相关产品推荐更多 >
万千商家帮你免费找货
0 人在求购买到急需产品
- 详细信息
- 技术资料
- 免疫原:
Purified recombinant fragment of human MCM2 expressed in E. Coli.
- 亚型:
IgG1
- 形态:
Liquid
- 保存条件:
Store as concentrated solution. Centrifuge briefly prior to opening vial. For short-term storage (1-2 weeks), store at 4ºC. For long-term storage, aliquot and store at -20ºC or below. Avoid multiple freeze-thaw cycles.
- 克隆性:
Monoclonal
- 标记物:
Unconjugated
- 适应物种:
Human, Mouse, Rat, Monkey
- 保质期:
12 months from the shipping date of the product.
- 抗原来源:
Human
- 目录编号:
GTX60491
- 级别:
Primary Antibodies
- 库存:
Available
- 供应商:
GeneTex
- 宿主:
Mouse
- 应用范围:
WB, IHC-P, FACS, ELISA
- 靶点:
MCM2
- 抗体英文名:
MCM2 antibody [2B3]
- 抗体名:
MCM2 抗体 [2B3]
- 规格:
100 μl
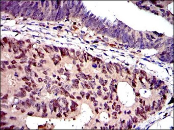
IHC-P analysis of colon cancer tissue using GTX60491 MCM2 antibody [2B3].
ELISA analysis of antigen using GTX60491 MCM2 antibody [2B3].
Red : Control antigen 100ng
Purple : Antigen 10ng
Green : Antigen 50ng
Blue : Antigen 100ng
FACS analysis of HeLa cells using GTX60491 MCM2 antibody [2B3].
Blue : MCM2
Red : negative control
IHC-P analysis of lung cancer tissue using GTX60491 MCM2 antibody [2B3].
WB analysis of human MCM2 (AA: 16-232) recombinant protein using GTX60491 MCM2 antibody [2B3].
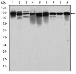
WB analysis of PC-12 (1), Cos7 (2), NIH3T3 (3), HepG2 (4), HEK293 (5), K562 (6), Jurkat (7), HeLa (8) and MCF-7 (9) cell lysate using GTX60491 MCM2 antibody [2B3].
风险提示:丁香通仅作为第三方平台,为商家信息发布提供平台空间。用户咨询产品时请注意保护个人信息及财产安全,合理判断,谨慎选购商品,商家和用户对交易行为负责。对于医疗器械类产品,请先查证核实企业经营资质和医疗器械产品注册证情况。
技术资料暂无技术资料 索取技术资料





![Neuroserpin antibody [N1C1]](https://custom.dxycdn.com/trademd/upload/pic/2011/12/20/1324015994.jpg!small.t.1)



