相关产品推荐更多 >
万千商家帮你免费找货
0 人在求购买到急需产品
- 详细信息
- 文献和实验
- 技术资料
- 抗体名:
NR2B Antibody (HRP)抗体
- 抗体英文名:
NR2B Antibody (HRP)
- 靶点:
NR2B
- 浓度:
1 mg/ml
- 应用范围:
AM, ICC, IF, IHC, IP, WB
- 宿主:
Mouse
- 适应物种:
Human, Mouse, Rat
- 保质期:
6-12个月
- 抗原来源:
详询
- 目录编号:
orb148758
- 级别:
科研级
- 库存:
88
- 供应商:
biorbyt
- 标记物:
HRP
- 克隆性:
Monoclonal
- 亚型:
IgG2b
- 免疫原:
Fusion protein amino acids 20-271 (extracellular N-terminus) of rat NR2B
- 规格:
100 ug
别名:NMDAR2B, hNR3, MGC142180, glutamate receptor subunit epsilon-2, NR3
免疫原:Fusion protein amino acids 20-271 (extracellular N-terminus) of rat NR2B
克隆性:S59
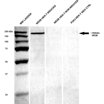
分子量:166kDa
应用稀释比例:WB (1:1000), IHC (1:1000), ICC/IF (1:100)
应用注释:1 µg/ml of SMC-337 was sufficient for detection of NR2B in 10 µg of rat brain lysate by colorimetric immunoblot analysis using goat anti-mouse IgG:HRP as the secondary antibody.
防腐剂:73.64mM Carbonate, 54.55mM Ethanolamine, 45.45mM Cyanoborohydride, 18.18mM Sodium Hydroxide 0.23mM Citrate
纯化:Protein G Purified
保存说明:Conjugated antibodies should be stored according to the product label
NCBI:NP_036706.1
Entrez:24410
UniProt ID:Q00960
Note:For research use only.





风险提示:丁香通仅作为第三方平台,为商家信息发布提供平台空间。用户咨询产品时请注意保护个人信息及财产安全,合理判断,谨慎选购商品,商家和用户对交易行为负责。对于医疗器械类产品,请先查证核实企业经营资质和医疗器械产品注册证情况。
文献和实验Conjugation of Antibody to HRP
of Maleimide:HRP Weigh out 1.067 mg HRP for each mg of thiolated antibody. Add 1.1 mg Sulfo-SMCC per mg of HRP Add PBS to a final concentration of 8 mg/ml HRP Mix for 2 hours on a rotator. Desalt the HRP on PBS equilibrated column. Collect
Conjugation of Antibody to HRP
Conjugation of Antibody to HRP Author: Nanci Donacki Source: Contributed by Nanci Donacki Reagents
Monoclonal Antibody Production Protocol
- PBS + 0.1% Tween 20 or TBS + 0.1% Tween 20. - Blocking solution = 2% BSA (type V ) in PBS. (Add 0.02% azide for longer storage.) - Elisa buffer = 2% BSA + 0.1% Tween 20 in PBS ( azide optional ). - Enzyme linked antibody = Horseradish peroxidase
技术资料暂无技术资料 索取技术资料











