相关产品推荐更多 >
万千商家帮你免费找货
0 人在求购买到急需产品
- 详细信息
- 文献和实验
- 技术资料
- 免疫原:
Recombinant protein encompassing a sequence within the center region of human LDH-B. The exact sequence is proprietary.
- 亚型:
IgG
- 形态:
Liquid
- 保存条件:
Store as concentrated solution. Centrifuge briefly prior to opening vial. For short-term storage (1-2 weeks), store at 4ºC. For long-term storage, aliquot and store at -20ºC or below. Avoid multiple freeze-thaw cycles.
- 克隆性:
Polyclonal
- 标记物:
Unconjugated
- 适应物种:
Human, Mouse, Rat
- 保质期:
12 months from the shipping date of the product.
- 抗原来源:
Human
- 目录编号:
GTX101747
- 级别:
Primary Antibodies
- 库存:
Available
- 供应商:
GeneTex
- 宿主:
Rabbit
- 应用范围:
WB, ICC/IF, IHC-P
- 浓度:
0.32 mg/ml (Please refer to the vial label for the specific concentration.)
- 靶点:
LDH-B
- 抗体英文名:
LDH-B antibody
- 抗体名:
LDH-B 抗体
- 规格:
100 μl/25 μl
| 规格: | 100 μl | 产品价格: | ¥4000.0 |
|---|---|---|---|
| 规格: | 25 μl | 产品价格: | ¥1700.0 |
Wild-type (WT) and LDH-B knockout (KO) 293T cell extracts (30 μg) were separated by 10% SDS-PAGE, and the membrane was blotted with LDH-B antibody (GTX101747) diluted at 1:500. The HRP-conjugated anti-rabbit IgG antibody (GTX213110-01) was used to detect the primary antibody.
Various tissue extracts (50 μg) were separated by 10% SDS-PAGE, and the membrane was blotted with LDH-B antibody (GTX101747) diluted at 1:500. The HRP-conjugated anti-rabbit IgG antibody (GTX213110-01) was used to detect the primary antibody.
LDH-B antibody detects LDH-B protein at cytoplasm by immunohistochemical analysis.
Sample: Paraffin-embedded mouse liver.
LDH-B stained by LDH-B antibody (GTX101747) diluted at 1:500.
Antigen Retrieval: Citrate buffer, pH 6.0, 15 min
Various whole cell extracts (30 μg) were separated by 10% SDS-PAGE, and the membrane was blotted with LDH-B antibody (GTX101747) diluted at 1:5000. The HRP-conjugated anti-rabbit IgG antibody (GTX213110-01) was used to detect the primary antibody.
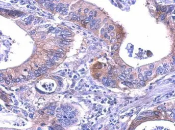
LDH-B antibody detects LDHB protein at cytosol on human gastric cancer by immunohistochemical analysis.
Sample: Paraffin-embedded gastric cancer.
LDH-B antibody (GTX101747) dilution: 1:200.
Antigen Retrieval: Trilogy™ (EDTA based, pH 8.0) buffer, 15min
Immunofluorescence analysis of methanol-fixed HeLa, using LDH-B(GTX101747) antibody at 1:50 dilution.
风险提示:丁香通仅作为第三方平台,为商家信息发布提供平台空间。用户咨询产品时请注意保护个人信息及财产安全,合理判断,谨慎选购商品,商家和用户对交易行为负责。对于医疗器械类产品,请先查证核实企业经营资质和医疗器械产品注册证情况。
文献和实验Goto T et al., Exp Hematol 2019 (PMID:30797950)
Wu YH et al., PLoS One 2013 (PMID:23990911)
Chen CN et al., Am J Physiol Regul Integr Comp Physiol 2017 (PMID:28855180)
Lin LL et al., BMC Genomics 2015 (PMID:25652794)
Evaluation of Antibody-Dependent Cell Cytotoxicity Using Lactate Dehydrogenase (LDH) Measurement
In order to improve therapeutic antibodies efficacy in cancer patients, several strategies were developed. One of these strategies consists in the enhancement of effector functions. Antibody-dependent cellular cytotoxicity (ADCC) was shown
化,其他已知细胞松弛素 B还可抑制糖的输送,可以考虑细胞松弛素 B与细胞膜间的相互作用。此外还分离出数种具有类似结构和功能的物质,分别命名为细胞松弛素 A、 C、 D、 E、 F。
细胞色素b563 cytochrome b563 亦称细胞色素 b6 。存在于高等植物至藻类的叶绿体中,与类囊体膜结合紧密。含有原正铁血红素,氧化还原 (β带)和 434nm(γ带或 So- ret带)。为发动光合磷酸化的环状电子传递系统的一个成分,可被光化系统Ⅰ所还原和氧化。
技术资料暂无技术资料 索取技术资料









![Myosin skeletal fast antibody [MY32] (ready-to-use)](https://img1.dxycdn.com/2022/0328/656/0650689334034500453-14.jpg!wh200)

