相关产品推荐更多 >
万千商家帮你免费找货
0 人在求购买到急需产品
- 详细信息
- 文献和实验
- 技术资料
- 免疫原:
Full length human recombinant protein of human AK1 (NP_000467) produced in HEK293T cell.
- 亚型:
IgG2b
- 形态:
Liquid
- 保存条件:
Store as concentrated solution. Centrifuge briefly prior to opening vial. For short-term storage (1-2 weeks), store at 4ºC. For long-term storage, aliquot and store at -20ºC or below. Avoid multiple freeze-thaw cycles.
- 克隆性:
Monoclonal
- 标记物:
Unconjugated
- 适应物种:
Human, Monkey
- 保质期:
12 months from the shipping date of the product.
- 抗原来源:
Human
- 目录编号:
GTX84939
- 级别:
Primary Antibodies
- 库存:
Available
- 供应商:
GeneTex
- 宿主:
Mouse
- 应用范围:
WB, ICC/IF, FACS
- 浓度:
1.2 mg/ml (Please refer to the vial label for the specific concentration.)
- 靶点:
Adenylate kinase 1
- 抗体英文名:
Adenylate kinase 1 antibody [19D1]
- 抗体名:
Adenylate kinase 1 抗体 [19D1]
- 规格:
100 μl
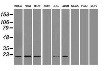
WB analysis of various cell lines using GTX84939 Adenylate kinase 1 antibody [19D1].
Loading : 35 ug per lane
ICC/IF analysis of HT29 cells using GTX84939 Adenylate kinase 1 antibody [19D1].
WB analysis of HEK293T cells transfected with Adenylate kinase 1 plasmid (Right) or empty vector (Left) for 48 hrs using GTX84939 Adenylate kinase 1 antibody [19D1].
Loading : 5 ug per lane
FACS analysis of HEK293T cells transfected with either Adenylate kinase 1 plasmid(Red) or empty vector control plasmid(Blue) using GTX84939 Adenylate kinase 1 antibody [19D1].
风险提示:丁香通仅作为第三方平台,为商家信息发布提供平台空间。用户咨询产品时请注意保护个人信息及财产安全,合理判断,谨慎选购商品,商家和用户对交易行为负责。对于医疗器械类产品,请先查证核实企业经营资质和医疗器械产品注册证情况。
文献和实验secondary antibody review -- data from 99 publications
Signaling 18 IgG Alexa Fluor 488 immunocytochemistry 1:2000 18 IgG Alexa Fluor 568 immunocytochemistry 1:2000 19 donkey IgG HRP western blot 1:3000 detect antibody binding in mouse epithelial cells Amersham Biosciences 19 goat
Using Phospho‐Motif Antibodies to Determine Kinase Substrates
comprising both the phosphorylated residue and the surrounding residues that determine kinase specificity, with degenerate residues taking up the remaining positions. Currently, several categories of phospho?motif antibody are commercially available
祝贺〖雅裕睿安〗成为Signalway Antibody(SAB)独家
祝贺〖上海雅裕 〗成为 Signalway Antibody 品牌 (SAB) 的独家总代理。 促销【 ABCD 】细则如下: 【 A 】 买两支 SAB 抗体免费获得 8G 优盘 活动时间:即日起,至 2011 年
技术资料暂无技术资料 索取技术资料







![Visfatin antibody [N1N3]](https://img1.dxycdn.com/2022/0328/935/5172466417602300453-14.jpg!wh200)
![MPS1 antibody [7E3]](https://img1.dxycdn.com/2022/0328/679/0429856083077500453-14.jpg!wh200)


