相关产品推荐更多 >
万千商家帮你免费找货
0 人在求购买到急需产品
- 详细信息
- 文献和实验
- 技术资料
- 免疫原:
Recombinant protein encompassing a sequence within the center region of human HSP27. The exact sequence is proprietary.
- 亚型:
IgG
- 形态:
Liquid
- 保存条件:
Store as concentrated solution. Centrifuge briefly prior to opening vial. For short-term storage (1-2 weeks), store at 4ºC. For long-term storage, aliquot and store at -20ºC or below. Avoid multiple freeze-thaw cycles.
- 克隆性:
Polyclonal
- 标记物:
Unconjugated
- 适应物种:
Human, Mouse, Rat
- 保质期:
12 months from the shipping date of the product.
- 抗原来源:
Human
- 目录编号:
GTX101145
- 级别:
Primary Antibodies
- 库存:
Available
- 供应商:
GeneTex
- 宿主:
Rabbit
- 应用范围:
WB, ICC/IF, IHC-P, FACS, IP
- 浓度:
0.45 mg/ml (Please refer to the vial label for the specific concentration.)
- 靶点:
HSP27
- 抗体英文名:
HSP27 antibody
- 抗体名:
HSP27 抗体
- 规格:
100 μl/25 μl
| 规格: | 100 μl | 产品价格: | ¥4000.0 |
|---|---|---|---|
| 规格: | 25 μl | 产品价格: | ¥1700.0 |
Non-transfected (–) and transfected (+) HT-29 whole cell extracts (30 μg) were separated by 12% SDS-PAGE, and the membrane was blotted with HSP27 antibody (GTX101145) diluted at 1:10000. The HRP-conjugated anti-rabbit IgG antibody (GTX213110-01) was used to detect the primary antibody.
Wild-type (WT) and HSP27 knockout (KO) HeLa cell extracts (30 μg) were separated by 12% SDS-PAGE, and the membrane was blotted with HSP27 antibody (GTX101145) diluted at 1:20000. The HRP-conjugated anti-rabbit IgG antibody (GTX213110-01) was used to detect the primary antibody.
Immunoprecipitation of HSP27 protein from HeLa whole cell extracts using 5 μg of HSP27 antibody (GTX101145).
Western blot analysis was performed using HSP27 antibody (GTX101145).
EasyBlot anti-Rabbit IgG (GTX221666-01) was used as a secondary reagent.
Sample (50 μg of whole cell lysate)
A: mouse liver
12% SDS PAGE
GTX101145 diluted at 1:1000
The HRP-conjugated anti-rabbit IgG antibody (GTX213110-01) was used to detect the primary antibody.
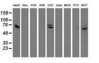
Various whole cell extracts (30 μg) were separated by 12% SDS-PAGE, and the membrane was blotted with HSP27 antibody (GTX101145) diluted at 1:10000. The HRP-conjugated anti-rabbit IgG antibody (GTX213110-01) was used to detect the primary antibody.
HSP27 antibody detects HSP27 protein at cytoplasm in human lung papillary carcinoma by immunohistochemical analysis.
Sample: Paraffin-embedded human lung papillary carcinoma.
HSP27 antibody (GTX101145) diluted at 1:500.
Antigen Retrieval: Trilogy™ (EDTA based, pH 8.0) buffer, 15min
HSP27 antibody detects HSP27 protein at cytoplasm and cytoskeleton by immunofluorescent analysis.
Sample: HeLa cells were fixed in 4% PFA at RT for 15 min.
Green: HSP27 protein stained by HSP27 antibody (GTX101145) diluted at 1:1000.
Red: phalloidin, a cytoskeleton marker, stained by phalloidin (invitrogen, A12380) diluted at 1:200.
Blue: Hoechst 33342 staining.
风险提示:丁香通仅作为第三方平台,为商家信息发布提供平台空间。用户咨询产品时请注意保护个人信息及财产安全,合理判断,谨慎选购商品,商家和用户对交易行为负责。对于医疗器械类产品,请先查证核实企业经营资质和医疗器械产品注册证情况。
文献和实验Chou HC et al., Arch Biochem Biophys 2014 (PMID:24384558)
Cui X et al., Dis Model Mech 2022 (PMID:35099007)
Xu YM et al., Toxicol Res (Camb) 2019 (PMID:32922740)
Cheung CHY et al., J Biomed Sci 2020 (PMID:32576196)
Xu YM et al., Oncotarget 2016 (PMID:26716417)
Huang HJ et al., Mol Biosyst 2014 (PMID:25259860)
Lin ST et al., J Proteomics 2012 (PMID:22889595)
StructureFunctions of HspB1 (Hsp27)
Human HspB1 (also denoted Hsp27) is a well-known member, together with alphaB-crystallin, of the small heat-shock (or stress) proteins (sHsps) (20–40 kDa). In this chapter, I describe procedures for testing the oligomeric and phosphorylation
Quantification of HSP27 and HSP70 Molecular Chaperone Activities
Stress-inducible heat-shock proteins (HSPs, like HSP70 and HSP27) are molecular chaperones that �protect cells from stress damage by keeping cellular proteins in a folding competent state and preventing them from irreversible aggregation. HSP27
Characterization of HSP27 Phosphorylation Sites in Human Atherosclerotic Plaque Secretome
for the characterization of the human atherosclerotic plaque secretome, combining two-dimensional gel electrophoresis and mass spectrometry (MS). Among the identified proteins, two isoforms of heat shock protein 27 (HSP27), a protein recently described as a potential
技术资料暂无技术资料 索取技术资料










