相关产品推荐更多 >

Invitrogen货号A-31570现货Donkey anti-Mouse IgG(H+L) Highly Cross-Adsorbed Secondary Antibody,Alexa Fluor™ 555上海睿安生物19121878899
¥3759.01
Sigma货号D8406-100μg抗二硝(xiāo)基苯单克隆抗体(小鼠抗)13611631389上海睿安生物
¥5116.09
Biodragon博奥龙WB明星产品B3029现货促销GAPDH(2B8) Mouse Monoclonal Antibody博奥龙Biodragon独家总代理19121878899上海睿安生物
¥960.01
Sigma货号05-321抗磷酸酪氨酸抗体,克隆4G10上海睿安生物13611631389
¥7573
Sigma货号AB144P抗胆碱乙酰基转移酶抗体13611631389上海睿安生物
¥5016.79
万千商家帮你免费找货
0 人在求购买到急需产品
- 详细信息
- 文献和实验
- 技术资料
- 供应商:
上海睿安生物13611631389
- 库存:
100支
- 英文名:
Actin beta Rabbit Polyclonal Antibody
- 保质期:
1年
- 保存条件:
−20°C
- 规格:
100μl/支
博奥龙Biodragon货号B0099现货Actin beta Rabbit Polyclonal Antibody上海睿安生物13611631389
基本信息
- 产品货号B0099
- 纯度The antibody was affinity-purified from rabbit antiserum by affinity-chromatography using epitope-specific immunogen.
- 别名ACTB; Actin; cytoplasmic 1; Beta-actin; Actin β;β-Actin;Beta actin
- 产品名称Actin beta Rabbit Polyclonal Antibody
- 类别抗体产品
- 基因名称ACTB
- 蛋白名称Actin cytoplasmic 1
- 推荐应用WB,IHC-P,IF-ICC
- 反应种属Human;Mouse;Rat;Chicken;Globefish;Bovine;Hamster;Pig;Ovine;Cat;Pig;Dog
- 存储缓冲液PBS, pH 7.4, containing 0.5%BSA, 0.02% New type preservative N as Preservative and 50% Glycerol.
- Human Gene ID60
- Human Swissprot No.P60709
- Mouse Gene ID11461
- Mouse Swissprot No.P60710
- Rat Gene ID81822
- 免疫原Synthesized peptide derived from the N-terminal region of human Actin β. AA range: 1-80
- 特异性Actin β Polyclonal Antibody detects endogenous levels of Actin β protein.
- 稀释度IF-ICC 1:50-200, WB 1:2000-1:10000. IHC-P 1:100-1:300. ELISA 1:20000. Not yet tested in other applications.
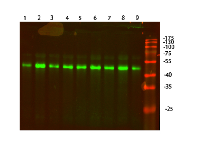
- 参考分子量42kD
- 运输及保存条件-15°C to -25°C/1 year(Do not lower than -25°C)
- 宿主Rabbit
- 同种型IgG
- 表达B-cell lymphoma,Brain,Cajal-Retzius cell,Eye,Fetal brain cortex,Foreskin,Hepatocellular car

基本信息:
产品货号B0099
纯度:The antibody was affinity-purified from rabbit antiserum by affinity-chromatography using epitope-specific immunogen.
别名:ACTB; Actin; cytoplasmic 1; Beta-actin; Actin β;β-Actin;Beta actin
产品名称:Actin beta Rabbit Polyclonal Antibody
类别:抗体产品
基因名称:ACTB
蛋白名称:Actin cytoplasmic 1
推荐应用:WB,IHC-P,IF-ICC
反应种属:Human;Mouse;Rat;Chicken;Globefish;Bovine;Hamster;Pig;Ovine;Cat;Pig;Dog
存储缓冲液:PBS, pH 7.4, containing 0.5%BSA, 0.02% New type preservative N as Preservative and 50% Glycerol.
Human Gene ID:60
Human Swissprot No.:P60709
Mouse Gene ID:11461
Mouse Swissprot No.:P60710
Rat Gene ID:81822
免疫原:Synthesized peptide derived from the N-terminal region of human Actin β. AA range: 1-80
特异性:Actin β Polyclonal Antibody detects endogenous levels of Actin β protein.
稀释度:IF-ICC 1:50-200, WB 1:2000-1:10000. IHC-P 1:100-1:300. ELISA 1:20000. Not yet tested in other applications.
参考分子量:42kD
运输及保存条件:-15°C to -25°C/1 year(Do not lower than -25°C)
宿主:Rabbit
同种型:IgG
表达:B-cell lymphoma,Brain,Cajal-Retzius cell,Eye,Fetal brain cortex,Foreskin,Hepatocellular car







