相关产品推荐更多 >
万千商家帮你免费找货
0 人在求购买到急需产品
- 详细信息
- 文献和实验
- 技术资料
- 免疫原:
The immunogen used to generate this antibody corresponds to 5-Methylcytosine / 5-mC
- 亚型:
IgG1
- 形态:
Liquid
- 保存条件:
Store as concentrated solution. Centrifuge briefly prior to opening vial. For short-term storage (1-2 weeks), store at 4ºC. For long-term storage, aliquot and store at -20ºC or below. Avoid multiple freeze-thaw cycles.
- 克隆性:
Monoclonal
- 标记物:
Unconjugated
- 适应物种:
Species independent
- 保质期:
12 months from the shipping date of the product.
- 目录编号:
GTX629448
- 级别:
Primary Antibodies
- 库存:
Available
- 供应商:
GeneTex
- 宿主:
Mouse
- 应用范围:
IHC-P, IHC-Fr, IHC-Wm, Dot, EM, MeDIP
- 浓度:
1.7 mg/ml (Please refer to the vial label for the specific concentration.)
- 靶点:
5-Methylcytosine / 5-mC
- 抗体英文名:
5-Methylcytosine / 5-mC antibody [GT4111]
- 抗体名:
5-Methylcytosine / 5-mC 抗体 [GT4111]
- 规格:
100 μl/25 μl
| 规格: | 100 μl | 产品价格: | ¥4000.0 |
|---|---|---|---|
| 规格: | 25 μl | 产品价格: | ¥1700.0 |
GTX629448 5-Methylcytosine/ 5-mC antibody [GT4111] in MeDIP experiment.
Human genomic DNA (500 ng) mixed with methylated cytosine standard kit (GTX400004) were subjected to MeDIP with 5-Methylcytosine/ 5-mC antibody [GT4111] (GTX629448) at dilution of 1:500 and analyzed with semi-quantitative PCR. The immunoprecipitated DNA was plotted as % of input DNA.
5-Methylcytosine / 5-mC antibody [GT4111] detects 5-Methylcytosine / 5-mC protein on zebrafish by whole mount immunohistochemical analysis.
Sample: 24 hours-post-fertilization zebrafish embryo.
5-Methylcytosine / 5-mC antibody [GT4111] (GTX629448) dilution: 1:50.
5-Methylcytosine / 5-mC antibody [GT4111] detects 5-Methylcytosine / 5-mC protein at nucleolus in rat brain by immunohistochemical analysis.
Sample: Paraffin-embedded rat brain.
5-Methylcytosine / 5-mC antibody [GT4111] (GTX629448) diluted at 1:200.
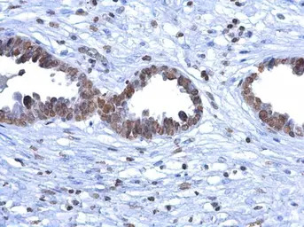
5-Methylcytosine / 5-mC antibody [GT4111] detects 5-Methylcytosine / 5-mC protein at nucleus on mouse urinary bladder by immunohistochemical analysis.
Sample: Paraffin-embedded mouse urinary bladder.
5-Methylcytosine / 5-mC antibody [GT4111] (GTX629448) dilution: 1:200.
Antigen Retrieval: Trilogy™ (EDTA based, pH 8.0) buffer, 15min
5-Methylcytosine / 5-mC antibody [GT4111] detects 5-Methylcytosine / 5-mC protein on zebrafish by whole mount immunohistochemical analysis.
Sample: 24 hours-post-fertilization zebrafish embryo.
5-Methylcytosine / 5-mC antibody [GT4111] (GTX629448) dilution: 1:50.
5-Methylcytosine / 5-mC antibody [GT4111] detects 5-Methylcytosine / 5-mC protein at nucleus on mouse testis by immunohistochemical analysis.
Sample: Paraffin-embedded mouse testis.
5-Methylcytosine / 5-mC antibody [GT4111] (GTX629448) dilution: 1:200.
Antigen Retrieval: Trilogy™ (EDTA based, pH 8.0) buffer, 15min
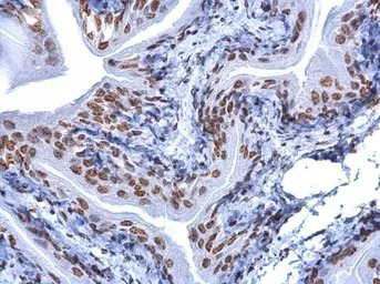
5-Methylcytosine / 5-mC antibody [GT4111] detects 5-Methylcytosine / 5-mC protein at nucleus on human ovarian carcinoma by immunohistochemical analysis.
Sample: Paraffin-embedded human ovarian carcinoma.
5-Methylcytosine / 5-mC antibody [GT4111] (GTX629448) dilution: 1:200.
Antigen Retrieval: Trilogy™ (EDTA based, pH 8.0) buffer, 15min
GTX629448 5-methylcytosine antibody [GT4111] Dot blot analysis of anti-5-mC antibody with the synthetic DNA controls (GTX400004). DNA samples (0.5 to 50 ng) were spotted onto positively charged nylon membrane and blotted with 5-mC antibody (GTX629448) at a dilution of 1:500. A: Unmethylated DNA fragment B: DNA fragment containing 5-methylcytosine C: DNA fragment containing 5-hydroxymethylcytosine D: DNA fragment containing 5-formylcytosine E: DNA fragment containing 5-carboxylcytosine
风险提示:丁香通仅作为第三方平台,为商家信息发布提供平台空间。用户咨询产品时请注意保护个人信息及财产安全,合理判断,谨慎选购商品,商家和用户对交易行为负责。对于医疗器械类产品,请先查证核实企业经营资质和医疗器械产品注册证情况。
文献和实验Wu J et al., J Exp Clin Cancer Res 2019 (PMID:31399111)
Kong X et al., Brain Behav Immun 2019 (PMID:30763768)
Cesar S.Huertas et al., Biosensors and Bioelectronics 2018 120()
Masiello I et al., Cell Mol Life Sci 2017 (PMID:28391361)
Hsieh MC et al., Sci Rep 2016 (PMID:27857218)
Shih CC et al., PLoS One 2016 (PMID:27661616)
Hsiao KY et al., Mol Hum Reprod 2015 (PMID:26433194)
Lacavalla MA et al., Eur J Histochem 2021 (PMID:33764019)
Chastain-Potts SE et al., Mol Neurobiol 2019 (PMID:31512116)
Southern Blotting(Fred Hutchinson Cancer Research Cente
with Blot Wash #1: 2 x 5' at room temp (RT). 3. Wash with Blot Wash #2: 2 x 15' at 55℃. 4. Wash with Buffer 1: briefly (1') at RT. 5. (Optional; see above) Block with Buffer 2: 30' (O/N okay) Save and store at 4℃. 6. Incubate with antibody-conjugate
Phage‐Based Expression Cloning to Identify Interacting Proteins
the interacting protein. This technique leads directly to the isolation of a cDNA encoding the interacting protein, bypassing the need for labor?intensive protein purification, microsequencing, or antibody production.
( min X….Mouse, Rat Sr Prot )。 以下是圆括号中所使用的一些简称: Bov = Bovine Ck = Chicken Gt = Goat GP = Guinea Pig Sy Hms = Syrian Hamster Hrs = Horse Hu = Human Ms = Mouse Rb = Rabbit Shp
技术资料暂无技术资料 索取技术资料







