相关产品推荐更多 >
万千商家帮你免费找货
0 人在求购买到急需产品
- 详细信息
- 文献和实验
- 技术资料
- 免疫原:
Peptide sequence around phosphorylation site of threonine 183 (M-M-T(p)-P-Y) derived from human JNK.
- 亚型:
IgG
- 形态:
Liquid
- 保存条件:
Store as concentrated solution. Centrifuge briefly prior to opening vial. For short-term storage (1-2 weeks), store at 4ºC. For long-term storage, aliquot and store at -20ºC or below. Avoid multiple freeze-thaw cycles.
- 克隆性:
Polyclonal
- 标记物:
Unconjugated
- 适应物种:
Human
- 保质期:
12 months from the shipping date of the product.
- 抗原来源:
Human
- 目录编号:
GTX50278
- 级别:
Primary Antibodies
- 库存:
Available
- 供应商:
GeneTex
- 宿主:
Rabbit
- 应用范围:
WB, IHC-P
- 浓度:
1 mg/ml (Please refer to the vial label for the specific concentration.)
- 靶点:
This antibody is raised against JNK1/2 phosphorylated at Thr183. Based on sequence homology, it is predicted to react with JNK3 when phosphorylated at the corresponding residues - Thr221.
- 抗体英文名:
JNK (phospho Thr183) antibody
- 抗体名:
JNK (phospho Thr183) 抗体
- 规格:
100 μl
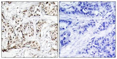
IHC-P analysis of human breast carcinoma tissue using GTX50278 JNK (phospho Thr183) antibody.
Left : Primary antibody
Right : Primary antibody pre-incubated with the antigen specific peptide
WB analysis of extracts from 293 cells treated with UV or calf intestinal phosphatase (CIP) using GTX50278 JNK (phospho Thr183) antibody.
WB analysis of extracts from 293 cells using GTX50278 JNK (phospho Thr183) antibody.
Lane 1 : Primary antibody pre-incubated with the antigen specific peptide
风险提示:丁香通仅作为第三方平台,为商家信息发布提供平台空间。用户咨询产品时请注意保护个人信息及财产安全,合理判断,谨慎选购商品,商家和用户对交易行为负责。对于医疗器械类产品,请先查证核实企业经营资质和医疗器械产品注册证情况。
文献和实验greater selectivity for JNK as compared to ERK1 and p38-2 MAP kinases. Inhibits the phosphorylation of c-Jun and blocks cellular expression of IL-2, IFN-γ, TNF-α, and COX-2. Blocks IL-1-induced accumulation of phospho-Jun and induction of c-Jun
运用Cell Based Elisa检测信号通路蛋白和磷酸化蛋白
using Phospho-p38 antibody (A) and Total-p38 antibody (B). Cell Based Elisa were performed directly in the 96-well plates using Phospho-p38 and Total-p38 antibodies (C). Figure 3: JNK detection with FACECells were serum-starved for 16 hours
Using Phospho‐Motif Antibodies to Determine Kinase Substrates
comprising both the phosphorylated residue and the surrounding residues that determine kinase specificity, with degenerate residues taking up the remaining positions. Currently, several categories of phospho?motif antibody are commercially available
技术资料暂无技术资料 索取技术资料






![Estrogen Receptor alpha antibody [GT9004]](https://img1.dxycdn.com/2023/0711/451/6106825198874858761-14.jpg!wh200)

