相关产品推荐更多 >
万千商家帮你免费找货
0 人在求购买到急需产品
- 详细信息
- 文献和实验
- 技术资料
- 免疫原:
Recombinant fusion protein containing a sequence corresponding to amino acids 1-280 of human SF1 (NP_973727.1).
- 亚型:
IgG
- 形态:
Liquid
- 保存条件:
Store as concentrated solution. Centrifuge briefly prior to opening vial. For short-term storage (1-2 weeks), store at 4ºC. For long-term storage, aliquot and store at -20ºC or below. Avoid multiple freeze-thaw cycles.
- 克隆性:
Polyclonal
- 标记物:
Unconjugated
- 适应物种:
Human, Mouse
- 保质期:
12 months from the shipping date of the product.
- 抗原来源:
Human
- 目录编号:
GTX54670
- 级别:
Primary Antibodies
- 库存:
Available
- 供应商:
GeneTex
- 宿主:
Rabbit
- 应用范围:
WB, IHC-P
- 浓度:
Batch dependent (Please refer to the vial label for the specific concentration.)
- 靶点:
Splicing Factor 1
- 抗体英文名:
Splicing Factor 1 antibody
- 抗体名:
Splicing Factor 1 抗体
- 规格:
100 μl
WB analysis of HepG2 cell lysate using GTX54670 Splicing Factor 1 antibody.
Dilution : 1:1000
Loading : 25μg per lane
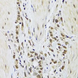
IHC-P analysis of human gastric cancer tissue using GTX54670 Splicing Factor 1 antibody.
Dilution : 1:100
IHC-P analysis of mouse lung tissue using GTX54670 Splicing Factor 1 antibody.
Dilution : 1:100
风险提示:丁香通仅作为第三方平台,为商家信息发布提供平台空间。用户咨询产品时请注意保护个人信息及财产安全,合理判断,谨慎选购商品,商家和用户对交易行为负责。对于医疗器械类产品,请先查证核实企业经营资质和医疗器械产品注册证情况。
文献和实验Anticardiolipin Antibody and Anti-beta 2 Glycoprotein I Antibody Assays
Antiphospholipid syndrome (APS) is an autoimmune disease and is a risk factor for a number of clinical manifestations; the classic presentations include fetal death or thrombosis (arterial or venous thromboembolism), in the presence
this method will dilute the antibody by a factor of 2. Using a PD-10 column: a)Wash PD-10 column with 30mL of PBS. b) Add the 1mL FITC-Ig or Biotin Ig solution after the top of column is almost dry. Close stopcock to stop flow after the Antibody
this method will dilute the antibody by a factor of 2. Using a PD-10 column: a)Wash PD-10 column with 30mL of PBS. b) Add the 1mL FITC-Ig or Biotin Ig solution after the top of column is almost dry. Close stopcock to stop flow
技术资料暂无技术资料 索取技术资料





![CD161 antibody [10-78] (PE)](https://img1.dxycdn.com/2023/0711/451/6106825198874858761-14.jpg!wh200)
![ZNF707 antibody [N2C3]](https://img1.dxycdn.com/2023/0516/045/6925717576889828561-14.jpg!wh200)
![FAAP100 antibody [C2C3], C-term](https://img1.dxycdn.com/2023/0516/407/0466332107306928561-14.jpg!wh200)



