相关产品推荐更多 >
万千商家帮你免费找货
0 人在求购买到急需产品
- 详细信息
- 文献和实验
- 技术资料
- 免疫原:
Recombinant protein encompassing a sequence within the center region of Porcine circovirus type 2 / PCV2 Capsid. The exact sequence is proprietary.
- 亚型:
IgG
- 形态:
Liquid
- 保存条件:
Store as concentrated solution. Centrifuge briefly prior to opening vial. For short-term storage (1-2 weeks), store at 4ºC. For long-term storage, aliquot and store at -20ºC or below. Avoid multiple freeze-thaw cycles.
- 克隆性:
Polyclonal
- 标记物:
Unconjugated
- 适应物种:
Porcine circovirus type 2
- 保质期:
12 months from the shipping date of the product.
- 抗原来源:
Porcine circovirus type 2
- 目录编号:
GTX128120
- 级别:
Primary Antibodies
- 库存:
Available
- 供应商:
GeneTex
- 宿主:
Rabbit
- 应用范围:
WB, IHC-P, IHC
- 浓度:
0.05 mg/ml (Please refer to the vial label for the specific concentration.)
- 靶点:
Porcine circovirus type 2 / PCV2 Capsid
- 抗体英文名:
Porcine circovirus type 2 / PCV2 Capsid antibody
- 抗体名:
Porcine circovirus type 2 / PCV2 Capsid 抗体
- 规格:
100 μl/25 μl
| 规格: | 100 μl | 产品价格: | ¥4000.0 |
|---|---|---|---|
| 规格: | 25 μl | 产品价格: | ¥1700.0 |
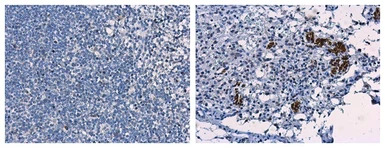
Porcine circovirus type 2 Capsid antibody detects PCV2 on lymph node by immunohistochemical analysis. Sample: Paraffin-embedded PCV2 free (left) and infected (right) swine lymph node. Porcine circovirus type 2 Capsid antibody (GTX128120) dilution: 1:500.
Antigen Retrieval: Citrate buffer, pH 6.0, 15 min
Porcine circovirus type 2 Capsid antibody detects PCV2 at macrophages on lymph node by immunohistochemical analysis.
Sample: Paraffin-embedded PCV2 infected swine lymph node.
Porcine circovirus type 2 Capsid antibody (GTX128120) dilution: 1:1000.
Antigen Retrieval: Trilogy™ (EDTA based, pH 8.0) buffer, 15min
Lysate (30 μg) from Sf21 cells, expressing recombinant PCV2 protein by baculovirus system, was separated by 12% SDS-PAGE, and the membrane was blotted with Porcine circovirus type 2 Capsid antibody (GTX128120) diluted at 1:1000. The HRP-conjugated anti-rabbit IgG antibody (GTX213110-01) was used to detect the primary antibody. (The lysate was provided courtesy of Dr. Wu lab at Chung Yuan Christian University, Department of Bioscience Technology.)
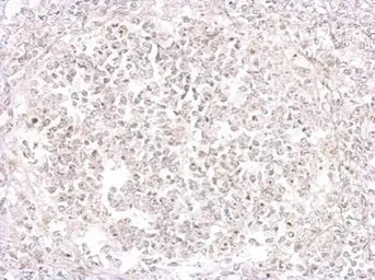
Porcine circovirus type 2 Capsid antibody didn't detects PCV2 at macrophages on lymph node by immunohistochemical analysis.
Sample: Paraffin-embedded PCV2 free swine lymph node.
Porcine circovirus type 2 Capsid antibody (GTX128120) dilution: 1:1000.
Antigen Retrieval: Trilogy™ (EDTA based, pH 8.0) buffer, 15min
风险提示:丁香通仅作为第三方平台,为商家信息发布提供平台空间。用户咨询产品时请注意保护个人信息及财产安全,合理判断,谨慎选购商品,商家和用户对交易行为负责。对于医疗器械类产品,请先查证核实企业经营资质和医疗器械产品注册证情况。
文献和实验Chutimun Limsaranrom et al., Comp Clin Pathol 2016;25(1)
Pearodwong P et al., Trop Anim Health Prod 2015 (PMID:25782565)
Tummaruk P et al., J Vet Med Sci 2016 (PMID:26522687)
Tummaruk P et al., Comp Clin Path 2016 (Epub)
Restriction endonuclease digestion A six-cutter (e.g. Eco RI) will cut on average every 4.1 Kb . Complete digestion of human DNA with this type of enzyme will result in approximately 1 x 106 unique fragments. What is the probability
【资源】全面归类网址:毕赤酵母表达各种来源蛋白(细菌,真菌,植物,人类等)
allergen Bos d2S, mg amounts, native[160]Mammalian α2,6-sialyltransferaseI and S, active401Mouse ABC transportersI, active513Mouse activin type II receptorS, 5 mg/L, active395Mouse single chain antibody Fv fragments (sFv)S, 250 mg/L, α-MF, PHO1[169, 365
DETECTION OF ß-GALACTOSIDASE AND ALKALINE PHOSPHATASE ACTIVITIES IN TISSUE
-treatment conditions.Histochem . J. 18 :271. Rodriguez, J., and F. Deinhardt. 1960. Preparation of a semipermanent mounting medium for fluorescent antibody studies. Virology 12 :316. Rosenberg, W.S., X.O. Breakefield, C. DeAntonio, and O
技术资料暂无技术资料 索取技术资料






![CD4 antibody [OX-35] (Azide free)](https://img1.dxycdn.com/2023/0711/451/6106825198874858761-14.jpg!wh200)

![GPCR150 antibody [N2C1], Internal](https://img1.dxycdn.com/2023/0516/895/8887749495766728561-14.jpg!wh200)

