相关产品推荐更多 >
万千商家帮你免费找货
0 人在求购买到急需产品
- 详细信息
- 文献和实验
- 技术资料
- 免疫原:
Recombinant protein encompassing a sequence within the center region of human SHP1. The exact sequence is proprietary.
- 亚型:
IgG
- 形态:
Liquid
- 保存条件:
Store as concentrated solution. Centrifuge briefly prior to opening vial. For short-term storage (1-2 weeks), store at 4ºC. For long-term storage, aliquot and store at -20ºC or below. Avoid multiple freeze-thaw cycles.
- 克隆性:
Polyclonal
- 标记物:
Unconjugated
- 适应物种:
Human, Mouse, Rat
- 保质期:
12 months from the shipping date of the product.
- 抗原来源:
Human
- 目录编号:
GTX102864
- 级别:
Primary Antibodies
- 库存:
Available
- 供应商:
GeneTex
- 宿主:
Rabbit
- 应用范围:
WB, IHC-P, IHC-Fr, IP
- 浓度:
1.34 mg/ml (Please refer to the vial label for the specific concentration.)
- 靶点:
SHP1
- 抗体英文名:
SHP1 antibody
- 抗体名:
SHP1 抗体
- 规格:
100 μl/25 μl
| 规格: | 100 μl | 产品价格: | ¥4000.0 |
|---|---|---|---|
| 规格: | 25 μl | 产品价格: | ¥1700.0 |
Whole cell extract (30 μg) was separated by 7.5% SDS-PAGE, and the membranes were blotted with SHP1 antibody (GTX102864) diluted at 1:1000 and competitor's antibody (# Highly Cited Antibody) diluted at 1:500. The HRP-conjugated anti-rabbit IgG antibody (GTX213110-01) was used to detect the primary antibody.
*The competitor is not affiliated with GeneTex and does not endorse this product.
Various whole cell extracts (10 μg) were separated by 7.5% SDS-PAGE, and the membrane was blotted with SHP1 antibody (GTX102865) diluted at 1:1000. The HRP-conjugated anti-rabbit IgG antibody (GTX213110-01) was used to detect the primary antibody.
SHP1 antibody detects SHP1 protein by immunohistochemical analysis.
Sample: Paraffin-embedded mouse tissues.
SHP1 stained by SHP1 antibody (GTX102864) diluted at 1:500.
Antigen Retrieval: Citrate buffer, pH 6.0, 15 min
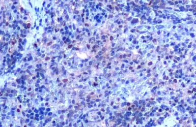
SHP1 antibody detects SHP1 protein by immunohistochemical analysis.
Sample: Paraffin-embedded rat tissues.
SHP1 stained by SHP1 antibody (GTX102864) diluted at 1:500.
Antigen Retrieval: Citrate buffer, pH 6.0, 15 min
Various whole cell extracts (30 μg) were separated by 7.5% SDS-PAGE, and the membrane was blotted with SHP1 antibody (GTX102864) diluted at 1:1000. The HRP-conjugated anti-rabbit IgG antibody (GTX213110-01) was used to detect the primary antibody.
SHP1 antibody immunoprecipitates SHP1 protein in IP experiments. IP Sample: HeLa whole cell lysate/extract A : 30 μg whole cell lysate/extract of SHP1 protein expressing HeLa cells B : Control with 3 μg of pre-immune rabbit IgG C : Immunoprecipitation of SHP1 by 3 μg of SHP1 antibody (GTX102864) 7.5% SDS-PAGE The immunoprecipitated SHP1 protein was detected by SHP1 antibody (GTX102864) diluted at 1 : 500. EasyBlot anti-rabbit IgG (HRP) (GTX221666-01) was used as a secondary reagent.
Sample (30 μg of whole cell lysate)
A:NIH-3T3
7.5% SDS PAGE
GTX102864 diluted at 1:1000
The HRP-conjugated anti-rabbit IgG antibody (GTX213110-01) was used to detect the primary antibody.
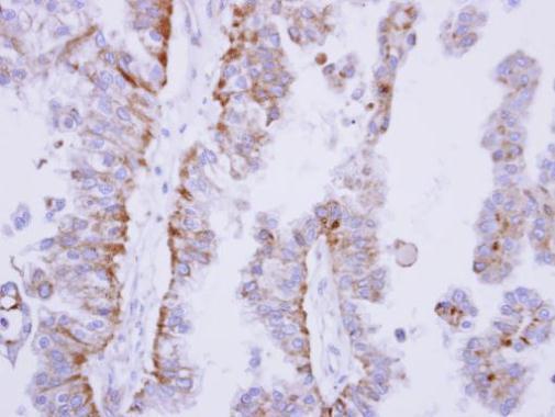
SHP1 antibody detects SHP1 protein at cytoplasm and nucleus by immunohistochemical analysis.
Sample: Paraffin-embedded human breast carcinoma.
SHP1 stained by SHP1 antibody (GTX102864) diluted at 1:500.
Antigen Retrieval: Citrate buffer, pH 6.0, 15 min
SHP1 antibody detects SHP1 protein at cytoplasm and nucleus by immunohistochemical analysis.
Sample: Paraffin-embedded mouse liver.
SHP1 stained by SHP1 antibody (GTX102864) diluted at 1:500.
Antigen Retrieval: Citrate buffer, pH 6.0, 15 min
SHP1 antibody detects SHP1 protein at cytoplasm and nucleus by immunohistochemical analysis.
Sample: Paraffin-embedded rat liver.
SHP1 stained by SHP1 antibody (GTX102864) diluted at 1:500.
Antigen Retrieval: Citrate buffer, pH 6.0, 15 min
风险提示:丁香通仅作为第三方平台,为商家信息发布提供平台空间。用户咨询产品时请注意保护个人信息及财产安全,合理判断,谨慎选购商品,商家和用户对交易行为负责。对于医疗器械类产品,请先查证核实企业经营资质和医疗器械产品注册证情况。
文献和实验Klaver EJ et al., PLoS One 2015 (PMID:25897665)
Liu BL et al., JCI Insight 2020 (PMID:32960817)
技术资料暂无技术资料 索取技术资料






![CD36 antibody [SMØ] (Azide free)](https://img1.dxycdn.com/2022/0329/592/5552733385156020453-14.jpg!wh200)


![HLA-G antibody [MEM-G/9] (APC)](https://img1.dxycdn.com/2022/0328/935/1360720299985500453-14.jpg!wh200)
