相关产品推荐更多 >
万千商家帮你免费找货
0 人在求购买到急需产品
- 详细信息
- 文献和实验
- 技术资料
- 保存条件:
-20℃保存
- 保质期:
有效期1年
- 英文名:
HA-Tag,Rabbit pAb
- 库存:
大量
- 供应商:
翌圣生物科技(上海)股份有限公司
- 规格:
20μl
人流感病毒血凝素(Human influenza hemagglutinin, HA) 是决定人病毒传染性的一类表面糖蛋白。HA 标签(HA-Tag) 来源于 HA 分子对应的 98-106 位氨基酸(YPYDVPDYA ), 广泛用作表达载体的通用表位标签。许多融合蛋白经基因工 程重组后表达 HA-tag,且融合蛋白本身的生物活性和体内分布并不会受影响。其他常用的标签还包括 myc、Flag、His、 GST 等,标签的使用简化了蛋白的检测,分离和纯化。 本抗体特异性识别 HA-Tag,不仅利于检测带 HA Tag 的 融合蛋白的表达量,另外还利于对 HA 融合蛋白的分离纯化。
产品应用
建议稀释浓度:WB:1:1000-1:10000;IP:1:300;ELISA:1:5000-1:20000;
产品信息
| 产品类型(Product Type) | Rabbit pAb |
| 纯化方式(Purification method) | Affinity Chromatography |
| 免疫原(Immunogen) | HA synthetic peptide(YPYDVPDYA)conjugated to KLH. |
| 应用(Application) | WB、IP、ELISA |
| 储存缓冲液(Storage Buffer) | Liquid in PBS containing 50% glycerol, 0.5% BSA and 0.02% sodium azide, pH 7.3. |
储存条件
-25 ~ -15℃分装保存,尽量避免反复冻融。
注意事项
1.使用前先离心,以免造成不必要的损失。
2.为了您的安全和健康,请穿实验服并戴一次性手套操作。
3.本产品仅作科研用途!
产品数据
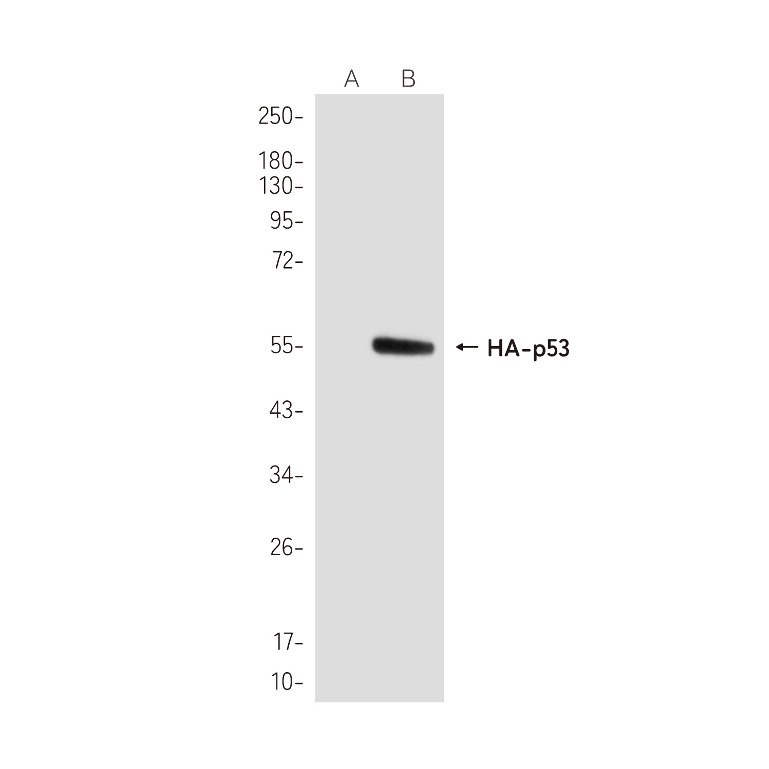
| Western blot | |
![]() |
Western blot analysis of HA-Tag in CHO-K1 transfected with empty vector (A) or HA tagged p53 (B) using HA Tag antibody. |
| Immunoprecipitation | |
![]() |
IP analysis of HA Tag in CHO-K1 lysates transfected with HA tagged p53 using HA Tag antibody. p53 antibody was used for the western blot analysis. |
应用缩写
WB:蛋白质印迹法IHC-P:石蜡切片样本的免疫组织化学法IHC-F:冰冻切片样本的免疫组织化学法ICC/IF:免疫细胞荧光 IP:免疫沉淀法FC:流式细胞术ChIP:染色质免疫沉淀法ELISA:酶联免疫吸附测定,翌圣生物产品售后保障范围仅限官网产品详情页中“推荐应用”一栏写明的实验应用,请参照上方的缩写含义,仔细对照后选择合适的产品。
HB221130
风险提示:丁香通仅作为第三方平台,为商家信息发布提供平台空间。用户咨询产品时请注意保护个人信息及财产安全,合理判断,谨慎选购商品,商家和用户对交易行为负责。对于医疗器械类产品,请先查证核实企业经营资质和医疗器械产品注册证情况。
文献和实验【公告】丁香通试用中心:10月免费试用装精选(10月18日有更新)
blot显色液 HIV-1P24抗原检测试剂盒 Carrier RNA 免费试用装 兔抗人胱抑素C多克隆抗体 DMEM培养基(高糖) BlotStainer 全自动Blot膜杂交系统 自动原位杂交仪 查看更多试用>> 关注我们 丁香通新浪微博:丁香通 丁香通微信号:biomart
祝贺〖雅裕睿安〗成为Signalway Antibody(SAB)独家
货号T501,产品描述:HA-Tag Rabbit Polyclonal Antibody;规格 50 ul / 100 ul; 货号T503,产品描述:Anti-DYKDDDDK Polyclonal Antibody;规格 50 ul / 100 ul; 货号T504,产品描述:Myc-Tag Mouse Monoclonal Antibody;规格 50 ul / 100 ul; 货号
抗体型和固相抗原型ELISA。A.固相抗体型ELISA:将抗激素的单克隆抗体(Mab)与已吸附于固相载体上的兔抗鼠Ig抗体(RAMIG)结合,然后加入激素标准品或待测样品,使其与固相化的Mab结合, 再加入辣根过氧化物酶(HRP)标记激素(酶标激素)。通过测定酶标激素的被结合量,可换算出未知样品中激素的数量。B.固相抗原型ELISA:将“激素-蛋白”复合物(该蛋白应不同于免疫原中的载体蛋白)包被于固相载体,加入待测激素(样品或标准品)和抗IAA多克隆抗体(Pab)反应,进行竞争反应。然后让HRP
技术资料暂无技术资料 索取技术资料













