相关产品推荐更多 >
万千商家帮你免费找货
0 人在求购买到急需产品
- 详细信息
- 文献和实验
- 技术资料
- 免疫原:
Recombinant protein encompassing a sequence within the C-terminus region of human Collagen III. The exact sequence is proprietary.
- 亚型:
IgG
- 形态:
Liquid
- 保存条件:
Store as concentrated solution. Centrifuge briefly prior to opening vial. For short-term storage (1-2 weeks), store at 4ºC. For long-term storage, aliquot and store at -20ºC or below. Avoid multiple freeze-thaw cycles.
- 克隆性:
Polyclonal
- 标记物:
Unconjugated
- 适应物种:
Human, Rat
- 保质期:
12 months from the shipping date of the product.
- 抗原来源:
Human
- 目录编号:
GTX102997
- 级别:
Primary Antibodies
- 库存:
Available
- 供应商:
GeneTex
- 宿主:
Rabbit
- 应用范围:
WB, ICC/IF, IHC-P
- 浓度:
2.42 mg/ml (Please refer to the vial label for the specific concentration.)
- 靶点:
Collagen III
- 抗体英文名:
Collagen III antibody [C2C3], C-term
- 抗体名:
Collagen III 抗体 [C2C3], C-term
- 规格:
100 μl/25 μl
| 规格: | 100 μl | 产品价格: | ¥4000.0 |
|---|---|---|---|
| 规格: | 25 μl | 产品价格: | ¥1700.0 |
Non-transfected (–) and transfected (+) HeLa whole cell extracts (30 μg) were separated by 5% SDS-PAGE, and the membrane was blotted with Collagen III antibody [C2C3], C-term (GTX102997) diluted at 1:2000. The HRP-conjugated anti-rabbit IgG antibody (GTX213110-01) was used to detect the primary antibody.
Various extracts (30 μg) were separated by 5% SDS-PAGE, and the membrane was blotted with Collagen III antibody [C2C3], C-term (GTX102997) diluted at 1:1000. The HRP-conjugated anti-rabbit IgG antibody (GTX213110-01) was used to detect the primary antibody.
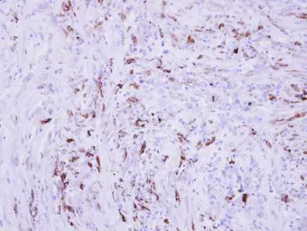
Immunohistochemical analysis of paraffin-embedded human PAPILLARY CA_STROMAL CELLS, using Collagen III (GTX102997) antibody at 1:250 dilution.
Antigen Retrieval: Trilogy™ (EDTA based, pH 8.0) buffer, 15min
风险提示:丁香通仅作为第三方平台,为商家信息发布提供平台空间。用户咨询产品时请注意保护个人信息及财产安全,合理判断,谨慎选购商品,商家和用户对交易行为负责。对于医疗器械类产品,请先查证核实企业经营资质和医疗器械产品注册证情况。
文献和实验Chen QN et al., Exp Cell Res 2020 (PMID:32035132)
Ozawa N et al., Int J Mol Sci 2019 (PMID:31060209)
Gu J et al., Evid Based Complement Alternat Med 2019 (PMID:31214266)
Zhang Y et al., Cell Death Dis 2019 (PMID:30741930)
Han SH et al., Int J Mol Sci 2017 (PMID:28598390)
Schendel SA et al., Aesthet Surg J 2017 (PMID:28510634)
Ramirez-Sanchez I et al., FEBS J 2014 (PMID:25284161)
Chen S et al., World J Urol 2016 (PMID:28013345)
Kai-Chieh Chou et al., Polymers (Basel) 2021 (PMID:34685296)
Chen LC et al., Cells 2021 (PMID:34685727)
Mickle M et al., Mol Carcinog 2021 (PMID:34004031)
Wang C et al., Biotechnol Lett 2020 (PMID:32358726)
大鼠III型胶原(Collagen III)ELISA试剂盒 说明书
上海西唐生物科技有限公司 021-55229872, 65333639 www.westang.com 大鼠 III 型胶原 (Collagen III)ELISA 试剂盒 ( 用于血清、血浆、细胞培养上清液和其它生物体液内 ) 原理 本实验采用双抗体夹心 ABC-ELISA 法。用抗大鼠 Collagen III 单抗包被于酶标板上,标准品和样品中的 Collagen III 与单抗结合,加入
小鼠III型胶原蛋白(Collagen III)ELISA试剂盒 说明书
上海西唐生物科技有限公司 021-55229872, 65333639 www.westang.com 小鼠III 型胶原蛋白 ( Collagen III )ELISA 试剂盒 ( 用于血清、血浆、细胞培养上清液和其它生物体液内 ) 原理 本实验采用双抗体夹心 ABC-ELISA 法。用抗小鼠 Collagen III 单抗包被于酶标板上,标准品和样品中的
they may be split 1:4 into fresh media. (Fungizone can be omitted from this point onwards). 2. Stage I - Preparation of collagen I from rat tails Note: Protocol for approximately 12-14 adolescent (fresh or frozen) rat tails 1) Prepare rat
技术资料暂无技术资料 索取技术资料






![BNP antibody [8D5B4C11]](https://img1.dxycdn.com/2022/0328/497/1550268157347500453-14.jpg!wh200)
![IL1 Receptor 2 antibody [7D7]](https://img1.dxycdn.com/2022/0328/659/2203016696889400453-14.jpg!wh200)
![LHX3 antibody [24L36]](https://custom.dxycdn.com/trademd/upload/pic/2013/11/12/A1383891150.jpg!small.t.1)


