相关产品推荐更多 >
万千商家帮你免费找货
0 人在求购买到急需产品
- 详细信息
- 文献和实验
- 技术资料
- 免疫原:
Recombinant protein encompassing a sequence within the center region of human Aconitase 1. The exact sequence is proprietary.
- 亚型:
IgG
- 形态:
Liquid
- 保存条件:
Store as concentrated solution. Centrifuge briefly prior to opening vial. For short-term storage (1-2 weeks), store at 4ºC. For long-term storage, aliquot and store at -20ºC or below. Avoid multiple freeze-thaw cycles.
- 克隆性:
Polyclonal
- 标记物:
Unconjugated
- 适应物种:
Human
- 保质期:
12 months from the shipping date of the product.
- 抗原来源:
Human
- 目录编号:
GTX128976
- 级别:
Primary Antibodies
- 库存:
Available
- 供应商:
GeneTex
- 宿主:
Rabbit
- 应用范围:
WB, IHC-P
- 浓度:
1 mg/ml (Please refer to the vial label for the specific concentration.)
- 靶点:
Aconitase 1
- 抗体英文名:
Aconitase 1 antibody
- 抗体名:
Aconitase 1 抗体
- 规格:
100 μl/25 μl
| 规格: | 100 μl | 产品价格: | ¥4000.0 |
|---|---|---|---|
| 规格: | 25 μl | 产品价格: | ¥1700.0 |
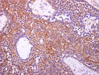
Aconitase 1 antibody detects Aconitase 1 protein at cytoplasm on human lung carcinoma by immunohistochemical analysis.
Sample: Paraffin-embedded human lung carcinoma.
Aconitase 1 antibody (GTX128976) diluted at 1:500.
Antigen Retrieval: Trilogy™ (EDTA based, pH 8.0) buffer, 15min
Aconitase 1 antibody detects Aconitase 1 protein by Western blot analysis.
A. 30 μg A431 whole cell lysate/extract
B. 30 μg HeLa whole cell lysate/extract
C. 30 μg HepG2 whole cell lysate/extract
7.5 % SDS-PAGE
Aconitase 1 antibody (GTX128976) dilution: 1:1000
风险提示:丁香通仅作为第三方平台,为商家信息发布提供平台空间。用户咨询产品时请注意保护个人信息及财产安全,合理判断,谨慎选购商品,商家和用户对交易行为负责。对于医疗器械类产品,请先查证核实企业经营资质和医疗器械产品注册证情况。
文献和实验Chang Jiang et al., Redox Biol 2022 (PMID:35667246)
Bailey ML et al., Life Sci Alliance 2021 (PMID:34462321)
Analysis of Oxidative Modification of Proteins
1 ) 5% (w/v) nonfat dry milk in Tris‐buffed saline with and without Tween‐20 (TBST; see recipe ) Primary antibody (anti‐DNP antibody; Sigma
Abstract Table of Contents Materials Figures
技术资料暂无技术资料 索取技术资料






![TSKS antibody [N3C3]](https://img1.dxycdn.com/2023/0516/050/2572066211091928561-14.jpg!wh200)
![CD62P antibody [Psel.KO.2.7]](https://img1.dxycdn.com/2023/0711/451/6106825198874858761-14.jpg!wh200)


