相关产品推荐更多 >
万千商家帮你免费找货
0 人在求购买到急需产品
- 详细信息
- 文献和实验
- 技术资料
- 免疫原:
Purified recombinant fragment of human CDKN2A (AA: 1-156) expressed in E. Coli.
- 亚型:
IgG1
- 形态:
Liquid
- 保存条件:
Store as concentrated solution. Centrifuge briefly prior to opening vial. For short-term storage (1-2 weeks), store at 4ºC. For long-term storage, aliquot and store at -20ºC or below. Avoid multiple freeze-thaw cycles.
- 克隆性:
Monoclonal
- 标记物:
Unconjugated
- 适应物种:
Human
- 保质期:
12 months from the shipping date of the product.
- 抗原来源:
Human
- 目录编号:
GTX60663
- 级别:
Primary Antibodies
- 库存:
Available
- 供应商:
GeneTex
- 宿主:
Mouse
- 应用范围:
WB, IHC-P, FACS, ELISA
- 靶点:
CDKN2A / p16INK4a
- 抗体英文名:
CDKN2A / p16INK4a antibody [1D7D2]
- 抗体名:
CDKN2A / p16INK4a 抗体 [1D7D2]
- 规格:
100 μl
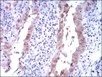
IHC-P analysis of lung cancer tissue using GTX60663 CDKN2A / p16INK4a antibody [1D7D2].
WB analysis of HEK293 (1) and CDKN2A (AA: 1-156)-hIgGFc transfected HEK293 (2) cell lysate using GTX60663 CDKN2A / p16INK4a antibody [1D7D2].
ELISA analysis of antigen using GTX60663 CDKN2A / p16INK4a antibody [1D7D2].
Black : Control antigen 100ng
Purple : Antigen 10ng
Blue : Antigen 50ng
Red : Antigen 100ng
FACS analysis of HEK293 cells using GTX60663 CDKN2A / p16INK4a antibody [1D7D2].
Green : CDKN2A / p16INK4a
Red : negative control
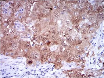
IHC-P analysis of endometrial cancer tissue using GTX60663 CDKN2A / p16INK4a antibody [1D7D2].
风险提示:丁香通仅作为第三方平台,为商家信息发布提供平台空间。用户咨询产品时请注意保护个人信息及财产安全,合理判断,谨慎选购商品,商家和用户对交易行为负责。对于医疗器械类产品,请先查证核实企业经营资质和医疗器械产品注册证情况。
文献和实验总蛋白(包括质膜和细胞器膜蛋白),但费时费力。目前,有一种最新型有效的膜蛋白提取工具,并具有高纯度、高特异性、高载量温和提取的优点。是基于1980年科学家在牛眼视网膜中发现的一种命名为Rho1D4的氨基酸序列以及其对应的抗体来作为亲和标签纯化膜蛋白取得了非常好的效果,将Rho1D4抗体链接在琼脂糖或磁珠上,用于亲和层析带有Rho1D4标签的膜蛋白,能近乎完美的解决这些研究难题。1) 什么是Rho1D4?Rho1D4是指在牛眼视网膜细胞内的牛视紫红质C端的最后九位氨基酸。Rho1D4得名于与该序列
(1 ). In our laboratory, we have developed methods to immortalize specific antibody-producing cells by fusing secreting EBV-activated lymphocytes to mouse-human heteromyeloma cell lines with electrofusion, followed by cloning (2 ). This methodology has allowed
抗子宫内膜抗体(endomethal antibody,EMAb)检测
子宫内膜抗体(endomethal antibody,EMAb)是子宫内膜异位病患者受到异位内膜的刺激,或经血逆流等因素导致免疫应答紊乱产生的一种自身抗体,并与子宫内膜中靶抗原结合,在补体参与下,引起子宫内膜免疫病理损伤,影响孕卵着床,也容易发生早期流产。目前检测EMAb的方法有间接免疫荧光法(1FT)、双向免疫扩散法(1D)、间接血凝法(PHA)及ELISA法等。IFF法需刮取子宫内膜制备抗原片,并需一定设备
技术资料暂无技术资料 索取技术资料





![PGP9.5 antibody [13C4]](https://custom.dxycdn.com/trademd/upload/pic/2011/12/14/1323695840.jpg!small.t.1)




