GTX103557) dilution: 1:500.
Antigen Retrieval: Trilogy™ (EDTA based, pH 8.0) buffer, 15min
Desmin antibody detects Desmin protein at cytoplasm by immunohistochemical analysis.
Sample: Paraffin-embedded mouse smooth muscle.
Desmin stained by Desmin antibody (GTX103557) diluted at 1:500.
Antigen Retrieval: Citrate buffer, pH 6.0, 15 min
Whole cell extract (30 μg) was separated by 10% SDS-PAGE, and the membrane was blotted with Desmin antibody (GTX103557) diluted at 1:2000. The HRP-conjugated anti-rabbit IgG antibody (GTX213110-01) was used to detect the primary antibody.
Desmin antibody detects Desmin protein by western blot analysis.
A. 30 μg Rat2 whole cell lysate/extract
10 % SDS-PAGE
Desmin antibody (GTX103557) dilution: 1:1000
Desmin antibody detects DES protein by Western blot analysis.
A. 50 μg mouse muscle lysate/extract
10 % SDS-PAGE
Desmin antibody (GTX103557) dilution: 1:10000
风险提示:丁香通仅作为第三方平台,为商家信息发布提供平台空间。用户咨询产品时请注意保护个人信息及财产安全,合理判断,谨慎选购商品,商家和用户对交易行为负责。对于医疗器械类产品,请先查证核实企业经营资质和医疗器械产品注册证情况。
文献和实验Cargnoni A et al., J Cell Mol Med 2017 (PMID:29105277)
Lao S et al., Mol Med Rep 2017 (PMID:28586071)
Treskes P et al., J Thorac Cardiovasc Surg 2015 (PMID:25439779)
Klein S et al., PLoS One 2016 (PMID:27589391)
Hara Y et al., Anat Rec (Hoboken) 2016 (PMID:27178481)
Ai F et al., Biotechnol Lett 2015 (PMID:26721233)
Kiss E et al., Am J Pathol 2013 (PMID:23318573)
Yeojin Lee et al., Sci Adv 2022 (PMID:35294228)
Lee Y et al., J Exp Med 2021 (PMID:33151261)
Weber B et al., Sci Rep 2021 (PMID:33875675)
Lackner I et al., J Orthop Res 2020 (PMID:32827323)
Chen YH et al., Sci Rep 2019 (PMID:31289326)
Foertsch S et al., Brain Behav Immun 2019 (PMID:31085218)
Li YK et al., J Dig Dis 2019 (PMID:31102333)
Taylor L Barnes et al., Translational Animal Science 2018;2(suppl_1)
Fang CC et al., Sci Rep 2018 (PMID:30217986)
技术资料暂无技术资料 索取技术资料









![Histone H3 antibody [1B1-B2]](https://img1.dxycdn.com/2022/0328/246/1828064145866700453-14.jpg!wh200)
