相关产品推荐更多 >
万千商家帮你免费找货
0 人在求购买到急需产品
- 详细信息
- 文献和实验
- 技术资料
- 免疫原:
Carrier-protein conjugated synthetic peptide encompassing a sequence within the center region of human CXCR5. The exact sequence is proprietary.
- 亚型:
IgG
- 形态:
Liquid
- 保存条件:
Store as concentrated solution. Centrifuge briefly prior to opening vial. For short-term storage (1-2 weeks), store at 4ºC. For long-term storage, aliquot and store at -20ºC or below. Avoid multiple freeze-thaw cycles.
- 克隆性:
Polyclonal
- 标记物:
Unconjugated
- 适应物种:
Human, Mouse
- 保质期:
12 months from the shipping date of the product.
- 抗原来源:
Human
- 目录编号:
GTX100351
- 级别:
Primary Antibodies
- 库存:
Available
- 供应商:
GeneTex
- 宿主:
Rabbit
- 应用范围:
WB, ICC/IF, IHC-P
- 浓度:
1 mg/ml (Please refer to the vial label for the specific concentration.)
- 靶点:
CXCR5
- 抗体英文名:
CXCR5 antibody [C1C2], Internal
- 抗体名:
CXCR5 抗体 [C1C2], Internal
- 规格:
100 μl/25 μl
| 规格: | 100 μl | 产品价格: | ¥4000.0 |
|---|---|---|---|
| 规格: | 25 μl | 产品价格: | ¥1700.0 |
Sample (30 ug of whole cell lysate)
A: Hep G2 (GTX27900)
10% SDS PAGE
GTX100351 diluted at 1:1000
CXCR5 antibody [C1C2], Internal detects CXCR5 protein at cell membrane by immunofluorescent analysis.
Sample: HepG2 cells were fixed in 4% PFA at RT for 15 min.
Green: CXCR5 stained by CXCR5 antibody [C1C2], Internal (GTX100351) diluted at 1:500.
Blue: Fluoroshield with DAPI (GTX30920).
CXCR5 antibody [C1C2], Internal detects CXCR5 protein at membrane on PC13 xenograft by immunohistochemical analysis.
Sample: Paraffin-embedded PC13 xenograft.
CXCR5 antibody [C1C2], Internal (GTX100351) dilution: 1:500.
Antigen Retrieval: Trilogy™ (EDTA based, pH 8.0) buffer, 15min
CXCR5 antibody [C1C2], Internal detects CXCR5 protein at cytoplasm by immunohistochemical analysis.
Sample: Paraffin-embedded human kidney.
CXCR5 stained by CXCR5 antibody [C1C2], Internal (GTX100351) diluted at 1:500.
Antigen Retrieval: Citrate buffer, pH 6.0, 15 min
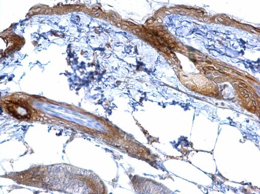
CXCR5 antibody [C1C2], Internal detects CXCR5 protein at cell membrane by immunohistochemical analysis.
Sample: Paraffin-embedded mouse skin.
CXCR5 stained by CXCR5 antibody [C1C2], Internal (GTX100351) diluted at 1:500.
Antigen Retrieval: Citrate buffer, pH 6.0, 15 min
风险提示:丁香通仅作为第三方平台,为商家信息发布提供平台空间。用户咨询产品时请注意保护个人信息及财产安全,合理判断,谨慎选购商品,商家和用户对交易行为负责。对于医疗器械类产品,请先查证核实企业经营资质和医疗器械产品注册证情况。
文献和实验Calvet-Mirabent M et al., Eur J Immunol 2021 (PMID:34935145)
Chao CC et al., J Cell Mol Med 2021 (PMID:34427969)
Lin JR et al., Elife 2018 (PMID:29993362)
Yang H et al., Mol Med Rep. 2017 (PMID:29039547)
Renaudin X et al., J Cell Sci 2014 (PMID:25015289)
Kogami A et al., J Histochem Cytochem 2021 (PMID:34617807)
Preparation and Assay of Acetylcholinesterase Antibody
structures mimicking external antigen results from the fact that the conformation of some of the anti-idiotypic antibodies may be complementary to the three-dimensional structure of the binding site of the first antibody, and therefore, represents
Protocol for anti-HA antibody Western Blotting
film for ~2 mins. Notes on the primary antibody: Source : Covance/Babco Description: Crude ascites fluid monoclonal anti-HA antibody (CATLN#135032002, 11mms-101R, 0.5 ml) Handling: Aliquoted into 10ul portions in -20℃ Internal notes: labelled anti
Analysis of Antibody-Antigen Interactions Using Surface Plasmon Resonance
Accurate analyses of antibody specificities and affinities are critical to understanding their role in antibody-mediated neutralization of HIV-1 in vitro and their potential activity against HIV-1 in vivo. Multiple immunologic tools
技术资料暂无技术资料 索取技术资料






![Topoisomerase II alpha antibody [MSVA-802R] HistoMAX](https://custom.dxycdn.com/trademd/upload/pic/2013/11/12/A1383891150.jpg!small.t.1)




