相关产品推荐更多 >
万千商家帮你免费找货
0 人在求购买到急需产品
- 详细信息
- 文献和实验
- 技术资料
- 英文名:
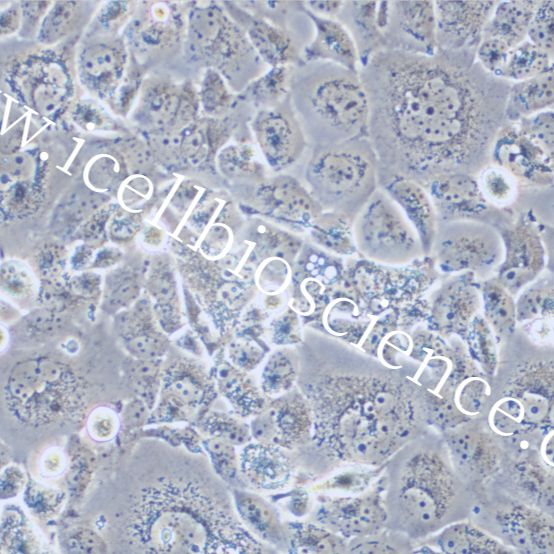
HEY
- 库存:
100
- 供应商:
镜像绮点
- 肿瘤类型:
卵巢癌
- 细胞类型:
卵巢癌细胞
- 品系:
细胞系
- 组织来源:
卵巢组织
- 相关疾病:
卵巢癌
- 物种来源:
人
- 免疫类型:
否
- 细胞形态:
上皮细胞样
- 是否是肿瘤细胞:
是
- 器官来源:
卵巢组织
- 运输方式:
冻存/复苏
- 年限:
长期
- 生长状态:
贴壁培养
- 规格:
T25
细胞特性
1)来源:人卵巢
2)形态:上皮细胞样贴壁生长
3)含量:>1x10^6细胞数
4)规格:T25瓶或者1mL冻存管包装
5)用途:仅供科研使用。

一.培养基及培养冻存条件准备:
1)准备DMEM(推荐iCell-0001)培养基;优质胎牛血清,10%;双抗,1%。
2)培养条件:气相:空气,95%;二氧化碳,5%。温度:37摄氏度,培养箱湿度为70%-80%。
3)冻存液:90%血清,10%DMSO,现用现配。
业务范围



风险提示:丁香通仅作为第三方平台,为商家信息发布提供平台空间。用户咨询产品时请注意保护个人信息及财产安全,合理判断,谨慎选购商品,商家和用户对交易行为负责。对于医疗器械类产品,请先查证核实企业经营资质和医疗器械产品注册证情况。
文献和实验该产品被引用文献
【1】Liu, S., He, Y., Ning, X. et al. SLC7A5-ERBB2 axis drives olaparib resistance via de novo lipid synthesis in ovarian cancer. Oncogene 45, 140–263 (2026).
【2】Shou, J., Zhang, C., Zheng, X. et al. LncRNA HCP5 Facilitates the Progression of Ovarian Cancer by Interacting with the PTBP1 Protein. Biochem Genet 62, 3136–3154 (2024).
技术资料文献支持
HEY | HEY细胞 | HEY细胞 | 人卵巢癌细胞 | STR鉴定 | 镜像绮点(Cellverse)
¥1500











