相关产品推荐更多 >
万千商家帮你免费找货
0 人在求购买到急需产品
- 详细信息
- 询价记录
- 文献和实验
- 技术资料
- 抗体名:
NR2B Antibody抗体
- 抗体英文名:
NR2B Antibody
- 靶点:
NR2B
- 浓度:
1 mg/ml
- 应用范围:
AM, ICC, IF, IHC, IP, WB
- 宿主:
Mouse
- 适应物种:
Human, Mouse, Rat
- 保质期:
6-12个月
- 抗原来源:
详询
- 目录编号:
orb67425
- 级别:
科研级
- 库存:
88
- 供应商:
biorbyt
- 标记物:
Unconjugated
- 克隆性:
Monoclonal
- 亚型:
IgG2b
- 免疫原:
Fusion protein amino acids 20-271 (extracellular N-terminus) of rat NR2B
- 规格:
100 ug
别名:NMDAR2B, hNR3, MGC142180, glutamate receptor subunit epsilon-2, NR3
免疫原:Fusion protein amino acids 20-271 (extracellular N-terminus) of rat NR2B
克隆性:S59
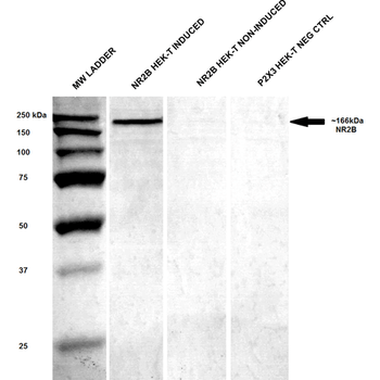
分子量:166kDa
应用稀释比例:WB (1:1000), IHC-P (1:1000), ICC/IF (1:100)
应用注释:1 µg/ml of SMC-337 was sufficient for detection of NR2B in 10 µg of rat brain lysate by colorimetric immunoblot analysis using goat anti-mouse IgG:HRP as the secondary antibody.
防腐剂:PBS pH 7.4, 50% glycerol, 0.09% sodium azide *Storage buffer changes when conjugated
纯化:Protein G Purified
保存说明:Maintain refrigerated at 2-8°C for up to 2 weeks. For long term storage store at -20°C in small aliquots to prevent freeze-thaw cycles.
NCBI:NP_036706.1
Entrez:24410
UniProt ID:Q00960
Note:For research use only.





风险提示:丁香通仅作为第三方平台,为商家信息发布提供平台空间。用户咨询产品时请注意保护个人信息及财产安全,合理判断,谨慎选购商品,商家和用户对交易行为负责。对于医疗器械类产品,请先查证核实企业经营资质和医疗器械产品注册证情况。
- 作者
- 内容
- 询问日期
文献和实验favorable side-effect profile. We applied the whole-cell patch-clamp technique for testing NR2B subunit-specific drugs in HEK cells transiently or stably expressing different types of NMDAR subunits. In stable cell lines, we applied an inducible mammalian
Ca2+/Calmodulin-Dependent Protein Kinase II (CaMKII)
to the NMDA-receptor subunit GluN2B (formerly known as NR2B). Here we discuss studying CaMKII by inhibition (including by the novel class of CN inhibitors) and by mutagenesis. We describe purification of CaMKII, activity assays, directing and probing auto
对于神经生物学来讲,研究者们最关心的还是学习记忆相关的蛋白质以何种方式参与了学习记忆,这也将是后基因组时代的一个主流研究方向。复旦大学李葆明的研究小组发现大脑ACC区的NR2B蛋白和恐惧记忆相关,文章发在2005年的《神经元》上。早些年,美国普林斯顿大学的钱卓教授就通过NR2B的过表达创造出了世界上第一个聪明鼠模型,但NR2B在不同脑区的不同功能还是不清楚,ACC是目前最吸引人的一个脑区,美国科学家认为它可能和第六感相关。这篇文章是复旦大学和韩国及加拿大的研究机构合作的,为中国科学研究的高水平
技术资料暂无技术资料 索取技术资料











