相关产品推荐更多 >
万千商家帮你免费找货
0 人在求购买到急需产品
- 详细信息
- 文献和实验
- 技术资料
- 免疫原:
Purified recombinant fragment of human PHB expressed in E. Coli.
- 亚型:
IgG1
- 形态:
Liquid
- 保存条件:
Store as concentrated solution. Centrifuge briefly prior to opening vial. For short-term storage (1-2 weeks), store at 4ºC. For long-term storage, aliquot and store at -20ºC or below. Avoid multiple freeze-thaw cycles.
- 克隆性:
Monoclonal
- 标记物:
Unconjugated
- 适应物种:
Human, Mouse, Rat, Monkey
- 保质期:
12 months from the shipping date of the product.
- 抗原来源:
Human
- 目录编号:
GTX60495
- 级别:
Primary Antibodies
- 库存:
Available
- 供应商:
GeneTex
- 宿主:
Mouse
- 应用范围:
WB, ICC/IF, IHC-P, FACS, ELISA
- 靶点:
Prohibitin
- 抗体英文名:
Prohibitin antibody [5H7]
- 抗体名:
Prohibitin 抗体 [5H7]
- 规格:
100 μl
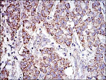
IHC-P analysis of stomach cancer tissue using GTX60495 Prohibitin antibody [5H7].
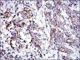
IHC-P analysis of rectum cancer tissue using GTX60495 Prohibitin antibody [5H7].
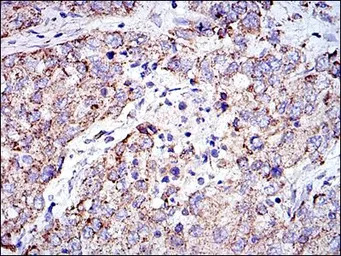
IHC-P analysis of lung cancer tissue using GTX60495 Prohibitin antibody [5H7].
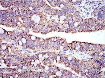
IHC-P analysis of liver cancer tissue using GTX60495 Prohibitin antibody [5H7].
ICC/IF analysis of NIH3T3 cells using GTX60495 Prohibitin antibody [5H7].
Green : Prohibitin
Blue: DRAQ5 fluorescent DNA dye
Red: Actin filaments
WB analysis of human Prohibitin (AA: 68-259) recombinant protein using GTX60495 Prohibitin antibody [5H7].
WB analysis of A431 (1), MCF-7 (2), Jurkat (3), HeLa (4), HepG2 (5), A549 (6), NIH3T3 (7), Cos7 (8) and PC-12 (9) cell lysate using GTX60495 Prohibitin antibody [5H7].
ELISA analysis of antigen using GTX60495 Prohibitin antibody [5H7].
Red : Control antigen 100ng
Purple : Antigen 10ng
Green : Antigen 50ng
Blue : Antigen 100ng
FACS analysis of MCF-7 cells using GTX60495 Prohibitin antibody [5H7].
Blue : Prohibitin
Red : negative control
风险提示:丁香通仅作为第三方平台,为商家信息发布提供平台空间。用户咨询产品时请注意保护个人信息及财产安全,合理判断,谨慎选购商品,商家和用户对交易行为负责。对于医疗器械类产品,请先查证核实企业经营资质和医疗器械产品注册证情况。
文献和实验Buehler U et al., EMBO J 2018 (PMID:30049713)
技术资料暂无技术资料 索取技术资料





![ZAP70 antibody [L453R]](https://img1.dxycdn.com/2023/0711/451/6106825198874858761-14.jpg!wh200)
![LILRA4 antibody [N2C2], Internal](https://img1.dxycdn.com/2023/0516/050/2572066211091928561-14.jpg!wh200)


