相关产品推荐更多 >
万千商家帮你免费找货
0 人在求购买到急需产品
- 详细信息
- 文献和实验
- 技术资料
- 免疫原:
KLH-conjugated synthetic peptide encompassing a sequence within the C-term region of human Insulin Receptor (pY1322). The exact sequence is proprietary.
- 亚型:
IgG
- 形态:
Liquid
- 保存条件:
Store as concentrated solution. Centrifuge briefly prior to opening vial. For short-term storage (1-2 weeks), store at 4℃. For long-term storage, aliquot and store at -20℃ or below. Avoid multiple freeze-thaw cycles.
- 克隆性:
Polyclonal
- 标记物:
Unconjugated
- 适应物种:
Human
- 保质期:
12 months from the shipping date of the product.
- 抗原来源:
Human
- 目录编号:
GTX55015
- 级别:
Primary Antibodies
- 库存:
Available
- 供应商:
GeneTex
- 宿主:
Rabbit
- 应用范围:
WB, ICC/IF, IHC-P
- 浓度:
Batch dependent (Please refer to the vial label for the specific concentration.)
- 靶点:
Insulin Receptor (phospho Tyr1322)
- 抗体英文名:
Insulin Receptor (phospho Tyr1322) antibody
- 抗体名:
Insulin Receptor (phospho Tyr1322) 抗体
- 规格:
100 μl
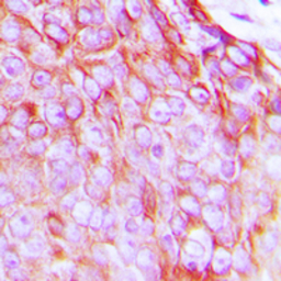
IHC-P analysis of formalin fixed human breast cancer tissue section using GTX55015 Insulin Receptor (phospho Tyr1322) antibody.
Antigen retrieval : Heat mediated antigen retrieval with sodium citrate buffer (pH 6.0)
WB analysis of THP1 (A), HEK293T (B) whole cell lysates using GTX55015 Insulin Receptor (phospho Tyr1322) antibody.
ICC/IF analysis of formalin-fixed HEK293T cells using GTX55015 Insulin Receptor (phospho Tyr1322) antibody.
Red : Primary antibody
Blue : DAPI
Permeabilization : 0.1% Triton X-100 in TBS for 5-10 minutes
风险提示:丁香通仅作为第三方平台,为商家信息发布提供平台空间。用户咨询产品时请注意保护个人信息及财产安全,合理判断,谨慎选购商品,商家和用户对交易行为负责。对于医疗器械类产品,请先查证核实企业经营资质和医疗器械产品注册证情况。
文献和实验Assaying Tyrosine Phosphorylation of Insulin Receptor and Insulin Receptor Substrates
This chapter describes techniques to successfully detect tyrosine phosphorylation of the insulin receptor and insulin receptor substrate proteins. These assays demonstrate whether the insulin signaling pathway is activated at its earliest
胰岛素受体是一个四聚体,由两个α亚基和两个β亚基通过二硫键连接。两个α亚基位于细胞质膜的外侧,其上有胰岛素的结合位点;两个β亚基是跨膜蛋白,起信号转导作用。无胰岛素结合时,受体的酪氨酸蛋白激酶没有活性。当胰岛素与受体的α亚基结合并改变了β亚基的构型后,酪氨酸蛋白激酶才被激活,激活后可催化两个反应∶①使四聚体复合物中β亚基特异位点的酪氨酸残基磷酸化,这种过程称为自我磷酸化(autophosphorylation);②将胰岛素受体底物(insulin receptor substrate
胰岛素受体底物(insulin receptor substrate,IRSs)
蛋白质,其上有多个(至少8个)可被受体激酶磷酸化的位点,磷酸化后可同多种效应物结合,包括:PI(3)K、Syp(一种磷酸酪氨酸磷酸酶)、Nck(一种连接蛋白)、GRB2(growth factor receptor-bound protein 2,一种通过SH2同磷酸化的酪氨酸结合的连接蛋白)。第二种是Shc(是通过cDNA克隆筛选到的编码SH结构域的基因的蛋白产物),也是一种连接蛋白。Shc的酪氨酸被磷酸化后能够同GRB2结合,然后激活Ras,触发细胞的增殖。第三种底物是IRS2。IRS2的酪氨酸被磷酸
技术资料暂无技术资料 索取技术资料





![MLH1 antibody [4C9C7]](https://img1.dxycdn.com/2023/0711/451/6106825198874858761-14.jpg!wh200)
![RARRES1 antibody [N2C3]](https://img1.dxycdn.com/2023/0711/255/2344116916935858761-14.jpg!wh200)


