相关产品推荐更多 >
万千商家帮你免费找货
0 人在求购买到急需产品
- 详细信息
- 文献和实验
- 技术资料
- 免疫原:
Recombinant protein encompassing a sequence within the N-terminus region of Influenza A virus H3N2 HA (Hemagglutinin) (A/TW/3446/02(H3N2). The exact sequence is proprietary.
- 亚型:
IgG
- 形态:
Liquid
- 保存条件:
Store as concentrated solution. Centrifuge briefly prior to opening vial. For short-term storage (1-2 weeks), store at 4ºC. For long-term storage, aliquot and store at -20ºC or below. Avoid multiple freeze-thaw cycles.
- 克隆性:
Polyclonal
- 标记物:
Unconjugated
- 适应物种:
Influenza A virus
- 保质期:
12 months from the shipping date of the product.
- 抗原来源:
Influenza A virus
- 目录编号:
GTX127363
- 级别:
Primary Antibodies
- 库存:
Available
- 供应商:
GeneTex
- 宿主:
Rabbit
- 应用范围:
WB, IHC-P
- 浓度:
0.64 mg/ml (Please refer to the vial label for the specific concentration.)
- 靶点:
Influenza A virus H3N2 HA (Hemagglutinin)
- 抗体英文名:
Influenza A virus H3N2 HA (Hemagglutinin) antibody
- 抗体名:
Influenza A virus H3N2 HA (Hemagglutinin) 抗体
- 规格:
100 μl/25 μl
| 规格: | 100 μl | 产品价格: | ¥4000.0 |
|---|---|---|---|
| 规格: | 25 μl | 产品价格: | ¥1700.0 |
Influenza A and Influenza B viral lysate (0.1 μg) were separated by 7.5% SDS-PAGE, and the membrane was blotted with Influenza A virus H3N2 HA (Hemagglutinin) antibody (GTX127363) diluted at 1:1000. The HRP-conjugated anti-rabbit IgG antibody (GTX213110-01) was used to detect the primary antibody.
Non-transfected (–) and transfected (+) 293T whole cell extracts (30 μg) were separated by 7.5% SDS-PAGE, and the membrane was blotted with Influenza A virus H3N2 HA (Hemagglutinin) antibody (GTX127363) diluted at 1:1000. The HRP-conjugated anti-rabbit IgG antibody (GTX213110-01) was used to detect the primary antibody.
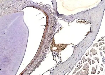
Influenza A Virus H3N2 Hemagglutinin (HA) antibody detects Influenza A Virus H3N2 Hemagglutinin (HA) protein on mouse nasal tissue(infect with Influenza Virus A ) by immunohistochemical analysis.
Sample: Paraffin-embedded mouse nasal tissue(infect with Influenza Virus A ).
Influenza A Virus H3N2 Hemagglutinin (HA) antibody (GTX127363) dilution: 1:50.
Antigen Retrieval: Trilogy™ (EDTA based, pH 8.0) buffer, 15min
Influenza A Virus H3N2 Hemagglutinin (HA) antibody detects HA (H3N2) protein by western blot analysis.
A. MDCK cell lysates infected with 4 HAU/ml of A/duck/Alberta/35/1976-like, H1N1
B. MDCK cell lysates infected with 4 HAU/ml of A/duck/Ukraine/1963-like, H3N8
C. MDCK cell lysates infected with 4 HAU/ml of A/mallard/Miyagi/53/1976-like, H5N3
D. MDCK cell lysates infected with 4 HAU/ml of A/duck/Taiwan/33/1993-like, H7N7
E. MDCK cell lysates infected with 4 HAU/ml of A/turkey/Wisconsin/1/1966-like, H9N2
F. MDCK cell lysates infected with 4 HAU/ml of A/PR/8/34, H1N1
G. MDCK cell lysates infected with 4 HAU/ml of A/Taiwan/126/2009, pdmH1N1
H. MDCK cell lysates infected with 4 HAU/ml of A/Taiwan/3446/2002, H3N2
12% SDS-PAGE
Influenza A Virus H3N2 Hemagglutinin (HA) antibody (GTX127363) dilution: 1:1000
The HRP-conjugated anti-rabbit IgG antibody (GTX213110-01) was used to detect the primary antibody.
Recombinant H3N2 HA protein were separated by 10% SDS-PAGE, and the membrane was blotted with Influenza A virus H3N2 HA (Hemagglutinin) antibody (GTX127363) diluted at 1:1000. The HRP-conjugated anti-rabbit IgG antibody (GTX213110-01) was used to detect the primary antibody.
风险提示:丁香通仅作为第三方平台,为商家信息发布提供平台空间。用户咨询产品时请注意保护个人信息及财产安全,合理判断,谨慎选购商品,商家和用户对交易行为负责。对于医疗器械类产品,请先查证核实企业经营资质和医疗器械产品注册证情况。
文献和实验Dorothea Bestle et al., J Virol 2021 (PMID:34319155)
Sch?n J et al., PLoS Pathog 2021 (PMID:33891662)
Harbig A et al., J Biol Chem 2020 (PMID:32303635)
Limburg H et al., J Virol 2019 (PMID:31391268)
Diot C et al., Sci Rep 2016 (PMID:27653209)
Xia C et al., J Virol 2015 (PMID:26676772)
and production of vaccine. Since influenza is caused by a zoonotic virus it is necessary to do surveillance in the reservoir species (aquatic waterfowls), intermediate hosts (quails, pigs), and in affected mammals including humans. Two of the hemagglutinin (HA
A Brief Introduction to the Avian Influenza Virus
in [1 ]). Type A influenza strains are classified by the serological subtypes of the primary viral surface proteins, the hemagglutinin (HA) and neuraminidase (NA). The HA has 16 subtypes (H1–H16) and contains neutralizing epitopes. Antibodies against the NA
PCR for the Detection of Influenza Viruses in Clinical Material
). Influenza A viruses are further divided into subtypes H1N1, H2N2 and H3N2, based on differences in the hemagglutinin (HA) and neuraminidase (NA) genes. The ability of influenza viruses to undergo antigenic change in HA and NA enables the virus to evade
技术资料暂无技术资料 索取技术资料





![EXOC2 antibody [C2C3], C-term](https://img1.dxycdn.com/2023/0711/255/2344116916935858761-14.jpg!wh200)
![RISC antibody [N3C3]](https://img1.dxycdn.com/2023/0516/895/8887749495766728561-14.jpg!wh200)
![NFIX antibody [N2C2], Internal](https://img1.dxycdn.com/2023/0516/407/0466332107306928561-14.jpg!wh200)


