相关产品推荐更多 >
万千商家帮你免费找货
0 人在求购买到急需产品
- 详细信息
- 询价记录
- 文献和实验
- 技术资料
- 免疫原:
Recombinant protein encompassing a sequence within the center region of human WNT4. The exact sequence is proprietary.
- 亚型:
IgG
- 形态:
Liquid
- 保存条件:
Store as concentrated solution. Centrifuge briefly prior to opening vial. For short-term storage (1-2 weeks), store at 4ºC. For long-term storage, aliquot and store at -20ºC or below. Avoid multiple freeze-thaw cycles.
- 克隆性:
Polyclonal
- 标记物:
Unconjugated
- 适应物种:
Human, Mouse, Rat
- 保质期:
12 months from the shipping date of the product.
- 抗原来源:
Human
- 目录编号:
GTX101085
- 级别:
Primary Antibodies
- 库存:
Available
- 供应商:
GeneTex
- 宿主:
Rabbit
- 应用范围:
WB, IHC-P
- 浓度:
0.78 mg/ml (Please refer to the vial label for the specific concentration.)
- 靶点:
Wnt4
- 抗体英文名:
Wnt4 antibody
- 抗体名:
Wnt4 抗体
- 规格:
100 μl/25 μl
| 规格: | 100 μl | 产品价格: | ¥4000.0 |
|---|---|---|---|
| 规格: | 25 μl | 产品价格: | ¥1700.0 |
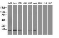
Various whole cell extracts (30 μg) were separated by 10% SDS-PAGE, and the membrane was blotted with Wnt4 antibody (GTX101085) diluted at 1:1000. The HRP-conjugated anti-rabbit IgG antibody (GTX213110-01) was used to detect the primary antibody. Corresponding RNA expression data for the same cell lines are based on Human Protein Atlas program.
WNT4 antibody detects WNT4 protein by western blot analysis. Various whole cell extracts (30 μg) were separated by 10% SDS-PAGE, and the membrane was blotted with WNT4 antibody (GTX101085) diluted at a dilution of 1:1000. The HRP-conjugated anti-rabbit IgG antibody (GTX213110-01) was used to detect the primary antibody.
WNT4 antibody detects WNT4 protein by western blot analysis. Non-transfected (-) and Wnt4-transfected (+, including V5-tag) 293T whole cell extracts (100 μg) were separated by 10% SDS-PAGE, and the membrane was blotted with WNT4 antibody (GTX101085) at a dilution of 1:2500.
The V5 was used as internal control (GTX117997, 1:2500) shown at the bottom panel.
The HRP-conjugated anti-rabbit IgG antibody (GTX213110-01) was used to detect the primary antibody.
WNT4 antibody detects WNT4 protein at secreted on mouse kidney by immunohistochemical analysis.
Sample: Paraffin-embedded mouse kidney.
WNT4 antibody (GTX101085) dilution: 1:500.
Antigen Retrieval: Trilogy™ (EDTA based, pH 8.0) buffer, 15min
Immunohistochemical analysis of paraffin-embedded U87 xenograft, using WNT4(GTX101085) antibody at 1:500 dilution.
Antigen Retrieval: Trilogy™ (EDTA based, pH 8.0) buffer, 15min
风险提示:丁香通仅作为第三方平台,为商家信息发布提供平台空间。用户咨询产品时请注意保护个人信息及财产安全,合理判断,谨慎选购商品,商家和用户对交易行为负责。对于医疗器械类产品,请先查证核实企业经营资质和医疗器械产品注册证情况。
- 作者
- 内容
- 询问日期
文献和实验Bai L et al., Evid Based Complement Alternat Med 2017 (PMID:28656052)
Bai Lu et al., Hindawi 2017 (Epub)
Xu Y et al., Biochem Biophys Res Commun 2014 (PMID:24875356)
技术资料暂无技术资料 索取技术资料





![HLA-DR + HLA-DP antibody [HL-38]](https://img1.dxycdn.com/2022/0328/725/5408794330258300453-14.jpg!wh200)
![IKK alpha antibody [3G12]](https://img1.dxycdn.com/2022/0328/428/0956977236127500453-14.jpg!wh200)

![Adenylate kinase 1 antibody [19D1]](https://img1.dxycdn.com/2022/0328/324/8694999424098500453-14.jpg!wh200)

