相关产品推荐更多 >
万千商家帮你免费找货
0 人在求购买到急需产品
- 详细信息
- 文献和实验
- 技术资料
- 免疫原:
Purified recombinant fragment of human CLGN (AA: 249-405) expressed in E. Coli.
- 亚型:
IgG1
- 形态:
Liquid
- 保存条件:
Store as concentrated solution. Centrifuge briefly prior to opening vial. For short-term storage (1-2 weeks), store at 4ºC. For long-term storage, aliquot and store at -20ºC or below. Avoid multiple freeze-thaw cycles.
- 克隆性:
Monoclonal
- 标记物:
Unconjugated
- 适应物种:
Human
- 保质期:
12 months from the shipping date of the product.
- 抗原来源:
Human
- 目录编号:
GTX60793
- 级别:
Primary Antibodies
- 库存:
Available
- 供应商:
GeneTex
- 宿主:
Mouse
- 应用范围:
WB, ICC/IF, IHC-P, ELISA
- 浓度:
1 mg/ml (Please refer to the vial label for the specific concentration.)
- 靶点:
CLGN
- 抗体英文名:
CLGN antibody [1C8B6]
- 抗体名:
CLGN 抗体 [1C8B6]
- 规格:
100 μg
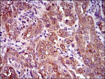
IHC-P analysis of endometrial cancer tissue using GTX60793 CLGN antibody [1C8B6].
ICC/IF analysis of HeLa cells using GTX60793 CLGN antibody [1C8B6].
Green : CLGN
Blue: DRAQ5 fluorescent DNA dye
WB analysis of LnCAP cell lysate using GTX60793 CLGN antibody [1C8B6].
WB analysis of HEK293 (1) and CLGN (AA: 249-405)-hIgGFc transfected HEK293 (2) cell lysate using GTX60793 CLGN antibody [1C8B6].
ELISA analysis of antigen using GTX60793 CLGN antibody [1C8B6].
Black : Control antigen 100ng
Purple : Antigen 10ng
Blue : Antigen 50ng
Red : Antigen 100ng
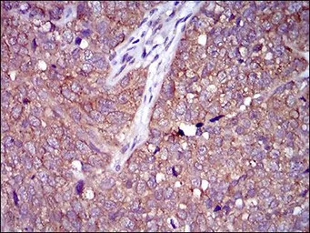
IHC-P analysis of bladder cancer tissue using GTX60793 CLGN antibody [1C8B6].
风险提示:丁香通仅作为第三方平台,为商家信息发布提供平台空间。用户咨询产品时请注意保护个人信息及财产安全,合理判断,谨慎选购商品,商家和用户对交易行为负责。对于医疗器械类产品,请先查证核实企业经营资质和医疗器械产品注册证情况。
文献和实验because: 1 Many of the heterologous anti-CYP2B antibody preparations are not useful owing to their slgmficant cross-reactivity with other human P450 enzymes; 2 A CYP2B6-specific chemical inhibitor has yet to be found; and 3 A dlagnostlc catalytic activity for human hepatlc mlcrosomal
Immunofluorescence: Rabbit Anti-Murine RELMα
实验步骤 The following protocol used B6 mice that were infected with 200 embryonated Trichuris muris eggs and sacrificed 15 days post-infection. The tip of the cecum was removed, rinsed in 1X PBS pH 7.2, and fixed in 4% PFA
Dual- and Triple-Color Fluorospot
in several publications and reagents/kits for various cytokine combinations and species are commercially available. The most common protocol for fluorospot includes the use of biotinylated detection antibodies for one cytokine and an FITC-labeled detection antibody
技术资料暂无技术资料 索取技术资料







![EXPAND1 / MUM1 antibody [4G10]](https://img1.dxycdn.com/2023/0711/451/6106825198874858761-14.jpg!wh200)

