相关产品推荐更多 >

Rabbit anti-Human Alkaline phosphatase, tissue-nonspecific isozyme protein polyclonal Antibody
询价
兔抗大鼠IgG二抗|二抗|Rabbit anti-Rat IgG Antibody
¥1100
兔抗人IgG Fc二抗;HRP偶联|二抗|Rabbit anti-Human IgG Fc Antibody;HRP conjugated
¥1100
兔抗犬IgG二抗;Biotin偶联|二抗|Rabbit anti-Canine IgG Antibody;Biotin conjugated
¥1100
兔抗小鼠IgG Fab二抗;HRP偶联|二抗|Rabbit anti-Mouse IgG Fab Antibody;HRP conjugated
¥1100
万千商家帮你免费找货
0 人在求购买到急需产品
- 详细信息
- 文献和实验
- 技术资料
- 抗体名:
兔抗人白介素-6多克隆抗体
- 抗体英文名:
Rabbit anti-human Interleukin-6 polyclonal Antibody
- 靶点:
IL-6
- 应用范围:
ELISA,WB,IHC;Recommended dilution:WB:1:200-1000,IHC:1:20-1:200
- 宿主:
Rabbit
- 适应物种:
human
- 标记物:
Non-conjugated
- 克隆性:
多克隆
- 形态:
Liquid
- 免疫原:
Recombinant human Interleukin-6 protein
- 规格:
100ug
- 图片:

Western blot
All lanes: Interleukin-6 antibody at 2ug/ml
Lane 1:human PBMC cells
Lane 2:Recombinant Interleukin-6 protein
secondary
Goat polyclonal to rabbit at 1/10000 dilution
predicted band size :23kDa
observed band size :23kDa
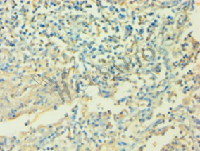
Immunohistochemistry of paraffin-embedded human cervical cancer using CSB-PA06757A0Rb at dilution 1:100
华美现提供启动1000种CusAb精品抗体免费送活动,涵盖单克隆抗体、多克隆抗体、标签抗体、内参抗体等,均经过ELISA、WB、IHC等应用验证,提供Biotin、FITC、HRP等标记。
活动时间:3月1日——5月31日
活动说明:1000种CusAb精品抗体,抗体免费,仅需支付50元运费及包装材料费,您就能获得100ug所需抗体。
点击http://www.cusabio.cn/antibody-free/开始申请吧!
关于CusAb:
科赛博(CusAb)隶属于华美生物旗下,主营蛋白、抗体、小分子产品。
科赛博现已有4万多种抗体,包括人类常用抗体,模式生物类相关抗体、小分子抗体、二抗、标签抗体及内参抗体等。并以每年4000种的速度在持续增长。
科赛博拥有专业的质控团队,配备先进实验仪器,现已成功地建立了ChIP平台,因此我们的抗体不仅能提供Biotin、FITC、HRP等标记,大部分抗体都能进行ELISA、WB、IHC、IP、ChIP等应用验证。
我们致力于为所有用户提供高亲和力、高特异性的优质抗体。
关注华美微信 了解更多惊喜
风险提示:丁香通仅作为第三方平台,为商家信息发布提供平台空间。用户咨询产品时请注意保护个人信息及财产安全,合理判断,谨慎选购商品,商家和用户对交易行为负责。对于医疗器械类产品,请先查证核实企业经营资质和医疗器械产品注册证情况。
文献和实验猴白细胞介素 - 6( IL- 6) 酶联免疫 分析( ELISA ) 试剂 盒使用说明书 本试剂仅供研究使用 目的:本试剂盒用于测定猴血清,血浆及相关液体样本中 白细胞介素-6(IL-6) 含量。 实验原理 : 本试剂盒应用 双抗体 夹心法测定 标本 中 猴白细胞介素 - 6( IL- 6) 水平。用纯化的 猴白细胞介素 - 6( IL- 6)抗体 包被微孔板,制成固相 抗 体,往包被 单抗 的微孔中依次
上海西唐生物科技有限公司 021-55229872, 65333639 www.westang.com 大鼠白介素 -6(IL-6)ELISA 试剂盒 ( 用于血清、血浆、细胞培养上清液和其它生物体液内 ) 原理 本实验采用双抗体夹心 ABC-ELISA 法。用抗大鼠 IL-6 单抗包被于酶标板上,标准品和样品中的 IL-6 与单抗结合,加入生物素化的抗大鼠 IL-6 ,形成免疫复合物连接在板上,辣根
上海西唐生物科技有限公司 021-55229872, 65333639 www.westang.com 狗白介素 -6(IL-6)ELISA 试剂盒 ( 用于血清、血浆、细胞培养上清液和其它生物体液内 ) 原理 本实验采用双抗体夹心 ABC-ELISA 法。用抗狗 IL-6 单抗包被于酶标板上,标准品和样品中的 IL-6 与单抗结合,加入生物素化的抗狗 IL-6 ,形成免疫复合物连接在板上,辣根
技术资料暂无技术资料 索取技术资料




