相关产品推荐更多 >
万千商家帮你免费找货
0 人在求购买到急需产品
- 详细信息
- 询价记录
- 文献和实验
- 技术资料
- 英文名:
BeaverBeads™ His-tag Protein Purification
- 保存条件:
4℃
- 库存:
100
- 供应商:
海狸生物医学
- 规格:
5 mL, 10%(v/v), 30-150 μm
His-tag蛋白纯化磁珠
BeaverBeads™ His-tag Protein Purification磁珠(组氨酸标签蛋白纯化琼脂糖磁珠)是专为高效、快速纯化组氨酸标签蛋白而设计的一种新型功能化材料,可通过磁性分离方式直接从生物样品中一步纯化出高纯度的目标蛋白,显著地简化了纯化工艺,降低了设备需求,适合科研和工业领域便捷快速地进行组氨酸标签蛋白的纯化工作。
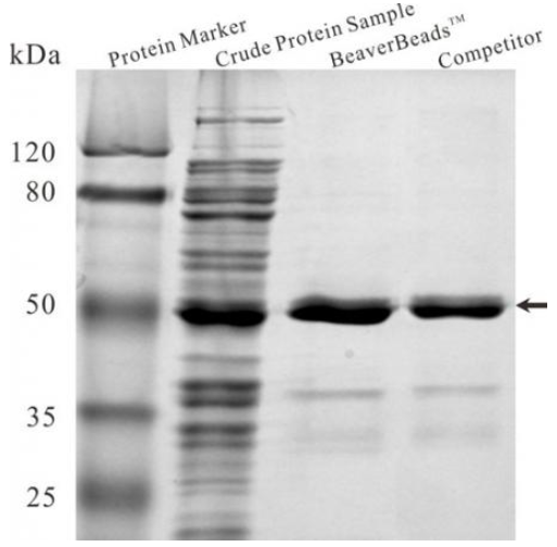
对比传统的过柱层析纯化方式, His-tag Protein Purification磁珠通过磁性分离方式纯化组氨酸标签蛋白,无需对粗蛋白样品进行多次费时费力的离心、过滤步骤,无需装柱和过柱层析,无需昂贵的柱层析设备,在1小时内便能便捷地获得高产量和高纯度的目的蛋白,且能轻松实现多样品平行处理,显著提高了工作效率,大大降低了设备、时间和人工成本.
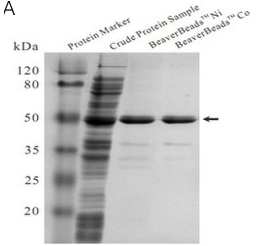
本产品系列包括镍离子(Nickel)和钴离子(Cobalt)两种金属离子螯合磁珠。它们在目标蛋白结合量及所得目标蛋白纯度上有所差异,一般推荐客户使用镍离子螯合磁珠,大多数情况下能满足客户对蛋白载量和纯度的要求;对纯度要求更高的客户推荐使用钴离子螯合磁珠。
His-tag Protein Purification磁珠广泛适用于细菌、酵母、昆虫和哺乳动物细胞等分泌或胞内表达的可溶性组氨酸标签蛋白以及变性蛋白的纯化。

产品信息
1.可从粗样品直接纯化目标蛋白,极大的缩短纯化时间
2. 可轻松实现对目标蛋白浓度和体积的控制
-
通过调节洗脱缓冲液体积的方式,实现对目标蛋白浓度和体积的控制,无蛋白损失,且不存在蛋白变性、沉淀的风险。
3. 一步纯化即可获得高纯度目标蛋白
|
|
海狸磁珠与市场上进口产品相比,一步纯化即得到同水平高纯度的目标蛋白。一个完整的操作流程即可获得纯度可以达到95%以上的目标蛋白。 |
4.平行操作稳定性高,可方便实现高通量和大规模蛋白纯化
-
目的蛋白纯度和产量的标准差均<5%。
-
完全不存在流速和样品体积的限制,适用于高通量和大规模蛋白纯化。
5.可以获得较高的目标蛋白产率
-
利用海狸磁珠对粗样品进行纯化,一步完整的纯化流程之后,90%以上纯度的目标蛋白,其产率一般达到70~80%。
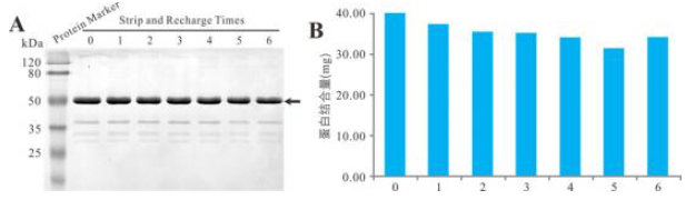
6.可重复使用,再生工艺简单
-
由图A、B可知,海狸磁珠反复进行多达六次再生处理,仍能保持较好的目标蛋白结合能力和纯度。
图A. 再生6次后磁珠结合目标蛋白检测图谱 图B. 再生6次后磁珠的蛋白结合量数据图
7. 镍螯合磁珠与钴螯合磁珠对不同分子量的His-tag蛋白纯化对比
-
Co离子螯合磁珠蛋白结合量比Ni离子螯合磁珠稍低,但纯度更高;
-
Co离子螯合磁珠洗涤和洗脱所用咪唑浓度都比Ni离子螯合磁珠低。
![]() |
![]() |
图A.镍和钴螯合磁珠纯化His-tag Lif 蛋白 图B.镍和钴螯合磁珠纯化M-MLv蛋白
(分子量~ 50KD)对比 (分子量~ 70KD)对比
苏州海狸生物医学工程有限公司
风险提示:丁香通仅作为第三方平台,为商家信息发布提供平台空间。用户咨询产品时请注意保护个人信息及财产安全,合理判断,谨慎选购商品,商家和用户对交易行为负责。对于医疗器械类产品,请先查证核实企业经营资质和医疗器械产品注册证情况。
- 作者
- 内容
- 询问日期
文献和实验爱必信蛋白纯化磁珠的实验操作视频
罗氏蛋白亲和纯化树脂:cOmplete His-Tag Purificatio
cOmplete His-Tag Purification Resin 灵活纯化蛋白、保证效能 选择靶蛋白适宜的缓冲条件 cOmplete His-Tag Purification Resin是一种新型的高效能IMAC基质,用于裂解液中His标签蛋白的一步法纯化,操作方便。采用罗氏特殊的镍螯合化学
材料 琼脂糖凝胶介质镍亲和柱 紫外检测仪 蛋白电泳装置及夹子、玻璃板、灌胶支架、缓冲液槽等附件 5 ml 注射器 0.45 μm 滤器 超声破碎仪 试剂 1. 结合缓冲液:20 mM Tris-HCl,150 mM NaCl,10 mM 咪唑,pH=8.0 2. 洗脱缓冲液:20 mM Tris-HCl,150 mM NaCl,不同梯度浓度的咪唑,pH=8.0 3. 20%乙醇 4. 三蒸水 5. 透析液:20 mM Tris
技术资料暂无技术资料 索取技术资料