风险提示:丁香通仅作为第三方平台,为商家信息发布提供平台空间。用户咨询产品时请注意保护个人信息及财产安全,合理判断,谨慎选购商品,商家和用户对交易行为负责。对于医疗器械类产品,请先查证核实企业经营资质和医疗器械产品注册证情况。
文献和实验博奥龙Biodragon货号B0099现货Actin beta Rabbit Polyclonal Antibody上海睿安生物13611631389
基本信息
- 产品货号B0099
- 纯度The antibody was affinity-purified from rabbit antiserum by affinity-chromatography using epitope-specific immunogen.
- 别名ACTB; Actin; cytoplasmic 1; Beta-actin; Actin β;β-Actin;Beta actin
- 产品名称Actin beta Rabbit Polyclonal Antibody
- 类别抗体产品
- 基因名称ACTB
- 蛋白名称Actin cytoplasmic 1
- 推荐应用WB,IHC-P,IF-ICC
- 反应种属Human;Mouse;Rat;Chicken;Globefish;Bovine;Hamster;Pig;Ovine;Cat;Pig;Dog
- 存储缓冲液PBS, pH 7.4, containing 0.5%BSA, 0.02% New type preservative N as Preservative and 50% Glycerol.
- Human Gene ID60
- Human Swissprot No.P60709
- Mouse Gene ID11461
- Mouse Swissprot No.P60710
- Rat Gene ID81822
- 免疫原Synthesized peptide derived from the N-terminal region of human Actin β. AA range: 1-80
- 特异性Actin β Polyclonal Antibody detects endogenous levels of Actin β protein.
- 稀释度IF-ICC 1:50-200, WB 1:2000-1:10000. IHC-P 1:100-1:300. ELISA 1:20000. Not yet tested in other applications.
- 参考分子量42kD
- 运输及保存条件-15°C to -25°C/1 year(Do not lower than -25°C)
- 宿主Rabbit
- 同种型IgG
- 表达B-cell lymphoma,Brain,Cajal-Retzius cell,Eye,Fetal brain cortex,Foreskin,Hepatocellular car

基本信息:
产品货号B0099
纯度:The antibody was affinity-purified from rabbit antiserum by affinity-chromatography using epitope-specific immunogen.
别名:ACTB; Actin; cytoplasmic 1; Beta-actin; Actin β;β-Actin;Beta actin
产品名称:Actin beta Rabbit Polyclonal Antibody
类别:抗体产品
基因名称:ACTB
蛋白名称:Actin cytoplasmic 1
推荐应用:WB,IHC-P,IF-ICC
反应种属:Human;Mouse;Rat;Chicken;Globefish;Bovine;Hamster;Pig;Ovine;Cat;Pig;Dog
存储缓冲液:PBS, pH 7.4, containing 0.5%BSA, 0.02% New type preservative N as Preservative and 50% Glycerol.
Human Gene ID:60
Human Swissprot No.:P60709
Mouse Gene ID:11461
Mouse Swissprot No.:P60710
Rat Gene ID:81822
免疫原:Synthesized peptide derived from the N-terminal region of human Actin β. AA range: 1-80
特异性:Actin β Polyclonal Antibody detects endogenous levels of Actin β protein.
稀释度:IF-ICC 1:50-200, WB 1:2000-1:10000. IHC-P 1:100-1:300. ELISA 1:20000. Not yet tested in other applications.
参考分子量:42kD
运输及保存条件:-15°C to -25°C/1 year(Do not lower than -25°C)
宿主:Rabbit
同种型:IgG
表达:B-cell lymphoma,Brain,Cajal-Retzius cell,Eye,Fetal brain cortex,Foreskin,Hepatocellular car







祝贺〖雅裕睿安〗成为Signalway Antibody(SAB)独家
货号T501,产品描述:HA-Tag Rabbit Polyclonal Antibody;规格 50 ul / 100 ul; 货号T503,产品描述:Anti-DYKDDDDK Polyclonal Antibody;规格 50 ul / 100 ul; 货号T504,产品描述:Myc-Tag Mouse Monoclonal Antibody;规格 50 ul / 100 ul; 货号
Large-scale immunofluorescence
containing 2% n-propyl gallate and 0.25 ug/ml Hoechst Primary antibodies rabbit anti-beta-gal antibody (Cappell Laboratories #0631-0002, at 1:200 dilution) rat monoclonal anti-yeast tubulin (YOL1/34; Sera-lab, at 1:100 dilution
2 n-propyl gallate and 0.25 ug/ml Hoechst Primary antibodies rabbit anti-beta-gal antibody (Cappell Laboratories #0631-0002, at 1:200 dilution) rat monoclonal anti-yeast tubulin (YOL1/34; Sera-lab, at 1:100 dilution
技术资料需要更多技术资料 索取更多技术资料
资料下载:
博奥龙Biodragon总代理2025睿安13611631389微信同号.png 附 (下载 0 次)
⁺询订13611631389微信同号.png 附 (下载 0 次)
请 [登录] 后再下载!





